Block 3 Breast Flashcards

(62 cards)

1
Q

What is acute mastitis?

A

Bacterial infection of the breast by S. aureus. It is associated with feeding, which causes fissures in the nipple giving bacteria a route to cause infection

How well did you know this?
1
Not at all
2
3
4
5
Perfectly
2
Q

Bacterial infection of the breast by S. aureus. It is associated with feeding, which causes fissures in the nipple giving bacteria a route to cause infection

It presents as:
1) Erythematous breast with nipple discharge

Complication:
It can progress to form an abscess

Rx: Continue to drain (feedings) & antibiotics (dicloxacillin)

A

acute mastitis

How well did you know this?
1
Not at all
2
3
4
5
Perfectly
3
Q

Acute infection of the breast with gram +ve cocci, causing erythematous breast tissue & nipple discharge

A

acute mastitis

How well did you know this?
1
Not at all
2
3
4
5
Perfectly
4
Q

What is periductal mastitis?

A

It is inflammation of the subareolar ducts. It is usually seen in smokers due to them having a relative vitamin A deficiency which causes metaplasia in the lactiferous ducts resulting in blockage & inflammation

Presents with:
1) A subareolar mass with nipple retraction

How well did you know this?
1
Not at all
2
3
4
5
Perfectly
5
Q

It is inflammation of the subareolar ducts. It is usually seen in smokers due to them having a relative vitamin A deficiency which causes metaplasia in the lactiferous ducts resulting in blockage & inflammation

Presents with:
1) A subareolar mass with nipple retraction

A

periductal mastitis

How well did you know this?
1
Not at all
2
3
4
5
Perfectly
6
Q

1) A subareolar mass with nipple retraction, involves metaplasia of squamous cells lining the lactiferous ducts

A

periductal mastitis

How well did you know this?
1
Not at all
2
3
4
5
Perfectly
7
Q

What is mammary duct ectasia?

A

Rare inflammation with dilation (ectasia) of the subareolar ducts that is seen in multiparous postmenopausal women

How well did you know this?
1
Not at all
2
3
4
5
Perfectly
8
Q

Rare inflammation with dilation (ectasia) of the subareolar ducts that is seen in multiparous postmenopausal women

It presents as a:
1) Peri areolar mass with green/brown nipple discharge

Biopsy shows:
Chronic inflammation with plasma cells

A

mammary duct ectasia

How well did you know this?
1
Not at all
2
3
4
5
Perfectly
9
Q

A postmenopausal woman with a brownish peri areolar mass with nipple discharge

A

mammary duct ectasia

How well did you know this?
1
Not at all
2
3
4
5
Perfectly
10
Q

What is fat necrosis of the breast?

A

It is usually caused by trauma (needle biopsy etc) that presents as a mass on physical exam & abnormal calcification on mammography

Biopsy reveals:
Necrotic fat that is associated with calcification & giant cells

How well did you know this?
1
Not at all
2
3
4
5
Perfectly
11
Q

It is usually caused by trauma (needle biopsy etc) that presents as a mass on physical exam & abnormal calcification on mammography

Biopsy reveals:
Necrotic fat that is associated with calcification & giant cells

A

fat necrosis of the breast

How well did you know this?
1
Not at all
2
3
4
5
Perfectly
12
Q

Biopsy reveals:
Necrotic fat that is associated with calcification & giant cells

A

fat necrosis of the breast

How well did you know this?
1
Not at all
2
3
4
5
Perfectly
13
Q

What is fibrocystic change of the breast?

A

The development of fibrosis & cysts in the upper & outer quadrant of the breast that give it a lump bumpy texture. It usually occurs in premenopausal women & tends to be benign, though certain fibrotic changes are associated with invasive carcinoma

How well did you know this?
1
Not at all
2
3
4
5
Perfectly
14
Q

The development of fibrosis & cysts in the upper & outer quadrant of the breast that give it a lump bumpy texture. It usually occurs in premenopausal women & tends to be benign, though certain fibrotic changes are associated with invasive carcinoma

A

fibrocystic change of the breast

How well did you know this?
1
Not at all
2
3
4
5
Perfectly
15
Q

Which types of fibrocystic changes of the breast are NOT associated with invasive carcinoma

A

Fibrosis, Cysts, & Apocrine metaplasia

How well did you know this?
1
Not at all
2
3
4
5
Perfectly
16
Q

Which types of fibrocystic changes of the breast are associated with twice the risk of developing invasive carcinoma?

A

Ductal hyperplasia & sclerosing adenosis

How well did you know this?
1
Not at all
2
3
4
5
Perfectly
17
Q

Ductal hyperplasia & sclerosing adenosis are all fibrocystic changes of the breast that are associated with what?

A

twice the risk of developing invasive carcinoma

How well did you know this?
1
Not at all
2
3
4
5
Perfectly
18
Q

Which types of fibrocystic changes of the breast are associated with five times the risk of developing invasive carcinoma?

