Bone Pathology Flashcards

(55 cards)

1
Q

What is the building unit of compact bone?

A

Osteon (haversian system)

How well did you know this?
1
Not at all
2
3
4
5
Perfectly
2
Q

Where are bone pain receptors and vessels located?

A

Periosteum

How well did you know this?
1
Not at all
2
3
4
5
Perfectly
3
Q

On this image, what are the dark cells?

A

Osteoblasts

How well did you know this?
1
Not at all
2
3
4
5
Perfectly
4
Q

What hormones are involved in bone remodelling?

A
  • parathyroid hormone [activates osteoclasts when theres a decrease in serum calcium]
  • vitamin D3
  • oestrogen
How well did you know this?
1
Not at all
2
3
4
5
Perfectly
5
Q

What factors are involved in bone remodelling?

A
  • mechanical stimuli
  • systemic hormones
  • cytokines [eg via periodontal disease or infection]
How well did you know this?
1
Not at all
2
3
4
5
Perfectly
6
Q

What special tests should you do if you suspect bone pathology?

A

Check
- blood calcium
- parathyroid hormone
- vitamin D
- serum alkaline phosphatase

How well did you know this?
1
Not at all
2
3
4
5
Perfectly
7
Q

What tests can be done to check osteoclast activity?

A

Check collagen degradation in urine & blood

How well did you know this?
1
Not at all
2
3
4
5
Perfectly
8
Q

What restorative problems are associated with tori?

A

Difficulty fitting dentures

How well did you know this?
1
Not at all
2
3
4
5
Perfectly
9
Q

What are some types of tori?

A
  • torus palatinus
  • torus mandibularis
How well did you know this?
1
Not at all
2
3
4
5
Perfectly
10
Q

What abnormality is seen in this photo?

A

Mandibular tori

How well did you know this?
1
Not at all
2
3
4
5
Perfectly
11
Q

How can you manage mandibular tori that are interfering with denture fit?

A

Raise flap and drill them off

How well did you know this?
1
Not at all
2
3
4
5
Perfectly
12
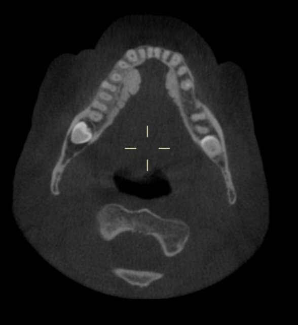
Q

What type of slice is seen on this CBCT?

A

Axial

How well did you know this?
1
Not at all
2
3
4
5
Perfectly
13
Q

What is osteogenesis imperfecta? What are the clinical features?

A

Type 1 collagen defect
- weak bones
- multiple fractures
- sometimes associated with dentinogenesis imperfecta

How well did you know this?
1
Not at all
2
3
4
5
Perfectly
14
Q

What is achondroplasia?

A

Condition that causes poor endochondral ossification
- leads to dwarfism

How well did you know this?
1
Not at all
2
3
4
5
Perfectly
15
Q

What is osteopetrosis?

A

Condition with lack of osteoclast activity
- failure of resorption
- marrow obliteration
- leads to brittle, dense bone

How well did you know this?
1
Not at all
2
3
4
5
Perfectly
16
Q

What causes fibrous dysplasia? What is it?

A

Gene defect that causes slow growing asymptomatic bony swelling (bone replaced by fibrous tissue)

How well did you know this?
1
Not at all
2
3
4
5
Perfectly
17
Q

What are the clinical phenotypes of fibrous dysplasia?

A
  • Monostotic = single bone
  • Polyostotic = many bones
How well did you know this?
1
Not at all
2
3
4
5
Perfectly
18
Q

What pathology is seen in this photo?

A

Fibrous dysplasia?

How well did you know this?
1
Not at all
2
3
4
5
Perfectly
19
Q

What syndrome is associated with fibrous dysplasia?

A

Albright’s syndrome

How well did you know this?
1
Not at all
2
3
4
5
Perfectly
20
Q

How does fibrous dysplasia present on radiographs?

A
  • “ground glass” “orange peel”
  • margins often blend into adjacent bone
  • becomes more radiopaque as lesion matures
How well did you know this?
1
Not at all
2
3
4
5
Perfectly
21
Q

What age are patients typically with fibrous dysplasia?

A

Teenagers and young adults

How well did you know this?
1
Not at all
2
3
4
5
Perfectly
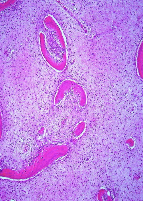
22
Q

What is the histopathological presentation of fibrous dysplasia?

A
  • fibrous replacement of bone
  • cellular fibrous tissue
How well did you know this?
1
Not at all
2
3
4
5
Perfectly
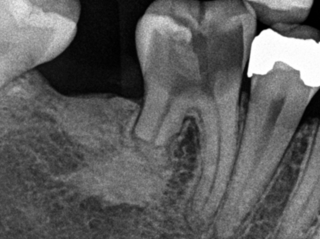
23
Q

What is rarefying osteitis?

