Recap:
Major functions of bone
Types of bone
Cells involved in bone remodelling
Osteoid composition
What else do osteoblasts secrete?
How is bone remodelling regulated?
Regulation –> balance of OPG to RANKL, hormones PTH and oestrogen, interleukins, cytokines and age.
*
Bone structure and function:
Describe main functions of bone as a metabolic tissue
Describe main functions of bone as a protective load bearing tissue
Metabolic tissue:
Protective, load bearing:
What pathological changes can there be to bone?
What clinical tests are there to assess bone structure?
What is osteoporosis?
What bones are most commonly fractured?
Osteoporosis = complex skeletal disease characterised by low bone density and microarchitectural defects in bone tissue, resulting in increased bone fragility and susceptibility to fracture.
Common, affects 3,000,000 people in the UK, european and asian populations
Risk of fracture increases with Age, 1/2 for women, 1/5 for men, most common in post menopausal women
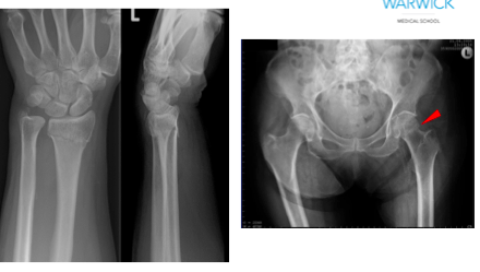
Bones most commonly fractured = neck of femur, vertebra and wrist

What damage can occur to the vertebral column with osteoporosis?

What is the pathology shown?

What are the wider implications of osteoporosis?
What are some of the risk factors for osteoporosis?
Unmodifiable:
Modifiable:

Describe the pathophysiology of osteoporosis
Peak bone density is achieved after reaching bone maturity, after which is declines with age. PBD influenced by genetics, nutrition and physical activity.
Women decline faster than men

What are the main screening tools used in osteoporosis?
What is secondary prevention?
What is DEXA?
What are possible DEXA scores?

How would you manage osteoporosis?
What pharmacological treatments can be used to treat osteoporosis?
Name a bisphosphate and its administration
What is their mechanism of action
What diseases are they useful in treating?
What are their side effects
Absorption and elimination:
Name the SERM used in osteoporosis treatment
What is its MOA? why is it useful?
SERM = selective estrogen receptor modulator = Raloxifine
MOA: has mixed agonist/ antagonist function at the ER
Useful as hormone replacement therapy used to stimulate all estrogen receptors so women were at risk of developing breast and uterine cancers. SERM Raloxifine stimulates ER in bone, anatogonises ER in breast/ uterine tissue.
Use: osteoporosis
What hormone can be used in osteoporosis treatment?
What is its action
How is it administered
What are the SE’s?
What antibody treatment can be used in osteoporosis?
What is its MOA
Administration
SE’s

Name two disorders that affect mineralisation of bone
Which groups do these disorders primarily affect?
What are the most common causes of these disorders?
What are three key pathological features with rickets?

what are some of the key presentation features of osteomalacia?
What blood tests would you do? What results would you expect?
How can we treat osteomalacia?
Blood tests:
Usually treated with education, diet and supplements
What different types of bone cancer can be seen?

What is Paget’s disease?
what is the pathophysiology and what type of lesions can be seen?
What bones may it affect?
What is its occurence?

What investigations would be done in suspected Paget’s disease?
What results would you expect?