bone pathology Flashcards

(70 cards)

1
Q

bone histology

A

Hard tissue but is vital
Compact bone made of osteons with haversian canal in the middle
* haversian canal has blood vessels – bone laid down in concentric lamellae bone rings (by osteoblasts)

Osteocytes sit in lacunae within the concentric lamellae
Interstitial lamellae between concentric lamellae
Circumferential lamellae – around outside

Lateral Volkman’s canals
* Allow osteocytes to communicate with each other and exchange info about environment.

Periosteum – where you find pain receptors and more vessels
Cellular, time goes get more lumbar

Osteoblasts – oval in shape, sit next each other
* Become surrounded by bone – osteocytes
* Multinucleated osteoclasts – sits on surface of bone, breaks down bone to release minerals into body if needed

How well did you know this?
1
Not at all
2
3
4
5
Perfectly
2
Q

bone remodelling cycles
factors

3 groups

A

mechanical stimuli

systemic hormones
* Parathyroid hormone (PTH)
* Vitamin D3 (hormone)
* Oestrogen
* others

cytokines – release them leads to osteoclast activation

complex interactions promote growth of cells and bone matrix
amount of bone recycled same as bone formed, net amount of bone in *skeleton is the same.

How well did you know this?
1
Not at all
2
3
4
5
Perfectly
3
Q

special test for bone

A

bone biochemistry

not easy to biopsy

How well did you know this?
1
Not at all
2
3
4
5
Perfectly
4
Q

bone biochemistry looks at

4

A

blood calcium (2.20 to 2.60 mmol/L)

osteoblast activity (bone formation)
* serum alkaline phosphatase (30 to 130 U/L)
* Osteocalcin (Vit K dependent) (< 15 ng/L)

osteoclast activity (bone resorption)
* collagen degradation urine & blood (collagen is found in bone)

parathyroid hormone (1.6 to 7.5 pmol/L)

vitamin D assays (>50 nmol/L adequate)

How well did you know this?
1
Not at all
2
3
4
5
Perfectly
5
Q

5 bone developmental abnormalities

A

torus

osteogenesis imperfecta

achondroplasia

osteopetrosis

fibrous dysplasia

How well did you know this?
1
Not at all
2
3
4
5
Perfectly
6
Q

torus

A

Developmental exostosis

Problem with fitting dentures
Torus palatinus - Midline of palate – horseshoe design, window relief
Torus/Tori mandibularis - Bilateral on lingual aspect of mandible (usually premolar region)

Benign
can be surgically reduced
not always symmetrical

How well did you know this?
1
Not at all
2
3
4
5
Perfectly
7
Q

CBCT scan
trabecullar bone is

cortical bone is

A

trabecullar bone is radiolucent

cortical bone is radiopaque

How well did you know this?
1
Not at all
2
3
4
5
Perfectly
8
Q

osteogenesis imperfecta

A

**Type 1 collagen defect **
* Inheritance varied - 4 main types (type 3 – has dentigerous imperfecta)

Clinical
* Weak bones, multiple fractures - Wheelchair bond eventually
* Sometimes associated with dentinogenesis imperfecta

How well did you know this?
1
Not at all
2
3
4
5
Perfectly
9
Q

achondroplasia

A

Autosomal dominant
Poor endochondral ossification (formation of long bones)
Dwarfism

How well did you know this?
1
Not at all
2
3
4
5
Perfectly
10
Q

osteopetrosis

A

Lack of osteoclast activity
* Failure of resorption

Marrow obliteration (due to dense cortical bone deposition)
* Anaemia and delayed healing
* Hard to extract teeth

opposite of osteoporosis

How well did you know this?
1
Not at all
2
3
4
5
Perfectly
11
Q

fibrous dysplasia

clincal appearance and occurence

A

Gene defect

Slow growing, asymptomatic bony swelling
**Bone replaced by fibrous tissue **

Active under 20years
Stops growing after active growth period – usually

Clinical phenotypes Determined by timing of gene mutation
Monostotic – single bone
* More common
* Maxilla > mandible
* Facial asymmetry
Polyostotic – many bones
* Albright’s syndrome - Melanin pigment (coffee spots on body); early puberty (under 5 for girls)

