Bolhosas Flashcards

(26 cards)

1
Q

Bolhosas intraepidermicas

A
  • PF (classico/cazenave , endemico/fogo selvagem, P. eritematoso)
  • PV
  • P paraneoplasico
  • P induzido por drogas
How well did you know this?
1
Not at all
2
3
4
5
Perfectly
2
Q

Bolhosas subepidermicas

A
  • PB
  • DH
  • Herpes gestacional (penfigoide gestacional)
  • Dermatose por IgA linear
  • EBA
  • Lupus eritematoso bolhoso
How well did you know this?
1
Not at all
2
3
4
5
Perfectly
3
Q

Penfigo foliaceo

Qual auto anticorpo?

A

Anti DMG1 de 160kD (IGG4)

How well did you know this?
1
Not at all
2
3
4
5
Perfectly
4
Q

Penfigo foliaceo

- AP e IFD

A
Clivagem alta (subcornea ou granulosa) 
Acantolise
Infiltrado misto

IFD: coletada perilesional 1-2cm da bolha
depósito linear intraepitelial (em rede)
Igg e C3 na epiderme em 100% dos casos

How well did you know this?
1
Not at all
2
3
4
5
Perfectly
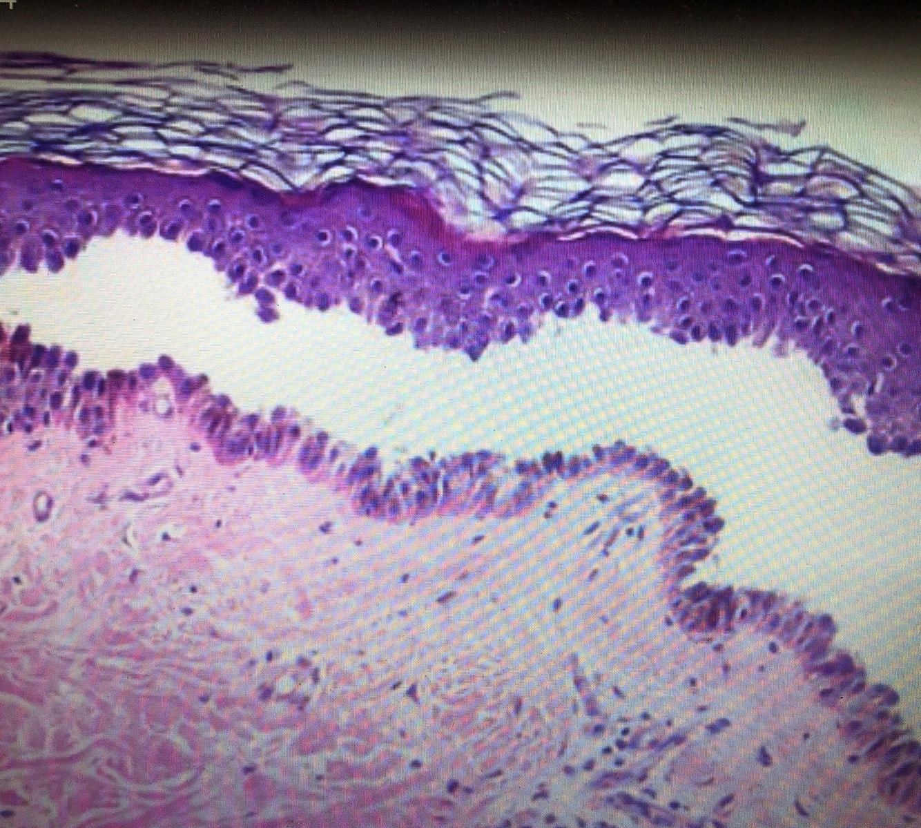
5
Q

Qual diagnostico?

Qual diagnostico?
A

PF (acantolise, clivagem epidermica alta)

How well did you know this?
1
Not at all
2
3
4
5
Perfectly
6
Q

Qual diagnóstico?

A

PV (clivagem suprabasal, acantolise)

How well did you know this?
1
Not at all
2
3
4
5
Perfectly
7
Q

Penfigo Vulgar

- Qual auto anticorpo?

A

Anti DMG3 130kD (IGG4)

  • tb pode ter anti DMG1 160kD
  • pode atravessar placenta e causar doença no RN
How well did you know this?
1
Not at all
2
3
4
5
Perfectly
8
Q

Penfigo induzido por drogas

- Quais principais medicamentos envolvidos?

A
d penicilamina
captopril
ieca
pencilina
cefalosporina
Hcq
*anti DmG1 e 3
How well did you know this?
1
Not at all
2
3
4
5
Perfectly
9
Q

Penfigo paraneoplasico

- quais principais neoplasias associadas?

A
  • LNH
  • LLC
  • Castleman
  • Timoma
How well did you know this?
1
Not at all
2
3
4
5
Perfectly
10
Q

Penfigo paraneoplasico

- Qual auto-anticorpo?

A

Anti desmoplaquina
Anti plectina
(IGG1)

How well did you know this?
1
Not at all
2
3
4
5
Perfectly
11
Q

Estomatite erosiva e muito resistente à terapia é caracteristica de qual dç bolhosa?

A

Penfigo paraneoplasico (erosao mucosa muito grave e exuberante!)

How well did you know this?
1
Not at all
2
3
4
5
Perfectly
12
Q

Penfigo paraneoplasico

- Quais principais causas de morte?

