
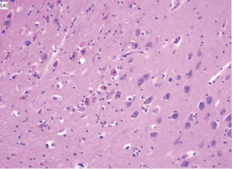
Selective neuronal cell death; brighter pink = dead, blue= normal

Infarction (left-side), Right side is normal

Global ischemic injury in cerebellum

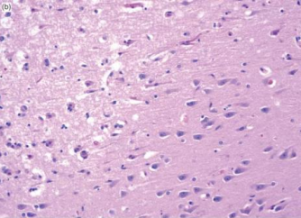
Global cerebral Ischemia: laminar necrosis

Global cerebral ischemia: end-arterial (watershed) distribution; darker areas (in red circle) are injured due to acute ischemia

MCA distribution

MCA distribution

PCA (bilateral)
This is a cross-section of the brain with occipital view

PCA (basilar artery)

MCA infarcts affecting parietal lobe

Both ACA (medially) and MCA (laterally)

Lacunar infarct (small artery); multiple small holes

Hemorrhagic Infacts; can be venous (thrombus) or arterial (ischemia and reperfusion)

Venous Infarcts; most commonly seen parasagittally (in superior sagittal sinus distribution) or distribution of transverse sinus

Top: bilateral PCA infarcts from emboli can often become hemorrhagic (and can be multifocal)
Bottom: small clot/embolus (arrow) with surrounding hemorrhagic infarct

Hypertensive hemorrhage; tend to occur more centrally in brain (basal ganglia, thalamus)
Top R: Charcot-Bouchard aneurysm of lenticulostriate vessels of BG, associated wit HTN
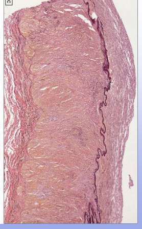
Bottom R: thickened BV wall, loss of SM

Spinal cord infarct
anterior spinal artery (red arrow)
posterior spinal artery (blue arrow)
PSA infarction (green circle)

Infarcts evolve over time:
Left: acute MCA infarct, tissue expanded due to edema
Right: months later, infarcted tissue gone, left with cavity

Penumbra:
see infarct in posterior temporal lobe on left
arrows point to penumbra; tissue on the margins of an infarct that is at risk for dying
goal is to rescue penumbra tissue with acute therapy

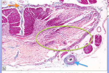
Fibromuscular Dysplasia: hyperplasia of smooth muscle and fibrous tissue alternating with thin, fibrotic regions; at risk for developing occlusions, dissection, aneurysm

CADASIL: cerebral autosomal dominant arteriopathy with subcortical ischemia and leukoencephalopathy
see small lacunar infarcts (red circle)

Subdural hematoma

Subarachnoid hemorrhage

Anterior communicating artery aneurysm