Bocio multinodular Flashcards

(64 cards)

1
Q

¿Qué es el bocio multinodular (MNG)?

A

Crecimiento difuso y multinodular de la tiroides por estimulación crónica de TSH.

How well did you know this?
1
Not at all
2
3
4
5
Perfectly
2
Q

¿Qué otros nombres recibe el MNG?

A

Bocio nodular simple, bocio no tóxico.

How well did you know this?
1
Not at all
2
3
4
5
Perfectly
3
Q

¿Qué es el bocio retroesternal?

A

MNG que se extiende hacia el mediastino.

How well did you know this?
1
Not at all
2
3
4
5
Perfectly
4
Q

¿Dónde se localiza el MNG?

A

Espacio visceral, lecho tiroideo, con extensión retroesternal en 40%.

How well did you know this?
1
Not at all
2
3
4
5
Perfectly
5
Q

¿Qué tamaño puede alcanzar el MNG?

A

Puede superar los 15 cm.

How well did you know this?
1
Not at all
2
3
4
5
Perfectly
6
Q

¿Qué hallazgos clave en imagen sugieren MNG?

A

Tiroides bien delimitada, agrandada, aspecto nodular heterogéneo, calcificaciones, quistes degenerativos y hemorragia.

How well did you know this?
1
Not at all
2
3
4
5
Perfectly
7
Q

¿Qué efecto tiene el MNG sobre estructuras adyacentes?

A

Desplaza vasos carótidas, comprime o desplaza tráquea.

How well did you know this?
1
Not at all
2
3
4
5
Perfectly
8
Q

¿Qué hallazgos radiográficos puede mostrar una radiografía de tórax en MNG?

A

Desviación o estrechamiento traqueal; masa mediastinal si retroesternal.

How well did you know this?
1
Not at all
2
3
4
5
Perfectly
9
Q

¿Qué muestra NECT en MNG?

A

Áreas hipodensas de quistes, nódulos sólidos intermedios, fibrosis, focos hiperdensos por calcificaciones o hemorragia.

How well did you know this?
1
Not at all
2
3
4
5
Perfectly
10
Q

¿Qué muestra CECT en MNG?

A

Parénquima tiroideo reemplazado por múltiples masas sólidas y quísticas heterogéneas, bien delimitadas de estructuras desplazadas, realce difuso e inhomogéneo, sin adenopatía.

How well did you know this?
1
Not at all
2
3
4
5
Perfectly
11
Q

¿Qué utilidad tienen las reconstrucciones coronales en MNG?

A

Visualizar vasos braquiocefálicos rodeando el MNG inferior.

How well did you know this?
1
Not at all
2
3
4
5
Perfectly
12
Q

¿Qué hallazgos muestra la RM en T1WI en MNG?

A

Baja intensidad, isointensa a músculos; señal alta con calcificaciones finas o hemorragia; señal baja con degeneración quística o calcificaciones gruesas.

How well did you know this?
1
Not at all
2
3
4
5
Perfectly
13
Q

¿Qué muestra T2WI en MNG?

A

Intensidad intermedia a alta heterogénea; señal baja con fibrosis o calcificaciones gruesas; señal alta focal con degeneración quística o hemorragia.

How well did you know this?
1
Not at all
2
3
4
5
Perfectly
14
Q

¿Qué indica la DWI en MNG?

A

ADC bajo en nódulos malignos < ADC en tejido normal < ADC en nódulos benignos.

How well did you know this?
1
Not at all
2
3
4
5
Perfectly
15
Q

¿Qué muestra T1WI con contraste en MNG?

A

Realce heterogéneo difuso.

How well did you know this?
1
Not at all
2
3
4
5
Perfectly
16
Q

¿Qué se observa en ultrasonido en MNG?

A

Múltiples nódulos, compromiso difuso bilateral, nódulos sólidos isoecoicos o parcialmente hipoecoicos, no encapsulados pero bien definidos, patrón ecoheterogéneo.

How well did you know this?
1
Not at all
2
3
4
5
Perfectly
17
Q

¿Qué hallazgos se ven en US relacionados con calcificaciones?

A

Focos hiperecogénicos con sombra densa.

How well did you know this?
1
Not at all
2
3
4
5
Perfectly
18
Q

¿Qué generan regiones quísticas o hipoecoicas en US de MNG?