A

Atypical hyperplasia

How well did you know this?
1
Not at all
2
3
4
5
Perfectly
19
Q

Atypical hyperplasia is a fibrocystic change of the breast that are associated with what?

A

five times the risk of developing invasive carcinoma

How well did you know this?
1
Not at all
2
3
4
5
Perfectly
20
Q

What is an Intraductal papilloma?

A

It is papillary growth in the large ducts.

It presents as:
1) A bloody nipple discharge in premenopausal women

How well did you know this?
1
Not at all
2
3
4
5
Perfectly
21
Q

It is papillary growth in the large ducts.

It presents as:
1) A bloody nipple discharge in premenopausal women

A

Intraductal papilloma

How well did you know this?
1
Not at all
2
3
4
5
Perfectly
22
Q

What is a papillary carcinoma?

A

It is fibrovascular projections lined with epithelial cells without any underlying myoepithelium.

It presents as:
1) bloody nipple discharge

How well did you know this?
1
Not at all
2
3
4
5
Perfectly
23
Q

It is fibrovascular projections lined with epithelial cells without any underlying myoepithelium.

It presents as:
1) bloody nipple discharge

Complication:
It has a risk of progressing to papillary carcinoma

A

papillary carcinoma

How well did you know this?
1
Not at all
2
3
4
5
Perfectly
24
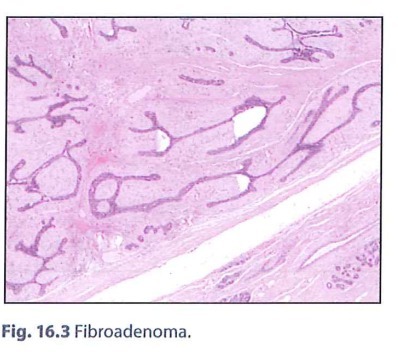
Q

What is a fibroadenoma?

A

The most common benign breast tumor that is made of fibrous tissue & glands. It is usually seen in premenopausal as a well circumscribed mobile marble-like mass. It is estrogen sensitive so it grows during pregnancy & can be painful during menstruation

