Bone pathology Flashcards

(40 cards)

1
Q

Osteogenesis Imperfecta

A
  • Mutation
    • COL1A1 (Chromosome 12)
    • COL1A2 (Chromosome 7)
  • Types:
    • Mild (type 1)
      • increased fracture of limbs
      • hearing loss or premature osteoporosis
    • Moderate (Type 3-9)
      • more bone fractures and deformities
      • Cardiovascular defects
      • short stature
      • hyperflexible
    • Lethal (type 2)
      • prenatal lesions
        • pulmonary failure
How well did you know this?
1
Not at all
2
3
4
5
Perfectly
2
Q

Osteogenesis Imperfecta: Bone Manifestations

A
  • Brittle bones
  • Short Stature
  • Basilar Skull deformities
    • pressure on cranial nerves
How well did you know this?
1
Not at all
2
3
4
5
Perfectly
3
Q

Osteogenesis imperfecta: Clinical Manifestations

A
  • Blue sclera
  • Wormian bones
  • increased Class III Malocclusion
How well did you know this?
1
Not at all
2
3
4
5
Perfectly
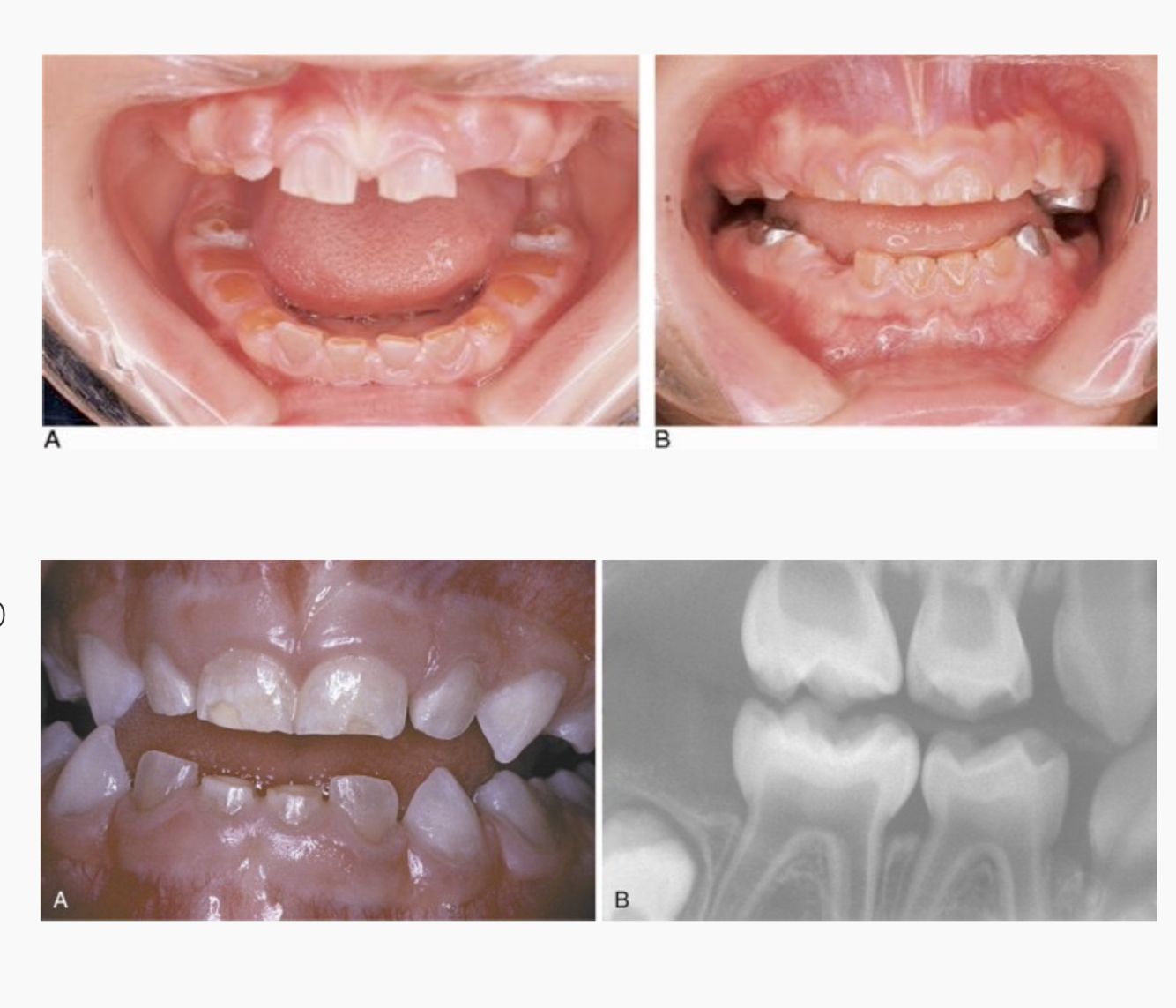
4
Q