A

Hemorragia, degeneración o coloide dentro del nódulo.

How well did you know this?
1
Not at all
2
3
4
5
Perfectly
19
Q

¿Qué muestra PET en MNG?

A

Captación heterogénea frecuente; captación focal requiere biopsia.

How well did you know this?
1
Not at all
2
3
4
5
Perfectly
20
Q

¿Qué papel tienen Tc-99m o I-123 en MNG?

A

No útil para evaluación inicial de bocio no tóxico; sirve para confirmar origen tiroideo de masa mediastinal; captación heterogénea con supresión del parénquima adyacente.

How well did you know this?
1
Not at all
2
3
4
5
Perfectly
21
Q

¿Cuál es el mejor estudio para valorar MNG?

A

CECT, evalúa compresión de vía aérea, extensión retroesternal y expansiones inusuales.

How well did you know this?
1
Not at all
2
3
4
5
Perfectly
22
Q

¿Cuándo se usa US en MNG?

A

Para guiar biopsia por aguja fina de nódulos sólidos.

How well did you know this?
1
Not at all
2
3
4
5
Perfectly
23
Q

¿Qué técnica se prefiere si se sospecha malignidad en MNG?

A

MR para estadificar ganglios sin interferir con tratamiento con I-131.

How well did you know this?
1
Not at all
2
3
4
5
Perfectly
24
Q

¿Qué precaución debe tener el CT de cuello en MNG?

A

Realizarlo con brazos abajo, ya que levantados exageran la extensión retroesternal.