How well did you know this?
1
Not at all
2
3
4
5
Perfectly
12
Q

fibrous dysplasia

radiographic appearance

A

Variable appearances radiographically
* “Ground glass”, “orange peel”, “fingerprint whorl”, “cotton wool”, amorphous
* Abnormal trabecular bone – loss of pattern
* Margins often blend into adjacent bone

Bone maintains approximate shape (initially)
Becomes more radiopaque as lesion matures

How well did you know this?
1
Not at all
2
3
4
5
Perfectly
13
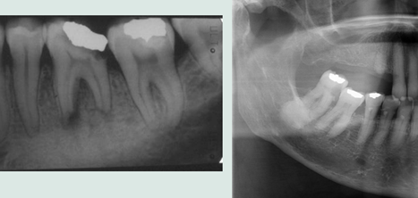
Q

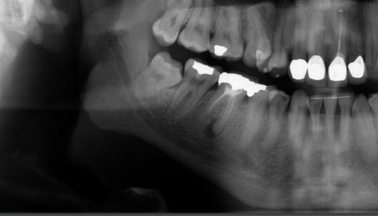
what bone pathology is happening here

A

Compare to other side

Upper left quadrant – alveolar crest drops down - FIBROUS DYSPLASIA

Can get secondary lesions within – solitary bone cysts (radiolucencies within)

How well did you know this?
1
Not at all
2
3
4
5
Perfectly
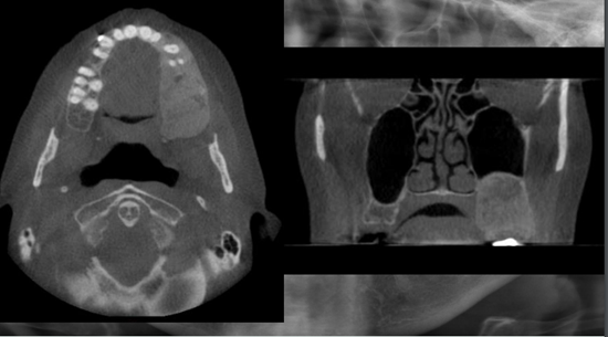
14
Q

CBCT
axial view

A

look from above

How well did you know this?
1
Not at all
2
3
4
5
Perfectly
15
Q

CBCT
coronal view

A

look front on

How well did you know this?
1
Not at all
2
3
4
5
Perfectly
16
Q

CBCT
sagittal view

A

look side on

How well did you know this?
1
Not at all
2
3
4
5
Perfectly
17
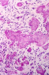
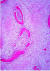
Q

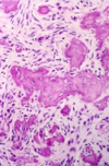
fibrous dysplasia histology

A

“fibro-osseous”

fibrous replacement of bone
* cellular fibrous tissue background with some bone in it
* bone – metaplastic or woven, but will remodel and increase in density (metaplastic - don’t have osteoplastic cells)

not separated – no capsule – blends into surrounding adjacent bone (both histopathologically and radiolucency)

Not exclusive to fibrous dysplasia – need clinical appearance, bone biochemistry to get clinical dx

How well did you know this?
1
Not at all
2
3
4
5
Perfectly
18
Q

clincal dx of fibrous dysplasia

A

clinical appearnce
bone biochemistry (osteoblast and osteoclast activity)
histological appearance
radiographs

should stop when pt stops growing

needs all for dx

How well did you know this?
1
Not at all
2
3
4
5
Perfectly
19
Q

clincal dx of fibrous dysplasia

A

clinical appearnce
bone biochemistry (osteoblast and osteoclast activity)
histological appearance
radiographs

should stop when pt stops growing

needs all for dx

How well did you know this?
1
Not at all
2
3
4
5
Perfectly
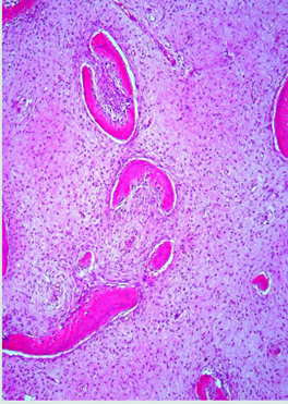
20
Q

rarefying osteitis

A

Localised loss of bone in response to inflammation

Always occurring secondary to another form of pathology
* If at apex of tooth consider periapical periodontitis, periapical granuloma or periapical abscess
* Non-vital tooth
* Presents more radiographically rather than clinically ?