Osteogenesis Imperfecta: Oral Manifestations

A
  • Opalescent teeth
    • wear quickly
    • Yellow/gray color
  • Radiograph:
    • CEJ constriction→Tulip shaped teeth
    • short and blunted roots
How well did you know this?
1
Not at all
2
3
4
5
Perfectly
5
Q

Osteopetrosis

A
  • aka: Marble Bone Disease
    • Erlenmeyer Flask Appearance
  • Types:
    • Malignant Type
    • Intermediate Type
    • Benign Type
How well did you know this?
1
Not at all
2
3
4
5
Perfectly
6
Q

Osteopetrosis: Malignant Type

A
  • aka autosomal recessive infantile type
  • Severe form
  • at birth/early age
  • Anemia
  • Hypertelorism (Broad Face)
  • widespread skeletal density (X-ray)
    • increased density in all bones
  • Poor prognosis (<1 year after birth)
How well did you know this?
1
Not at all
2
3
4
5
Perfectly
7
Q

Osteopetrosis: Intermediate Type

A
  • aka Autosomal Recessive Intermediate Type
  • Asymptomatic at birth
    • fractures appear at end of 1st decade
  • Less severe form of infantile
  • RANKL
  • RANK
How well did you know this?
1
Not at all
2
3
4
5
Perfectly
8
Q

Osteopetrosis: Benign Type

A
  • Aka Autosomal Dominant Adult Type
  • Most common type
  • Adolescents (10-19)
  • less severe manifestations
    • 40% asymptomatic
  • LRP5
    • bone formation by osteoblasts
  • CLCN7
    • chloride channel
How well did you know this?
1
Not at all
2
3
4
5
Perfectly
9
Q

Osteopetrosis: Management

A
  • No Tx=poor prognosis
    • die during 1st decade
  • Bone marrow transplant
  • Corticosteroids
  • limit calcium intake
How well did you know this?
1
Not at all
2
3
4
5
Perfectly
10
Q

Massive Osteolysis

A
  • Aka
    • Vanishing Bone Disease
    • Phantom Bone Disease
  • Mostly children and young adults
  • Spontaneous progressive destruction of 1+ bones
    • replaced w/vascular proliferation
    • fills w/fibrous tissue (does not regenerate/repair)
How well did you know this?
1
Not at all
2
3
4
5
Perfectly
11
Q

Massive Osteolysis: Clinical Features

A
  • mobile teeth
  • pain
  • malocclusion
  • deviation of mandible
  • obvious deformities
How well did you know this?
1
Not at all
2
3
4
5
Perfectly
12
Q

Massive Osteolysis: Radiographic Findings

A
  • Large portions of bone disappear
  • New area→before obvious radiolucency
    • loss of lamina dura
    • thinning of cortical plates
How well did you know this?
1
Not at all
2
3
4
5
Perfectly
13
Q

Massive Osteolysis: Management

A
  • Radiation Therapy
    • most successful
    • risk-post radiation sarcoma
  • Bisphosphonate Therapy
How well did you know this?
1
Not at all
2
3
4
5
Perfectly
14
Q