How well did you know this?
1
Not at all
2
3
4
5
Perfectly
25
¿Cuál es la etiología del bocio esporádico?
Generalmente desconocida, raramente inducido por fármacos.
26
¿Cuál es la causa del bocio endémico?
Deficiencia de yodo.
27
¿Qué porcentaje de MNG tiene foco maligno en cirugía?
5%.
28
¿Qué carcinoma puede surgir sobre un MNG?
Carcinoma anaplásico de tiroides.
29
¿Qué función tiroidea tienen la mayoría de pacientes con MNG?
Eutiroideos, raramente hipotiroideos.
30
¿Qué es bocio tóxico?
MNG asociado a hipertiroidismo; poco frecuente.
31
¿Qué es enfermedad de Plummer?
Adenoma tóxico dentro de un MNG.
32
¿Qué signo clave ayuda al diagnóstico de MNG en imagen?
Contorno bien definido de la tiroides, a pesar de aspecto bizarro.
33
¿Hasta dónde debe cubrir el CT de cuello en MNG?
Hasta el límite inferior del MNG.
34
¿Cuál es la causa del bocio esporádico?
Generalmente desconocida, con ingesta adecuada de yodo; raramente inducido por fármacos como litio o aminoglutetimida.
35
¿Qué causa el bocio endémico?
Deficiencia ambiental de yodo → elevación de TSH → hiperplasia tiroidea difusa → involución, fibrosis, hiperplasia focal y nódulos.
36
¿Qué porcentaje de MNG tiene foco maligno en cirugía?
5%, misma incidencia que un nódulo tiroideo solitario.
37
¿Cuál es el carcinoma más común en MNG?
Carcinoma diferenciado de tiroides.
38
¿Qué carcinoma puede surgir sobre un MNG?
Carcinoma anaplásico de tiroides.
39
¿Cómo se ve macroscópicamente el MNG?
Conjunto de múltiples nódulos coloides y adenomatosos, parcialmente encapsulados y de tamaño variable.
40
¿Qué hallazgos microscópicos tiene el MNG?
Folículos distendidos con coloide e hiperplasia; degeneración folicular causa infarto, hemorragia, fibrosis, quistes y calcificaciones.
41
¿Síntoma más frecuente de MNG?
Masa cervical baja, multinodular.
42
¿Cuál es la causa más frecuente de agrandamiento asimétrico tiroideo?
MNG.
43
¿Qué síntomas adicionales puede producir el MNG?
Compresión de vía aérea (55%), disfonía (15%), disfagia y síndrome de vena cava superior (10%).
44
¿Cuál es el perfil funcional tiroideo habitual en MNG?
La mayoría eutiroideos.
45
¿Qué es bocio tóxico?
MNG + hipertiroidismo, por múltiples áreas hiperfuncionantes o adenoma tóxico (enfermedad de Plummer).
46
¿Qué medicamento puede inducir hipertiroidismo en MNG no tóxico?
Amiodarona u otros fármacos yodados.
47
¿A qué edad ocurre el bocio esporádico?
No tiene edad específica.
48
¿Cuándo ocurre el bocio endémico?
Durante la infancia y crece con la edad.
49
¿Relación mujer:hombre en MNG?
2-4:1.
50
¿Qué porcentaje de población tiene bocio esporádico en países desarrollados?
3-5%.
51
¿Qué porcentaje mundial está afectado por bocio endémico?
Más del 13%.
52
¿Prevalencia de bocio en deficiencia leve de yodo?
5-20%.
53
¿Prevalencia de bocio en deficiencia moderada de yodo?
20-30%.
54
¿Prevalencia de bocio en deficiencia severa de yodo?
>30%.
55
¿Qué ocurre en la historia natural del MNG?
Crecimiento y formación de nódulos → autonomía funcional, que rara vez causa tirotoxicosis; puede involucionar o crecer causando síntomas compresivos o estéticos.
56
¿Se trata un MNG asintomático, no palpable hallado incidentalmente?
No requiere tratamiento.
57
¿Qué se hace ante nódulo duro y creciente en MNG?
Aspiración para descartar malignidad.
58
¿Qué tratamiento se indica para MNG grande, no tóxico, compresivo?
Cirugía, con reemplazo hormonal postoperatorio; hipoparatiroidismo o lesión del nervio laríngeo recurrente son raros; radioyodo si hay comorbilidades que contraindican cirugía.
59
¿Tratamiento del bocio tóxico?
Cirugía o radioyodo.
60
(Izquierda) La radiografía de tórax en proyección posteroanterior demuestra un desplazamiento marcado de la tráquea cervical y torácica debido a una gran masa en el cuello izquierdo y mediastino superior. (Derecha) La CECT reformateada en cortes coronales en el mismo paciente ilustra la extensión craniocaudal del MNG con tejido tiroideo heterogéneo bilateralmente, pero con un aumento más marcado del lóbulo izquierdo. Se evidencia un desplazamiento marcado de la laringe subglótica y de la tráquea. La vena braquiocefálica izquierda está desplazada inferiormente, pero no comprimida por el lóbulo izquierdo.
61
(Izquierda) CECT axial a nivel del cricoides muestra lóbulos tiroideos marcadamente heterogéneos, lobulados y agrandados, así como un istmo tiroideo. No se evidencian calcificaciones ni quistes francos. A pesar de la heterogeneidad de la tiroides, los márgenes de la glándula están bien definidos y las estructuras adyacentes están simplemente desplazadas. (Derecha) CECT axial a través de la unión cervicotorácica en el mismo paciente revela una extensión inferior del lóbulo izquierdo agrandado en el mediastino superior, posterior al manubrio. La tráquea está desplazada hacia la derecha.
62
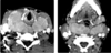
(Izquierda) CECT axial a través del nivel de la laringe infraglótica en un paciente con MNG muestra un agrandamiento simétrico de los lóbulos tiroideos, que aparecen hiper densos con áreas parcheadas de baja densidad y pequeñas calcificaciones focales. La glándula permanece bien demarcada sin evidencia de invasión de tejidos blandos adyacentes. (Derecha) CECT axial más superiormente al nivel del hioides en el mismo paciente muestra un crecimiento craneal inusual, con MNG extendiéndose posterior y medialmente alrededor de la faringe de manera que los lóbulos se encuentran en línea media.
63
(Izquierdo) La RM T1WI sagital muestra el estrechamiento y desplazamiento de la tráquea hacia posterior a medida que el bocio se extiende desde el cuello inferior hasta el mediastino superior. Las áreas focales de acortamiento en T1 dentro de la tiroides aumentada representan calcificaciones o hemorragia. (Derecho) La RM T2WI axial en el mismo paciente muestra un bocio nodular con textura heterogénea y áreas de degeneración quística hiperintensa. T2 demuestra mejor la clara delimitación de la tiroides con respecto a los músculos estrapados adyacentes y las arterias carótidas.
64