Blood Flashcards

(110 cards)

1
Q

What is blood?

A

A specialised fluid (Tissue) composed of a variety of cellular components suspended in a liquid known as plasma

How well did you know this?
1
Not at all
2
3
4
5
Perfectly
2
Q

How are blood components separated?

A

Centrifugation

How well did you know this?
1
Not at all
2
3
4
5
Perfectly
3
Q

What are the 3 layers of centrifuged blood?

A

Plasma - Top
Buffy coat
Erythrocyte layer - Bottom

How well did you know this?
1
Not at all
2
3
4
5
Perfectly
4
Q

What is contained in the buffy coat layer of centrifuged blood?

A

Platelets and leukocytes

How well did you know this?
1
Not at all
2
3
4
5
Perfectly
5
Q

What is the haematocrit?

A

The percentage of blood that is formed of erythrocytes

How well did you know this?
1
Not at all
2
3
4
5
Perfectly
6
Q

What is the average male haematocrit?

A

42

How well did you know this?
1
Not at all
2
3
4
5
Perfectly
7
Q

What is the average female haematocrit?

A

38

How well did you know this?
1
Not at all
2
3
4
5
Perfectly
8
Q

What is the lifespan of a red blood cell?

A

120 days

How well did you know this?
1
Not at all
2
3
4
5
Perfectly
9
Q

What is the lifespan of a neutrophil?

A

7-8 hours

How well did you know this?
1
Not at all
2
3
4
5
Perfectly
10
Q

What is the lifespan of a platelet?

A

7-10 days

How well did you know this?
1
Not at all
2
3
4
5
Perfectly
11
Q

What is haemopoiesis?

A

The formation of blood cells

How well did you know this?
1
Not at all
2
3
4
5
Perfectly
12
Q

What is the process of forming erythrocytes called?

A

Erythropoiesis

How well did you know this?
1
Not at all
2
3
4
5
Perfectly
13
Q

What is the process of forming platelets called?

A

Thrombopoiesis

How well did you know this?
1
Not at all
2
3
4
5
Perfectly
14
Q

What is the process of forming granulocytes called?

A

Myelopoiesis or granulopoiesis

How well did you know this?
1
Not at all
2
3
4
5
Perfectly
15
Q

What is the process of forming lymphocytes called?

A

Lymphopoiesis

How well did you know this?
1
Not at all
2
3
4
5
Perfectly
16
Q

What are blasts?

A

Nucleated blood cell precursor cells

How well did you know this?
1
Not at all
2
3
4
5
Perfectly
17
Q

What are megakaryocytes?

A

Multi-nucleated platelet precursor cells

How well did you know this?
1
Not at all
2
3
4
5
Perfectly
18
Q

What are reticulocytes?

A

Immediate red cell precursor cells

How well did you know this?
1
Not at all
2
3
4
5
Perfectly
19
Q

What are myelocytes?

A

Nucleated precursor cells between neutrophils and myeloblasts

How well did you know this?
1
Not at all
2
3
4
5
Perfectly
20
Q

What are some definitions of “myeloid”?

A

Bone marrow
Non-lymphoid lineage
Granulocytes and precursor pathways

How well did you know this?
1
Not at all
2
3
4
5
Perfectly
21
Q

What is meant by red marrow?

A

Haemopoietically active bone marrow

How well did you know this?
1
Not at all
2
3
4
5
Perfectly
22
Q

What is meant by yellow marrow?

A

Fatty, inactive bone marrow

How well did you know this?
1
Not at all
2
3
4
5
Perfectly
23
Q

How is yellow marrow effected by age?

A

Percentage of yellow marrow increases with age

How well did you know this?
1
Not at all
2
3
4
5
Perfectly
24
Q

What is the myeloid:erythroid ratio?

A

Relationship of neutrophils and precurosrs to proportion of nucleated red cell precursors (Range from 1.5:1 - 3.3:1) - This can change such as in reversal in haemolysis as a compensatory response

