Blood films: pathological cell forms Flashcards

(5 cards)

1
Q

Abnormality - Target Cell

  • Sickle-cell/thalassaemia
  • Iron-deficiency anaemia
  • Hyposplenism
  • Liver disease
A
How well did you know this?
1
Not at all
2
3
4
5
Perfectly
2
Q

Abnormality - ‘Tear-drop’ poikilocytes’

  • Myelofibrosis
A
How well did you know this?
1
Not at all
2
3
4
5
Perfectly
3
Q

Spherocytes:

  • Hereditary spherocytosis
  • Autoimmune hemolytic anaemia
A
How well did you know this?
1
Not at all
2
3
4
5
Perfectly
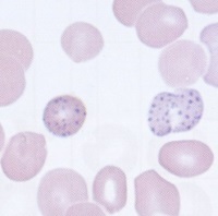
4
Q

Basophilic stippling:

  • Lead poisoning
  • Thalassaemia
  • Sideroblastic anemia
  • Myelodysplasia
A
How well did you know this?
1
Not at all
2
3
4
5
Perfectly
5
Q
A
How well did you know this?
1
Not at all
2
3
4
5
Perfectly