How well did you know this?
1
Not at all
2
3
4
5
Perfectly
25
The most common benign breast tumor that is made of fibrous tissue & glands. It is usually seen in premenopausal as a well circumscribed mobile marble-like mass. It is estrogen sensitive so it grows during pregnancy & can be painful during menstruation
fibroadenoma
26
a well circumscribed mobile marble-like mass that is benign & sensitive to estrogen
fibroadenoma
27
What is a phyllodes tumor?
A tumor that resembles a fibroadenoma except there is overgrowth of the fibrous component, with leaf-like projections giving it the potential to be malignant. It is usually seen in postmenopausal women.
28
A tumor that resembles a fibroadenoma except there is overgrowth of the fibrous component. It is usually seen in postmenopausal women. Biopsy shows: Lead-like projections Complication is that it can be malignant
phyllodes tumor
29
Fibrous tumor with leaf-like projections in a postmenopausal woman, it may be malignant
Phyllodes tumor
30
What is Ductal Carcinoma In Situ?
A malignant proliferation of ductal cells that does NOT invade the basement membrane. It can be seen as calcification on mammography (not a mass) & it can be a Comedo type or Paget's disease associated with DCIS
31
A malignant proliferation of ductal cells that does NOT invade the basement membrane. It can be seen as calcification on mammography (not a mass). Subtypes: 1) Comedo type Has high-grade cells with necrosis & dystrophic calcification in the center of ducts 2) Paget's ass The cancer extends upwards into the ducts & involves the nipple skin, presenting as nipple erythema & ulceration
Ductal Carcinoma In Situ
32
What is Paget's disease that is associated with Ductal Cell In Situ?
The DCIS extends upwards into the ducts & involves the nipple skin, presenting as nipple erythema & ulceration.
33
What is Comedo subtype of Ductal Cell In Situ?
A cancer of the breast with high-grade cells with necrosis & dystrophic calcification in the center of ducts
34
What is Invasive Ductal Carcinoma?
The most common type of invasive breast cancer. It classically forms duct-like structure in the breast
35
The most common type of invasive breast cancer. It classically forms duct-like structure in the breast It presents as: 1) A mass 2/+cm on clinical exam 2) A mass 1/+cm on mammography 3) Skin dimpling & Nipple retraction in advanced stages Biopsy shows: Duct-like structures in desmoplastic stroma Sub types include: 1) Tubular carcinoma 2) Mucinous carcinoma 3) Medullary carcinoma 4) Inflammatory carcinoma
Invasive Ductal Carcinoma
36
What is Tubular carcinoma?
A subtype of invasive breast carcinoma that presents as well differentiated tubules that lack myoepithelial cells It has a good prognosis
37
A subtype of invasive breast carcinoma that presents as well differentiated tubules that lack myoepithelial cells It has a good prognosis
Tubular carcinoma
38
What is Mucinous carcinoma?
A subtype of invasive breast carcinoma that presents as an abundance of extracellular mucin "tumor in a pool of mucus app" It is usually seen in older women (~70yrs) It has a good prognosis
39
A subtype of invasive breast carcinoma that presents as an abundance of extracellular mucin "tumor in a pool of mucus app" It is usually seen in older women (~70yrs) It has a good prognosis
Mucinous carcinoma
40
What is a Medullary carcinoma?
A subtype of invasive breast carcinoma that presents as large high-grade cells that grow in sheets. It is associated with lymphocytes & plasma cells & people who carry the BRCA1 gene are at higher risk Biopsy shows: A well circumscribed mass that can mimic an fibroadenoma on mammography It has a good prognosis
41
A subtype of invasive breast carcinoma that presents as large high-grade cells that grow in sheets. It is associated with lymphocytes & plasma cells & people who carry the BRCA1 gene are at higher risk Biopsy shows: A well circumscribed mass that can mimic an fibroadenoma on mammography It has a good prognosis
Medullary carcinoma
42
What is an inflammatory carcinoma?
A carcinoma in the dermal lymphatics that causes blockages. This causes it to classically present as an inflamed & swollen breast with NO discrete mass It has a poor prognosis
43
A carcinoma in the dermal lymphatics that causes blockages. This causes it to classically present as an inflamed & swollen breast with NO discrete mass It has a poor prognosis
inflammatory carcinoma
44
What is Lobular Carcinoma In Situ (LCIS)?
Malignant proliferation of cells in the lobules that do NOT invade the basement membrane. There is NO mass or calcification, instead it is multifocal & bilateral & can be identifies via biopsy
45
Malignant proliferation of cells in the lobules that do NOT invade the basement membrane. There is NO mass or calcification, instead it is multifocal & bilateral & can be identifies via biopsy Biopsy shows: 1) Dyscohesive cells that LACK E-cadherin adhesion proteins Rx. Tamoxifen & follow up Complication a low risk of progressing to invasive carcinoma
Lobular Carcinoma In Situ (LCIS)
46
Biopsy shows: 1) Dyscohesive cells that LACK E-cadherin adhesion proteins
Lobular Carcinoma In Situ (LCIS)
47
What are the biopsy findings you would expect to seen in a patient with Lobular Carcinoma In Situ (LCIS)?
Biopsy shows: 1) Dyscohesive cells that LACK E-cadherin adhesion protein
48
What is Invasive Lobular Carcinoma of the breast?
An invasive carcinoma that grows in a single-file pattern. It's cells exhibit signet ring morphology & it CANNOT form ducts because it's cells lack E-Cadherin
49
An invasive carcinoma that grows in a single-file pattern. It's cells exhibit signet ring morphology & it CANNOT form ducts because it's cells lack E-Cadherin
Invasive Lobular Carcinoma of the breast
50
For TNM staging of breast cancer spread to which LN is most useful as a prognostic factor & how do you assess it?
Axillary LN is best to determine the prognosis of breast cancer, to assess it you need to biopsy the sentinel LN
51
Estrogen & progesterone receptor +ve breast cancers response to which type of therapy?
Antiestrogen agents (nucleus) like Tamoxifen
52
HER2/neu receptor +ve breast cancers response to which type of therapy?
Antibodies against HER2 receptors (cell surface) like Trastuzumab (Herceptin)
53
What does having a triple -ve mean & who is most at risk?
-ve for ER, PR, & HER2/neu receptors it's associated with a very poor prognosis & it is more common in African American women
54
What is Hereditary Breast cancer?
It is associated with a family history of breast cancer. The patient usually has: 1) Multiple first-degree relatives with breast cancer 2) A tumor in the early stage (premenopausal) 3) Multiple tumors in a single patient Highest risk: BRCA1 female ovarian & breast cancers BRCA2 male breast cancer
55
It is associated with a family history of breast cancer. The patient usually has: 1) Multiple first-degree relatives with breast cancer 2) A tumor in the early stage (premenopausal) 3) Multiple tumors in a single patient Highest risk: BRCA1 female ovarian & breast cancers BRCA2 male breast cancer
Hereditary Breast cancer
56
BRCA1
female ovarian & breast cancers
57
BRCA2
male breast cancer
58
It is associated with a family history of breast cancer. The patient usually has: 1) Multiple first-degree relatives with breast cancer 2) A tumor in the early stage (premenopausal) 3) Multiple tumors in a single patient
Hereditary Breast cancer
59
What is male breast cancer?
A rare cancer that is associated with BRCA2 or Klinefelter syndrome. It presents in older men as a subareolar mass that may have nipple discharge
60
A rare cancer that is associated with BRCA2 or Klinefelter syndrome. It presents in older men as a subareolar mass that may have nipple discharge The most common subtype is Invasive ductal carcinoma
male breast cancer
61
What is the most common subtype of male breast cancer?
The most common subtype is Invasive ductal carcinoma
62
What are the conditions associated with male breast cancer?
BRCA2 or Klinefelter syndrome