How well did you know this?
1
Not at all
2
3
4
5
Perfectly
25
What is the first cell in the haemopoietic lineage?
Long term haematopoietic stem cells
26
What are the 2 main progenitor cells in haematopoiesis?
Myeloid progenitor cells Lymphoid progenitor cells
27
What are the 3 cells arising from myeloid progenitor cells?
Megakaryocyte erythroid progenitors Granulocyte-Monocyte progenitors Pro-dendritic cells
28
What 2 cells are formed from megakaryocyte progenitors?
Megakaryocytes Erythrocytes
29
What 2 cell types are formed from granulocyte-monocyte progenitors?
Granulocytes Macrophages
30
What precursor cells are formed from the common leukocyte progenitor cells?
- Pro-dendritic cells - Pro-T cells - Pro-NK cells - Pro-B cells
31
What are the 7 stages of erythropoiesis?
- MEP - Pronormoblast - Early normoblast (Basophilic) - Intermediate normoblast (Polychromatophilic) - Late normoblast (Orthochromatic) - Reticulocyte (Anucleated) - Erythrocyte
32
What are the 5 main stages of neutrophil production?
- Promyelocyte - Myelocyte - Metamyelocyte - Band cell - Neutrophil
33
Describe the process of thrombopoiesis?
When a megakaryocyte divides, the cytoplasm does not, so there are multiple nuclei in a single, very large cytoplasm, the edge of which buds off to form platelets that are released into the bloodstream
34
How do mature cells leave the bone marrow?
- Formed blood cells can pass through fenestrations in endothelial cells to enter the circulation - Release of red cells is associated with sinusoidal dilatation and increased blood flow - Neutrophils acyively migrate towards the sinusoid - Megakaryocytes extend long branching processes called proplatelets into the sinusoidal blood vessels
35
What are the main developmental events in haemopoiesis?
- Self-renewal - Form 1 new copy of itself - Proliferation - Increase in numbers - Differentiation - Commit to a lineage - Maturation - Acquire functional properties - Apoptosis - Cell death
36
Where do haematopoietic stem cells originate embryologically?
Mesoderm
37
During what week of development are circulating progenitor cells detectable?
Week 5
38
What is the first site of erythroid activity in development?
Yolk sac
39
In what week of development does erythroid activity in the yolk sac end?
Week 10
40
During what week of development does the liver become haematopoietically active?
Week 6
41
During what week of development does bone marrow become haematopoietically active?
Week 16
42
Where does haematopoeis occur in adults?
Axial skeleton, pelvis and proximal long bones
43
What parts of the body are haematopoietically active at birth?
All bones
44
What are some factors that regulate haematopoiesis?
Intrinsic cell properties (E.g. stem cells vs mature) Signals from immediate surroundings Specific anatomical area Erythroid island 'nurse' macrophages
45
What factors regulate erythropoiesis?
EPO Hb
46
What factors regulate neutrophil formation?
G-CSF (Granulocyte-colony stimulating factor)
47
What factors regulate development of platelets?
Thrombopoietin
48
Where are bone marrow biopsies taken from in adults?
Posterior iliac crest of the pelvis
49
Where are bone marrow biopsies taken from in children?
Posterior tibia
50
What are some routine examinations performed on blood samples?
FBC Cell indices Morphology
51
Name the cell
Neutrophil
52
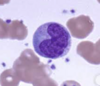
Name the cell
Monocyte
53
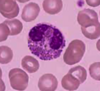
Name the cell
Lymphocyte
54
Name the cell
Eosinophil
55
Name the formation
Platelet clump
56
What is involved in immunophenotyping?
- Identifies patterns of protein (Antigen) expression, unique to a cell lineage, using antibodies in combination specific to these antibodies - Lineage specific monoclonal antibodies are added which are marked by a fluorochrome - A laser and sensor are then used to detect colour of fluorochromes present (Flow-cytometry)
57
How are bioassays performed?
Culture marrow in vitro/in vivo and show a colony of a particular cell type when incubated in different growth conditions
58
What shape are erythrocytes?
Bi-concave discs
59
How are erythrocytes adapted to their function?
Biconcave disc increases SA Haemoglobin Anucleated Network of flexible cytoskeletal elements allowing them to squeeze through smaller vessels
60
How does the spleen remove ageing red blood cells?
With age, their flexibility decreases, preventing them from moving through the small vessels within the spleen and liver, allowing aged cells to be removed as they become trapped
61
Describe the structure of the RBC membrane
- Not just a lipid bilayer, it is a complex structure containing many types of proteins - Protein spars (Spectrin proteins) run horizontally beneath the membrane to allow flexibility - Protein anchors (Ankyrin) bind these spars to the membrane
62
What are risks of erythrocytes' high haemoglobin levels?
High oncotic pressure, oxidation risk
63
What are risks of erythrocytes having no nucleus?
Cant divide, cant replace damaged proteins
64
What are risks of erythrocytes erythrocytes having no mitochondria?
Limited to glycolysis for energy generation
65
Describe the structure of haemoglobin
4 globular proteins (2a 2ß chains) Each contains a haem group, porphyrin ring and ferrous Fe2+ group
66
What is ferrous iron?
Fe2+
67
What is ferric iron?
Fe3+
68
What causes EPO production?
Hypoxia, sensed by the kidneys
69
What happens to all components of erythrocytes when they are broken down?
- Globin chains are recycled as amino acids - Haem groups are broken down into iron and porphyrin - Porphyrin is broken down into bilirubin - Fe is then stored (Ferritin or hemosiderin) , added to proteins or released to transferrin (With aid of ceruloplasmin)
70
What is glycoloysis in RBCs?