A

Bronquiolite obliterante e sepse

How well did you know this?
1
Not at all
2
3
4
5
Perfectly
13
Q

Qual o dx?

A

Penfigo paraneoplasico

  • clivagem suprabasal
  • degeneração hidrópica da camada basal com padrao liquenoide (dermatite de interface)
How well did you know this?
1
Not at all
2
3
4
5
Perfectly
14
Q

Penfigoide bolhoso

- quais os antigenos?

A

Antigenos da placa hemidesmossomica

  • BP230 (antigeno do penf bolhoso 1)
  • BP180 (antigeno do penf bolhoso 2 ou Colageno XVII)

IGG4!!!

How well did you know this?
1
Not at all
2
3
4
5
Perfectly
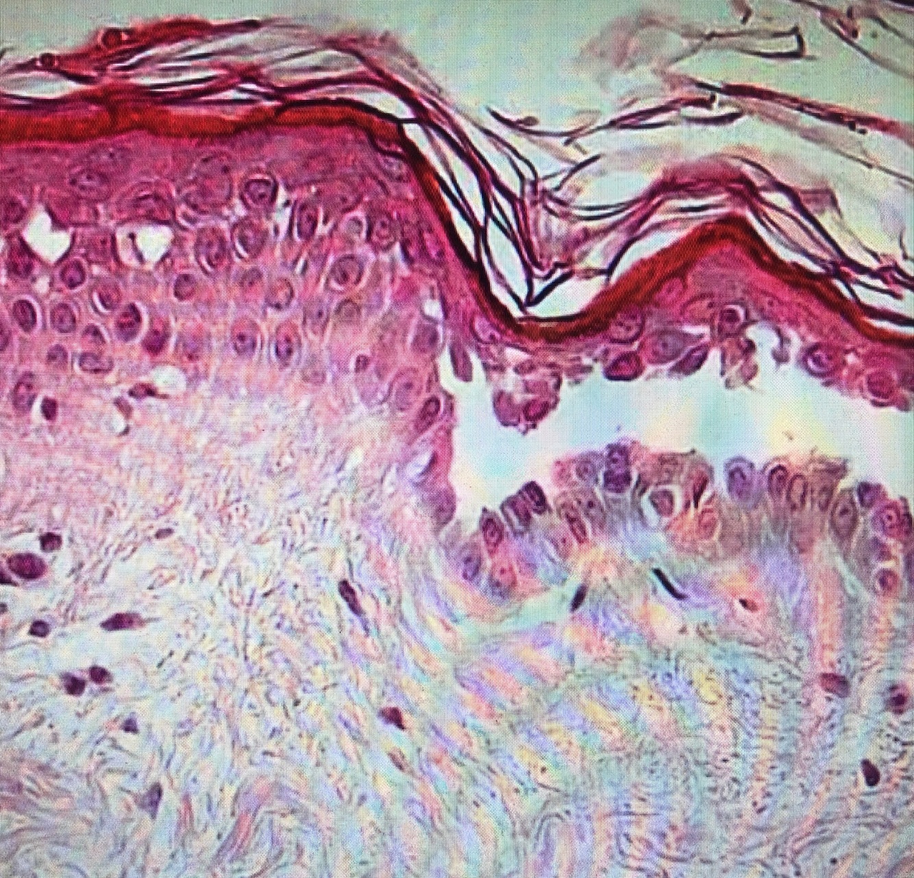
15
Q

Qual o dx?

A

Penfigoide bolhoso
Ap: clivagem subepidermica, com neutrofilos e eosinofilos
Salt split skin: fluorescencia no teto da bolha

How well did you know this?
1
Not at all
2
3
4
5
Perfectly
16
Q

Penfigoide gestacional

- qual o antigeno?

A

BP180 e 230

IGG1!!

17
Q

Qual o dx?

A

Penfigoide gestacional (ou herpes gestacional)

  • lesoes de aspecto anular que acometem inicialmente umbigo
  • quadro polimorfo
  • reação imune incompatibilidade mae x feto
  • 2 e 3 trimestre
18
Q

Qual o dx?

A

Dermatite herpetiforme

- AP: bolha subepidermica com microabscessos de neutrofilos nas papilas dermicas

19
Q

Homem com papulas e vesiculas agrupadas sobre base eritematosa em cotovelos e joelhos. Queixa de prurido. Qual Dx?

A
Dermatite herpetiforme (dermatite de duhring) 
- IFD com deposito granular de IgA na papila dermica
20
Q

EBA

- Qual antigeno?

A

Colageno tipo VII (fibrilas de ancoragem)

IGG!

21
Q

Tipos de EB

A
  • EB simples
  • EB juncional
  • EB dermolítica (distrofica)
22
Q

EB SIMPLES : onde é a mutação?

A

CK 5 e 14 (por isso n forma cicatriz)

- é o tipo mais comum

23
Q

EB simples: subtipos

A
  • Localizada de Weber Cockayne (lesoes acrais)
  • Generalizada de koebner
  • Dowling-Meara: mais severa, queratodermia PP
  • EBS com pigmentação mosqueada
24
Q

EB juncional: onde é a mutação?

A

Disturbio na expressão de laminina 5, bp180 (lamina lucida)

- é autossomica recessiva!

25
EB distrofica: onde é a mutação?
Colageno VII
26
EB Distrofica: subtipos
EBD Hallopeau simens: mto grave e mutilante, lesoes desde o nascimento, sinequias, alt dentarias EBD Mitis: leve, quadro mais localizado