Cleidocranial Dysplasia

A
  • Autosomal Dominant mutation
    • RUNX2 gene on chromosome 6q21
  • Bone defects of:
    • clavicles
    • skull
How well did you know this?
1
Not at all
2
3
4
5
Perfectly
15
Q

Cleidocranial Dysplasia: Clinical Features

A
  • Short Stature
  • Long “Swan” Neck
  • Hypertelorism
  • Depressed Nasal Bridge
  • Delayed Closing of Skull sutures
How well did you know this?
1
Not at all
2
3
4
5
Perfectly
16
Q

Cleidocranial Dysplasia: Oral Manifestations

A
  • Maxilla:
    • thin zygomatic arch
    • Small/absent maxillary sinus
  • Numerous impacted teeth
    • permanent teeth delayed or failure to erupt
  • retention of deciduous teeth
  • Palate-Narrow, High arch
    • increased prevalence of cleft palate
How well did you know this?
1
Not at all
2
3
4
5
Perfectly
17
Q

Cleidocranial Dysplasia: Management

A
  • Full mouth extraction and give denture
  • Before adult
    • prevent lower face height and mandibular prognathism
18
Q

Focal Osteoporotic Bone Marrow Defect

A
  • area of hematopoietic marrow→ produce radiolucency
  • Asymptomatic
    • identified by accident
  • Women
  • Posterior Mandible
  • Incisional Biopsy
    • find bone marrow
    • necessary to establish dx
19
Q

Idiopathic Osteosclerosis

A
  • focally/focused increased bone density
    • unknown cause
  • must rule out
    • inflammation
    • dysplastic
    • neoplastic
    • systemic disorders
  • If multiple lesions-rule out Gardner Syndrome
20
Q

Paget’s Disease of Bone

A
  • aka osteitis deformans
  • 2nd most common metabolic bone disorder
    • osteoporosis=1st
  • Anarchic resorption and deposition of bone
    • result=distortion and weakened
  • Angio-Saxon ancestor
    • rare before 40 y.o.
  • most are asymptomatic
    • some pain due to turnover or secondary complications
21
Q

Paget’s disease of Bone: Clinical Manifestation

A
  • Monkey Leg Stance
  • Bone gets thicker and thinner over time
22
Q

Paget’s disease of Bone: Head and Neck Manifestations

A
  • Enlarged middle ⅓ of Face
  • generalized hypercementosis
  • Osteoporosis circumscripta
    • large radiolucency in skull
    • early stage
  • cotton wool appearance
  • Lincoln’s Sign (Black Beard)
    • Mandible
23
Q

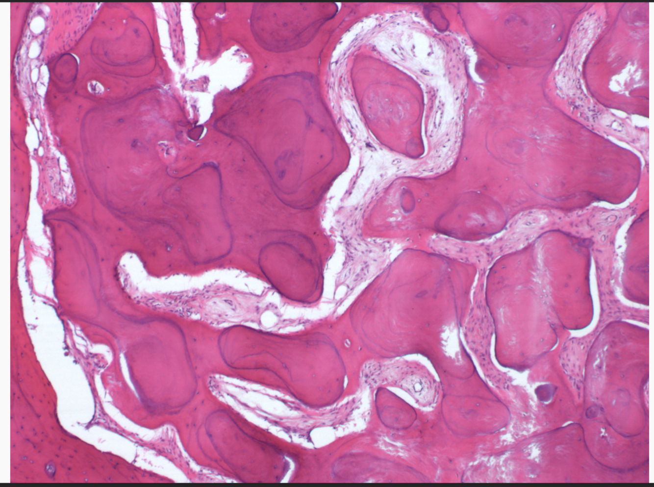
Paget’s disease of Bone: Histology

A
  • Jigsaw Puzzle w/Basophilic reverse lines
    • “mosaic appearance”
      • looks like enamel formation
24
Q