How well did you know this?
1
Not at all
2
3
4
5
Perfectly
21
Q

sclerosing osteitis

A

Localised increase in bone density in response to low-grade inflammation

Most common around apex of tooth with a necrotic pulp
* Periapical radiopacity, often poorly-defined
* May eventually lead to external root resorption if chronic

Dense trabeculation around grossly carious tooth

Indicates area of inflammation (non-vital tooth – XLA or RCT), its just dense bone – not radiopaque tumour.
Manage stimulus to resolve

*abnormal hardening *

How well did you know this?
1
Not at all
2
3
4
5
Perfectly
22
Q

idiopathic osteosclerosis

A

**Localised increase in bone density of unknown cause **
a.k.a. dense bone island

no inflammation

Most common in premolar-molar region of mandible

Always asymptomatic

No bony expansion & no effect on adjacent teeth/structures
E.g. teeth, or IDC (tumour would displace it)

How well did you know this?
1
Not at all
2
3
4
5
Perfectly
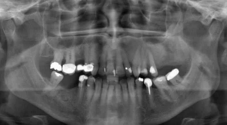
23
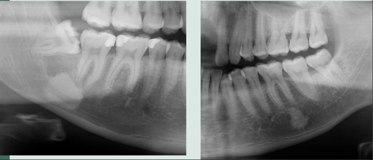
Q

what is the cause of these two bone pathologies?

A

RHS - 45m idiopathic osteosclerosis

LHS - 37 sclerosising ostetitis
heavily resotred – need to sensibility testing to see if tooth vital (more likely sclerosing then)

