4 day history of progressively worsening abdominal pain and bloody diarrhea. Diagnosed with ulcerative colitis 6 months ago (noncompliant with treatment). 102F, BP 100/70, lethargic, dry mucous membranes, abdominal distention and tenderness. What is the next step? What does he have?
XRAY
Toxic Megacolon
Disorder of conjugate horizontal gaze in which the affected eye (IPSI to the lesion) is unable to adduct and the contralateral eye abducts with nystagmus. Convergence and the pupillary light reflex are preserved.
Internuclear Ophthalmoplegia
Damage to the Medial longitudinal Fasciculas - a paired neural tract that mediates communication between CN 3 and CN 6 allowing for coordinated horizontal eye movements.
Found in dorsal pons
Unilateral = lacunar stroke in pontine artery distribution
Bilateral = MS
If a gram + bacteria disintegrates in a hypotonic solution after being exposed to an antibiotic, that means there was damage to the cellular wall. What drugs could do this?
Penicillins
Cephalosporins
Vancomycin
5 month old baby with chronic diarrhea, failure to thrive, low blood T lymphocyte count, severely decreased serum immunoglobulin level
SCID
X-linked or
Adenosine Deaminase Deficiency (AR) - unable to eliminate excess Adenosine within cells leading to toxic accumulations
What surgical landmark can help a surgeon distinguish an indirect hernia from a direct inguinal hernia?
Inferior epigastric vessels
Illegal drug that causes violent behavior, dissociation, Hallucinations, amnesia, Nystagmus, and ataxia.
Phencyclidine (PCP)
Works as an N-methyl-D-aspartate receptor antagonist, leading to the excess release of excitatory neurotransmitters.
Gross painless hematuria in an older adult should be considered a sign of what?
Urinary Tract Cancer (urothelial or renal cell carcinoma) until proven otherwise
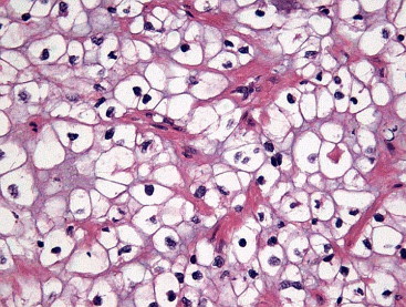
65 y/o man with painless hematuria. Renal Biopsy is preformed. What is the likely etiology and what makes up these cells?

Clear Cell Carcinoma - most common renal malignancy
Cells made up of glycogen and lipid accumulation
If complement C1 protein is excessively cleaving C2 and C4 by itself, what is deficient? What is the manifestation?
C1 inhibitor (C1INH) deficiency - normally there to limit activation of the complement cascade AND the block kallikrein-induced conversion of kinnogen to bradykinin
Pt will have Elevated Bradykinin and hereditary angioedema (facial swelling, laryngeal edema, colicky GI pain, diarrhea)
What 2 populations are covered by Medicare?
Over 65 y/o
Younger individuals with disabilities
What converts Ribulose-5-Phosphate to Fructose-6-Phosphate?
Transketolase
Superior Mesenteric Artery syndrome occurs when what structure gets trapped between the SMA and the aorta?
Transverse portion of the Duodenum
Symptoms of partial intestinal obstruction.
Happens when the aoromesenteric angle critically decreases, secondary to diminished mesenteric fat, pronounced lordosis, or surgical correction of scoliosis.
In chronic kidney disease, what part of Vitamin D metabolism can be impaired?
Conversion of 25-hydroxyvitamin D to 1,25-dihydroxyvitamin D