Paget’s Disease of Bone: Complications

A
  • Hypercementosis
  • Osteomyelitis (late disease)
  • Osteosarcoma
  • Giant Cell tumors
25
Central Giant Cell Granuloma
* Not a true granuloma * Unknown Etiology * Type: * Non-aggressive: Mainly * Aggressive * Multifocal presentaiton * Cherubism * Hyperparathyroidism
26
Central Giant Cell Granuloma: Non-aggressive granuloma
* most common * small, asymptomatic * slow, painless jaw expansion
27
Central Giant Cell Granuloma: Aggressive Type
* rapid growth * painful * Cortical Proliferation * root resorption * tooth displacement
28
Cherubism
* Manifestation of Central Giant Cell Granuloma * Eyes turned up to heaven * 2 balls at chin * displaced teeth
29
Hyperparathyroidism
* manifestation of Central Giant Cell Granuloma * _Brown tumor_ * involves: * mandible * clavicle * Secondary Hyperparathyroidism of chronic renal disease * _Renal Osteodystrophy_ * striking enlargement of jaw * Secondary HPT
30
Simple Bone Cyst
* aka traumatic bone cyst * empty or fluid filled cavity in bone * no epithelium * Unknown Etiology: * Trauma-hemorrhage Theory * internal hematoma due to trauma * Mostly In long bone * Humorous * proximal femur * Painless swelling * posterior mandible * apex of teeth don't have support
31
Aneurysmal Bone Cyst
* Intraosseous rdiolucency * blood filled * surrounded by fibrotic tissue and reactive bone * Classified as:: * Primary-arising de novo * Secondary: associated with another bone disease * Oral Manifestations: * Rapidly enlarging swelling * Mandible\>maxilla * cortical expansion and thinning * **Blood-soaked sponge** * Histology: * Contains Multinucleated Giant cells
32
Fibrous Dysplasia
* Benign * bone replace with cellular fibrous tissue and irregular trabeculations * Types: * _Monostotic Fibrous Dysplasia_ * _Polystotic Fibrous Dysplasia_
33
Monostotic Fibrous Dysplasia
* Type of Benign Fibrous Dysplasia * mostly limited to 1 bone * "Ground Glass Appearance * Superior displacement of Inferior alveolar nerve is possible * **Craniofacial Fibrous Dysplasia**
34
Polyostotic Fibrous Dysplasia:
* Type of Benign Fibrous Dysplasia * 2+ bones * Dx before 10 y.o. * Painful * associated with: * Jaffe-Lichtenstein Syndrome * McCune-Albright Syndrome * Mazabraud syndrome * “Coast of maine”
35
Cemento-Osserous Dysplasia
* **Most common Benign Fibrooseous lesion (BFOL) in clinic** * tooth bearing areas * derived from: * PDL or… * bone=_reactive lesion_ * Types: * Focal COD * Periapical COD * Florid COD
36
Focal Cemento-Osseous Dysplasia
* Type of COD * single site * **mainly Posterior Mandible** * Caucasian Females * mixed radiolucent and radiopaque pattern * well defined w/slightly irregular borders * Vitality test
37
Periapical Memento-Osseous Dysplasia
* Type of COD * Mainly Periapical region of anterior mandible * African American Females * Early Stage: * circumscribed radiolucency at apex * End Stage * circumscribed dense calcification surrounded by narrow radiolucent rim
38
Florid Cements-Osseous Dysplasia
* multifocal involvement (more than one focus) * African American female * middle aged * Dx: * multiple lesions w/vital anterior teeth * no need for biopsy?
39
Familial Gigantiform Cementoma
* Autosomal Dominant Trait * Significant facial deformity * limited to jaws-Maxilla and mandible * Radiograph: * look similar to COD * multiple radiolucencies in periodical regions * Tx: * reseection * if treated to early, may grow back
40
Ossifying Fibroma
* True neoplasm w/growth potential * mostly women * 3rd-4th decade * Mandible * premolar/molar area * commonly identified in pt w/**Hyperthyroidism-Jaw Tumor** *