How well did you know this?
1
Not at all
2
3
4
5
Perfectly
24
Q

what to do is suspect sclerosis osteitis

A

carry out sensibility test to see if tooth involved is vital

How well did you know this?
1
Not at all
2
3
4
5
Perfectly
25
what to do if suspect a benign bony pathology
reassure pt that not overly concerning (not likely malignant)
26
alveolar osteitis
dry socket common Complication of extraction Severe pain, loss of clot, bone sequestra * Pt often say more sore than tooth being taken out Varied aetiology * Female, smoke, OCP, lower and back, disturbing socket in first 24hrs post XLA
27
how to manage alveolar osteitis
Medicaments to calm the pain – don’t help the healing process but aid pain Want to aid healing – LA, bleeding encourage (trauma), to restart process
28
osteomyelitis
Rare endogenous infection Acute or chronic * Suppuration is rare Other focal lesions *Changes within the bone due to infection* * Sequestrum * Actinomycosis long standing infection spread to skin * Chronic diffuse sclerosing osteomyelitis * Periostitis (productive) | take out tooth create compound fracture, disturbing bone to air
29
case F 39, C/O pain and swelling lower left jaw 36 extracted 18 months previously, swelling afterwards, incised, now increasing in size Pain now for 5 weeks, swelling in gum Swelling on lingual aspect and multiple draining sinuses from 33 to 36 Radiography: full panoramic (to allow comparison with right) and lower true occlusal * discuss
LHS mandible more diffusely radiopaque – chronic inflammation causing sclerosing osteitis Occlusal – breach of lingual cortical plate CBCT – lingual plate, flaking away Biopsy from the lingual surface of bone confirmed as osteomyelitis
30
Garre's sclerosing osteomyelitis
Younger pts (teens), low grade source Don’t tend to get pus or pain in area Bony swelling in pt jaw Here RHS – 85 carious RR, faint bulging of inferior border (not clear line like LHS) Periosteal bone reaction – new bone being laid down to protect area – lump clinically Manage source of infection
31
bone necrosis aetiology | 3
osteomyelitis avascular necrosis irradiation
32
avasular necrosis of bone due to | 2
age related ischaemia (mandible reduces with age) anti-resorpitive medication (MRONJ)
33
most common cause of bone necrosis
anti-resorptive medications
34
MRONJ management
Osteoclast inhibitors * Used in Osteoporosis, Pagets, bone metastases Osteonecrosis increasingly identified * Mandible>maxilla * 60% associated with a dental procedure Management * Conservative – extraction as a last resort * If established – supportive * Annoying from pt – not painful – sharp to tongue, adjacent tissue prone to infection (antibiotics)
35
metabolic bone disorders | 3
Osteoporosis Rickets and osteomalacia Hyperparathyroidism | markers in blood to distinguish between them
36
osteoporosis
common Bone atrophy: resorption exceeds formation * Endosteal net bone loss * Quantitative deficiency (bone formed is normal) Clinical features * Symptomless till traumatic event * Weak bone * Antrum enlarged Radiographs: loss of normal bone markings
37
osteoporosis aetiology
Sex hormone status Age Calcium status and physical activity Secondary osteoporosis * Hyperparathyroidism * Cushing’s syndrome * Thyrotoxicosis * Diabetes mellitus * Others
38
osteoporosis management
preventative medications MRONJ risk
39
rickets and osteomalacia
Vitamin D deficiency * Lack of sunlight – daylight hours * Diet * Malabsorption * Renal causes **Osteoid forms but fails to calcify ** Rickets (children) * Poor endochondral bone – bow shaped legs * Low calcium * Raised alkaline phosphatase
40
hyperparathryoidsim
**Calcium mobilised from bones ** * Generalised osteoporosis * Osteitis fibrosa cystica (‘Brown Tumours’) * Metastatic calcification - kidney Primary – Neoplasia / hyperplasia Secondary – Hypocalcemia e.g. due to Vit D Deficiency Tertiary – prolonged secondary results in hyperplasia | overactive parathyroid
41
primary hyperparathyrodism
neoplasia/hyperplasia of parathryoid 1 in 1000 population Mainly postmenopausal women F:M 3:1 90% parathyroid adenoma (inc PTH) * Hypercalcoaemia * Increased bone turnover | Correct tumour – don’t necessary shrink in size but will slowly rectify
42
radiographic appearance of hyperparathyrodism
Bulging buccal cortex, thin cortices Whispy septae within (mutliloculated) – ameloblastoma look similar Displace teeth, loss lamina dura Change in trabeculations Pulp stones in teeth | Brown tumour only in 10%
43
osteitis fibrosa cystica a.k.a
Brown tumour * haemorrhage into tissue giving brown colour*
44
Brown tumour (osteitis fibrosa cystica) features
Generalised osteoporosis Focal osteolytic lesions Giant cell lesion (brown tumour) * Get microfractures in bone – granulation tissue – giant cell Red blood cells
45
giant cell lesions of the jaw features
peripheral giant cell epulis central giant cell granuloma * age 10-25 * mandible>maxilla * may be multilocular central lesions may “burst out” erodes alveolar bone * Grows in A-P direction like ameloblastoma * Large before apparent clinically
46
common finding between osteitis fibrosa cystica, aneurysmal bone cyst, giant cell tumour?
all containe multinucleated giant cell need to do special investigations to exclude
47
brown's tumours in
hyperparathryoidism | ostitis fibrosa cystica
48
what to do when see peripheral outgrowth in dental papilla
take periapical to ensure it just a peripheral giant cell epulis lesion and not a central giant cell granuloma lesion (larger before present so more destruction)
49
cherubism
