Bone Intercellular Signals
Receptor Activator of NF-KappaB Ligand (RANKL)

Osteoporosis: Metabolic Bone Disease -> Abnormal bone modeling/remodeling
EtioPathogenesis: Primary Osteoporosis
Etiopath of Secondary Osteoporosis
Dx: XRay & DEXA scan


HyperPTH leading to 2o osteoporosis
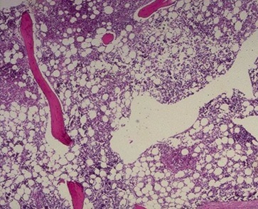
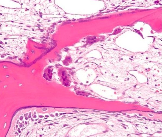
Osteitis fibrosa cystica: Brown tumour (Gross image)
Etiology
Increased PTH resulting in increased osteoclast activity.
1° - adenoma – high Ca, low PO43-
2° - renal failure – low Ca, high PO43- (opposite levels vs 1o)
3° - initially secondary cause that turned primary due to cellular adaptive change
Sx: Stones, Bones, Moans

Renal Osteodystrophy

Vitamin D Deficiency: Osteomalacia & Rickets
Sx Children: bowed legs, pigeon breast, frontal bossing, rachitic rosary
Sx Adults: weak bone, easily fractured
Scurvy
Metabolic Bone Disease -> Abnormal matrix production
Etiopath: Vitamin C deficiency
Sx:

Paget’s Disease: Metabolic Bone Disease -> Abnormal bone modeling/remodeling
X-Ray
Gross:
Microscopic:
Etiology
Pathogenesis
Sx: often Asx and incidental finding
Diagnosis:
C&C:

Achondroplasia
Achondroplasia aka disportionate dwarfism
C&C: gibbus deformity

Osteogenesis Imperfecta
X-ray: every bone has fractures (hyperdense areas showing callous formations)
Etiopath:
Sx:

Ehler-Danlos Syndrome
Sx:
Marfan’s Syndrome
Heterogeneous group of inherited (AD) CT disorder affecting bones, heart, aorta and eyes
Etiopath: Mutation in locus of fibrillin gene on chromosome 15
Sx:
Acute osteomyelitis
Xray: mix lytic and sclerotic areas in bone
Acute osteomyeltis features
Epidemiology
Pathogenesis
Sx:
Dx: Blood culture
Rx


Osteopetrosis (stone-like bones) aka marble bone disease
X-rays: Bones lack medullary canal
Microscopic: Medullary cavity abnormally filled with primary spongiosa and no hematopoietic elements
Etiopath:
Sx:
C&C
Chronic Osteomyelitis
5-25% of Acute Osteomyelitis do not resolve -> Chronic Osteomyelitis
Pathogenesis:
C&C

Tb osteomyelitis (Pott’s fracture)
Morphology:
Etiopath:
Skeletal Tb
C&C:

Osteoarthritis: non-inflammatory arthritis
Morphology
Xray:
Microscopic: Fibrillation & Vertical Cracking indicating joint degeneration
Primary
– Aging phenomenon; Most common form of arthritis
– Oligoarticular: hands, hips, knees, metatarsophalangeal joints
– 80-95% of people over 65 years
Secondary
– Younger patients
– Predisposition
– Polyarticular
– Severe
Etiology
Pathogenesis
Sx:
C&C:


Rheumatoid Arthritis
Morphology:
Clinical and Xray
Microscopic
Xray: showing ankylosis
Etiology
Pathogenesis
IgM directed against IgG (IgG bind the Fc portions of IgG)
Sx
Assoc disorders
Dx
C&C

Differences: OA vs RA
Gout
Etiopath
Chronic destructive process of multiple joints
Seronegative Spondyloarthropathies
Pathogenesis
C&C (Pathoma):
Infectious Arthritis
Sx
Bone tumours: General principles
Common Primary sites:
Bone Tumours by location
Diaphysis:
Metaphysis
Epiphysis
Osteoid Osteoma