A

Localised loss of bone in response to inflammation
- always occurs secondary to another form of pathology (eg apical periodontitis)

24
Q

What is sclerosing osteitis?

A

Localised increase in bone density in response to low-grade inflammation
- most common around apex of tooth with a necrotic pulp?

25
What can chronic sclerosing osteitis lead to?
External root resorption
26
What is idiopathic osteosclerosis?
Localised increased in bone density of unknown cause
27
Where is most common area to see idiopathic osteosclerosis?
premolar-molar region of mandible
28
How can you tell if a patient has idiopathic osteosclerosis or sclerosing osteitis?
Carry out sensibility testing on tooth involved
29
What is osteomyelitis?
Rare endogenous infection of the bone - can be acute or chronic
30
How is actinomycosis treated?
Long term antibiotic treatment
31
What is the aetiology of bone necrosis?
- Osteomyelitis - Avascular necrosis - Irradiation
32
What can cause avascular necrosis of bone?
- age related ischaemia - anti-resorptive medication
33
What cancers are anti-resorptive medications used for and why?
Cancers that metastasise to bone (eg breast cancer) - osteoclasts inhibit bone turnover which reduces amount of metastasis
34
Give examples of metabolic bone diseases:
- osteoporosis - rickets & osteomalacia - hyperparathyroidism
35
What is osteoporosis?
Bone atrophy: resorption exceeds formation - quantitative deficiency (bone formed is normal)
36
What are the clinical features of osteoporosis?
- symptomless - weak bone / multiple fractures - antrum enlarged
37
What is the aetiology of osteoporosis?
- sex hormone status - age [older>>] - calcium status & physical activity - secondary to other conditions
38
What conditions can result in secondary osteoporosis?
- hyperparathyroidism - cushing's syndrome - thryotoxicosis - diabetes mellitus
39
What is osteomalacia? What can cause it?
Osteoid forms but fails to calcify - vit D deficiency
40
What can cause a vitamin D deficiency?
- lack of sunlight - diet - malabsorption - renal causes
41
How does hyperparathyroidism cause osteoporosis?
- PTH stimulates osteoclasts - PTH mobilises calcium from bones
42
What classifications of hyperparathyroidism exist?
Primary - neoplasia/hyperplasia Secondary - hypocalcaemia [due to vit D deficiency] Tertiary - hyperplasia as a result of secondary
43
Who is most likely to suffer from primary hyperparathyroidism?
Postmenopausal women [F:M 3:1]
44
How is Cherubism passed on?
Autosomal dominant inheritance
45
What is cherubism?
Rare condition causing multicystic/multilocular lesions in multiple quadrants
46
What are the clinical features of pagets disease?
- bone swelling - pain - nerve compression
47
What are the dental presentations of paget's disease?
- loss of lamina dura - hypercementosis - migration of teeth (due to bone enlargement)
48
How does Paget's disease present histologically?
- increased osteoclastic activity - increased osteoblastic activity
49
Give examples of bone tumours:
- osteoma - osteoblastoma
50
What is an osteoma?
Solitary bone tumour - mainly cortical bone - slow growing
51
What syndrome can cause multiple osteomas?
Gardners syndrome
52
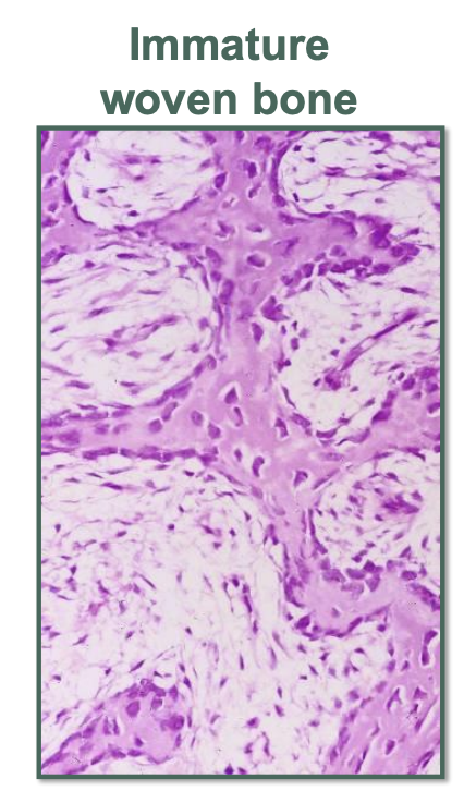
How does ossifying fibroma present histologically?
- cellular fibrous tissue - immature bone - acellular calcifications
53
What is a cementoblastoma?
Neoplasm attached to root - histologically the same as osteoblastoma
54
What is seen in these radiographs?
Cementoblastoma
55