Embden-Meyerhof pathway: - This is a form of ATP production in which glucose is converted to lactate - NADH is formed from NAD+ in this process - NADH acts as an electron donor to prevent oxidation of Fe2+ to Fe3+
71
What is he name given to haemoglobin containing ferric (Fe3+) iron?
Methaemoglobin
72
What are reactive oxygen species?
- Reactive oxygen species such as superoxide and hydrogen peroxide are free radicals and have unpaired free electrons - This means they are capable of interacting with other molecules such as proteins and DNA, and damaging their structure
73
Describe the formation of reactive oxygen species?
- Oxygen (O2) → - Superoxide (O2 ^-) → - Hydrogen peroxide (H2O2) → - Water (H2O)
74
How do erythrocytes protect against oxidative damage by reactive oxygen species?
They contain glutathione
75
How does glutathione protect erythrocytes against reactive oxygen species?
Glutathione protects from hydrogen peroxide by reacting with it to form water and an oxidised glutathione product (GSSG)
76
How is glutathione replenished in erythrocytes?
- Glutathione is replenished by NADPH, which in turn is generated by the hexose monophosphate shunt (Glucose-6-Phosphate → 6-Phosphate-Gluconolactone) which skips a number of steps of glycolysis - The rate limiting enzyme of this is glucose-6-phosphate dehydrogenase (G6PD)
77
Describe the uptake of CO2 in erythrocytes at the tissue?
- CO2 is taken into the RBCs - This is reacted with H2O to form Bicarbonate (H2CO3) - This broken down into H+ and HCO3^- - H+ reacts with Hb- to form HHb - HCO3^- is exchanged with Cl- out of the cell - Water moves in with Cl- and so the cell swells
78
Describe the release of CO2 from erythrocytes at the lungs
- HCO3^- is moved into the cell as Cl- is moved out - Water moves out and the cell shrinks - H+ and HCO3^- react to form bicarbonate (H2CO3) - This is then broken down into CO2 and H2O - CO2 is then blown off at the lungs
79
What shape does the oxygen dissociation curve form?
Sigmoid curve
80
Why does the oxygen dissociation curve form a sigmoid curve?
- When 1 O2 molecule binds to the 1st haem group, it changes the shape, making it easier for the next 2 to bind, the 4th is then harder again to bind - In high PO2 environments, haemoglobin will be highly saturated - In low PO2 environments, haemoglobin will be around 70% saturated, meaning oxygen is released to the tissues, but there are some reserved - Very small changes in PO2 at this point will result in a large change in haemoglobin saturation
81
What factors can cause a Bohr shift to the left (Increased affinity for oxygen)?
- If normal environment is lower PO2 (Foetal haemoglobin, high altitudes)) - Low pH - High 2,3 BPG - High temperatures
82
What factors can cause a Bohr shift to the right (Decreased affinity for oxygen)?
- High pH - Low 2,3 BPG - Low temperature
83
What are platelets?
Small cell fragments formed by megakaryocytes
84
How are platelets adapted to their function?
Conspicuous granules - Contain coagulation factors
85
Name the cell
Neutrophils
86
What are the 2 main classes of leukocyte?
Granulocytes Agranulocytes
87
What are the 3 main types of granulocyte?
Neutrophils Eosinophils Basophils
88
What are the 2 main types of agranulocyte?
Lymphocytes Monocytes -> Macrophages
89
What is the most common type of leukocyte?
Neutrophils
90
What are the features of a neutrophil?
The granules they contain stain badly with both acidic and basic dyes, hence the name neutrophil They have a prominent, multi-lobed nucleus They can sometimes have a Barr body, an extra appendage of the multi-lobed nucleus, caused by the inactivated X chromosome in a female
91
What are the functions of a neutrophil?
- Phagocytosis - Granule release to break down tissue and attract other cells - Short lived cells not capable of further division - Numbers are increased with body stress
92
What are some causes of neutrophilia?
- Bacterial infection - Inflammation - Trauma or post-op - Corticosteroids (Moves white cells to vessel centre, so more taken in sample) - Myeloproliferative neoplasms
93
What are the features of an eosinophil?
Eosinophils have a bilobed nucleus Their granules contain high amounts of hydrolytic enzymes Their cytoplasm has an affinity for the acidic stain Eosin, hence the name
94
What are the functions of eosinophils?
- Numbers are increased with parasitic infection - Involved in hypersensitivity (Allergic) reactions - Often elevated in patients with allergic conditions (e.g. asthma, atopic rhinitis) - True function may be less apparent (Involved in immune regulation)
95
Name the cell
Eosinophil
96
What is the rarest granulocyte?
Basophil
97
What are the features of a basophil?
Their granules have a high affinity for basic dyes such as methylene blue They have a bilobed nucleus but this is often obscured by the granules The granules contain histamine, heparin and other inflammatory mediators High affinity IgE receptors on their membrane are specific to certain allergens
98
What are the functions of basophils?
- Circulating version of a tissue mast cell - Role remains unclear - Mediates hypersensitivity reactions IgE-mediated histamine release
99
Name the cell
Basophil
100
What are the 3 classes of lymphocyte?
B cells T cells Natural killer cells
101
Where are lymphocytes formed?
Bone marrow
102
Where do T-cells mature?
Thymus
103
Where do B-cells mature?
Bone marrow
104
What are some causes of lymphocytosis?
- Viral infection - Pertussis - CLL
105
Name the cell
Lymphocyte
106
What are monocytes?
Macrophage precursors
107
What are the features of monocytes?
They are the largest lymphocytes They have a non-lobulated horse shoe-shaped nucleus
108
Name the cell
Monocyte
109
What percentage of blood is plasma?
55%
110
What does plasma contain?
Blood plasma contains around 90% water, proteins such as albumin, immunoglobulins and clotting factors, nutrients and salts