What type of macrophage normally makes IL-1, TNF-alpha, and IL-6?
M1, interacts with TH1 helper cells, kill, kill
What type of macrophages work with IL-10?
Tissue repair and immune regulation, M2
NO reacts with superoxide to make what? What does this molecule assist with?
Peroxynitrite, Reduction of blood pressure, increased blood flow
How can an efflux pump be beat? If gram negative, and overwhelming the bacteria does not work, then what?
Overwhelm the amount of the material going into the cell The porin size can be restricted
The cardinal signs of inflammation are redness, swelling, heat, pain, and ___________
loss of function
Name three attractants for PMN to follow?
IL-8, C3a, C5a
PECAM-1, platlet endothelial cell adhesion molecule is also called what? and does what?
CD31, allows the respective gaps in cells for PMNs to lead through
Inhibit platelet aggregation, increase vascular permeability, induce smooth muscle contraction, edema
Prostaglandins
Increase vascular permeability, Induce smooth muscle contraction, chemotaxis
Leukotrienes
CRP SAA Fibrinogen MBL These are produced where and by what?
C reactive protein Serum amyloid A protein Fibrinogen Mannose Binding Lectin Liver and stimulation by IL-6
During chronic inflammation, what thing, clears tissue of the products of inflammation by action of phagocytosis coupled with lysosomal enzymes and set the stage for tissue repair; it is the primary scavenger and repair cell in chronic inflammation?
Tissue macrophages
Are tissue macrophages in low or high numbers before inflammation begins?
low
When bacterial infection or trauma happens, the macrophages activates what by IL-1? IL-12? IL-12 and IL-18
IL-1: macrophages, all T-cells IL-12 T helper cells IL-12 and IL-18 NK T cells (adaptive and innate immune system)
_____________ interact with Th1 cells. Production of cytokines by Th1 cells upregulate the intracellular killing of microbes, by activating cytotoxic T cells (CD8+ T-cells) and promoting natural killer cell (NK cell) recognition and killing of target cells
M1 macrophage
________________ interact with Th2 cells. Th2 cells activate antibody production by B cells, driving extracellular disabling of pathogens and killing via phagocytosis enhanced by antibodies serving as opsonins. Aberrant _________ regulation of Th2 adaptive immune responses can cause allergies.
M2 macrophages
A patient has asbestos, the macrophages cannot break it down upon consumption, upon TH1 interaction, what is secreted to make a granuloma, maintained by macrophages?
IFN-gamma
What bones are responsible for the birth of pluripotent blood cells?
Flat bones (sternum, ribs, vertebrae) Hips/pelvis
What are the primary lymphoid tissues, that are the primary site of development?
Thymus and bone
What site include lymph nodes, spleen, and non-encapsulated lymphoid tissues distributed throughout the body; they are sites where mature lymphocytes encounter antigens and respond to organisms or molecules and mature to become effector cells?
Secondary Lymphoid Tissue
What are the primary lymphoid organs during conception that are the primary lymphoid organs?
Fetal yolk sac and fetal liver and spleen
CD3 is what marker? CD19 and CD20 are what marker? Monocyte is what number?
T cell B cell CD14
What is this picture? What is produced from this

Thymus, makes mature T-cells
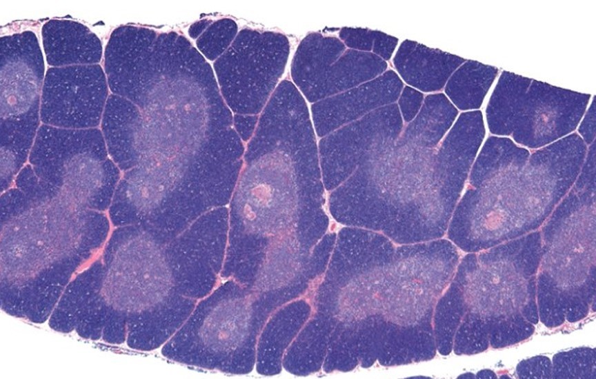
What is the tissue specimen here?
What is the area of this tissue called? What is the name of the area around the “center”?

spleen
Germinal Cell, PALS
What are the arrows pointing at?
Is this generating a immunological response?

Dark zone, Light Zone, and Central Artery of the spleen
Yes, Central artery is no longer central