rare condition autosomal dominant inheritance **multicystic/multilocular lesions in multiple quadrants ** grow before about 7 years and regress after puberty * painless swellings in jaw bone, stop and can regress at puberty * orbits can be pushed up – looking up into heaven histology: vascular giant cell lesions
50
Paget's disease presentation
age > 40 M>F 3% of routine autopsies aetiology unknown * racial predilection * viral? monostotic or polyostotic (1 or more bones involved) disturbed turnover of bone serum biochemistry * raised alk phos (130 normal, 200-300 in Pagets)
51
clincal presentation of pagets
* asymptomatic * bone swelling * pain * nerve compression- blindness, deafness, facial palsy C/O – dentures getting small (unusual, normally looser with time) Increase of maxilla bone
52
dental impact of pagets
Tx – osteolytic and osteosclerotic phases * Osteolytic – bleed a lot after XLA * Osteosclerotic - harder to XLA, more likely to get dry socket Variable bone pattern Changes as disease progresses Osteoporotic/mixed/osteosclerotic – cotton wool appearance Dental changes * Loss of lamina dura * Hypercemetosis – extra cementum deposited on root surface, complicated to XLA * Migration (due to dental enlargement) * dentures becoming 'tight'
53
histology of pagets
active: increased bone turnover osteoclastic & osteoblastic activity – occur simultaneously * dark pink – osteoclast * next to it is osteoblast?? Mosaic appearance of bone – **more prone to bleeding** will burn out
54
3 possible complications of Paget's
infection tumour – osteosarcoma (younger age group tends, so if older – think pagets) bisphosphate meds
55
osteoma
benign bone tumour solitary, mostly cortical denture construction issue
56
Gardner syndrome | 3 features
multiple osteomas Polyposis coli – prone to malignant change Freckles around mouth - Peutz-jegher syndrome
57
osteoblastoma
Rare May be a Giant Osteoid Osteoma Often very active growth
58
ossifying fibroma appearance
nomenclature problem fibrous tissue becomes calcify clinical * slow growing - in children can be more aggressive * wide age range (young and old – fibrous dysplasia just young) * mainly mandible radiologically well defined – unlike fibrous dysplasia (differential) * radiolucent initially then more radiopaque – but has a border * mass like bulge growing out from centre
59
ossifying fibroma histology
cellular fibrous tissue immature bone acellular calcifications
60
difference between ossifying fibroma and fibrous dysplasia
fibrous dysplasia will stop eventually – no need for tx, ossifying fibroma needs intervention
61
cemento-osseous dysplasia characteristics
nomenclature problem, probably not neoplastic periapical COD * starts as well defined radiolucency * later calcification, till fully calcified mass attached to tooth * Lower incisors apical are but are **vital** focal COD * Areas in jaw not related to tooth, can be pinpointed florid COD * involve more than one region of jaw – excessive growth * more in females 9:1, Afro-Caribbean origin * usually present radiolucent (miss for a cyst) but then become mixed and then radiopaque * symptomless enlargement of jaw bone Sclerosing osteitis like – but teeth is still vital Radiolucent margin | imp - separate to PDL
62
important radiographic features of cemento-ossifying dysplasia
Sclerosing osteitis like – but teeth is still vital See pdl space by tooth – imp, separate to PDL Radiolucent margin
63
3 types of cemento-ossifying dysplasia
periapical COD focal COD florid COD
64
periapical cemento-ossifying dysplasia
starts as well defined radiolucency later calcification, till fully calcified mass attached to tooth Lower incisors apical are but are **vital**
65
focal cemento-ossifying dysplasia
Areas in jaw not related to tooth, can be pinpointed
66
florid cemento-ossifying dysplasia
involve more than one region of jaw – excessive growth more in females 9:1, Afro-Caribbean origin usually present radiolucent (miss for a cyst) but then become mixed and then radiopaque symptomless enlargement of jaw bone
67
case 39yo female of middle eastern origin Bony swelling in anterior mandible detected by GDP at routine check-up Swelling extending into floor of mouth, present > 2 years but unsure if expanding, no other symptoms describe OPT and course of investigations
mass in centre mandible – clumps radiopaque areas with radiolucent margins RHS body of mandible – less mature, small radiopacity floating within Sufficiently unusual presentation warranted CBCT and biopsy (concern osteosarcoma) Masses resembles bone or cementum on biopsy
68
osteosarcoma
rare age 30s * if elderly, likely Paget’s related mandible > maxilla varied clinical and x-ray presentation (sunburst appearance) **local destruction recurrence and metastasis poor prognosis**
69
cementoblastoma
neoplasm attached to root histology same histology as osteoblastoma Rare, Teens-twenties **Radiolucent margin continuous with PDL** – PDL doesn’t continue into lesion (cementum deep to PDL so pushes PDL out to edge of tumour) Symptomatic – dull ache pain, expansion of bone in area
70
fibrous dysplasia histology
“fibro-osseous” fibrous replacement of bone * cellular fibrous tissue background with some bone in it * bone – metaplastic or woven, but will remodel and increase in density (metaplastic - don’t have osteoplastic cells) not separated – no capsule – blends into surrounding adjacent bone (both histopathologically and radiolucency) Not exclusive to fibrous dysplasia – need clinical appearance, bone biochemistry to get clinical dx