What are the basic functions of bone?
•MECHANICAL
–support and site for muscle attachment
•PROTECTIVE
–vital organs and bone marrow
•METABOLIC
–reserve of calcium
Bone and the struts and levers it forms is adapted to resist stress, support the body and provide leverage for movement. Macroscopically it is white and dense.
Describe the composition of bone
•INORGANIC - 65%
–calcium hydroxyapatite (10Ca 6PO4 OH2)
–is storehouse for 99% of Ca in the body
–85% of the phosphorous, 65% Na & Mg
•ORGANIC - 35%
– bone cells and protein matrix
Bone matrix is 60-70% inorganic salts (Ca &PO4) 30-40% collagen (Type 1 mostly with some type V) 10-20% water and ~5% non-collagenous protein & carbohydrate. Certain cations rg radium strontium and lead are ‘bone seeking’. They can be radioactive or toxic and cause bone marrow failure.
Describe basic bone geography
Bones display articular surfaces at synovial joints. If small these are called facet joints or fovea. Condyles are knuckle shaped and a trochlea is grooved like a pulley ( ref Grays anatomy).

Compare and contrast the following types of bone
Cortical:
Cancellous:
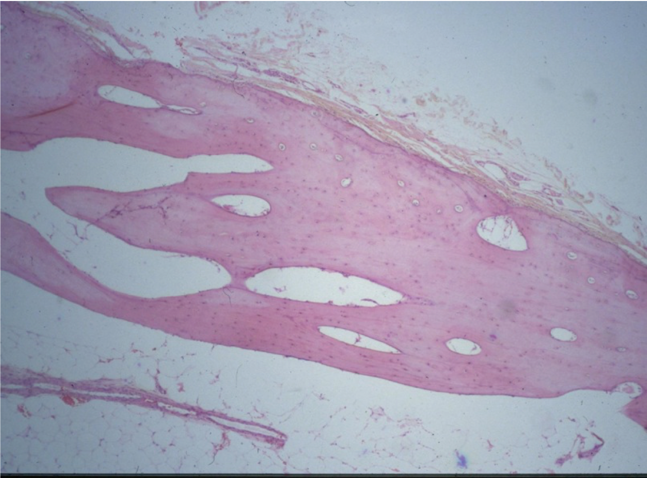
What does this image show?

Cortical bone stained
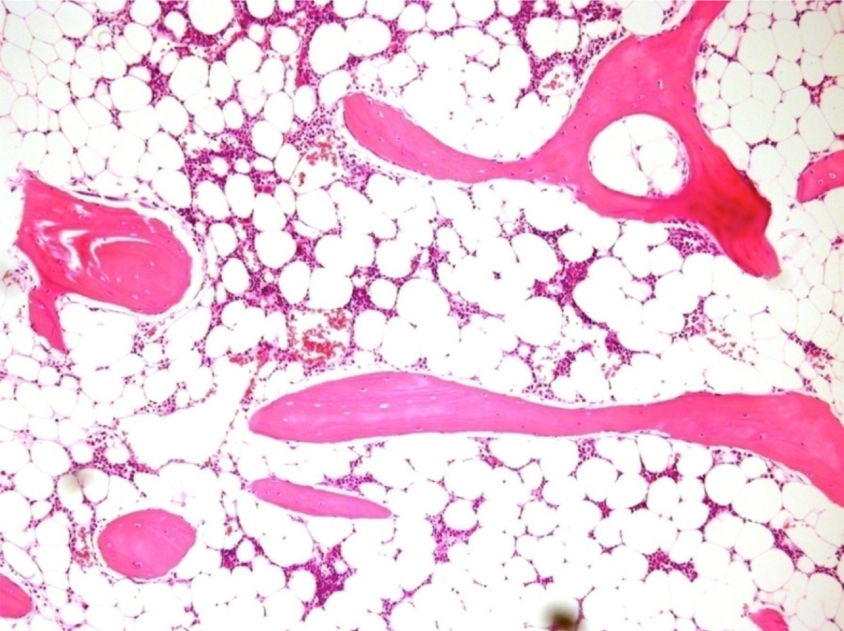
What does this image show?

Cancellous bone stained
Define the function of the following bone cells
Describe what is important for bone cells and their processes
Hormones, cytokines, growth factors, and signal-transducing molecules are instrumental in their formation and maturation, and allow communication between osteoblasts and osteoclasts. Bone resorption and formation in remodeling are coupled processes that are controlled by systemic factors and local cytokines, some of which are deposited in the bone matrix. BMP, bone morphogenic protein; LRP5/6, LDL receptor related proteins 5 and 6
What regulates osteoblast formation and function?
Paracrine molecular mechanisms
Describe the role of RANKL and OPG in osteoclast formation and function
Osteoclasts are derived from the same mononuclear cells that differentiate into macrophages. Osteoblast/stromal cell membrane-associated RANKL binds to its receptor RANK located on the cell surface of osteoclast precursors. This interaction in the background of macrophage colony-stimulating factor (M-CSF) causes the precursor cells to produce functional osteoclasts. Stromal cells also secrete osteoprotegerin (OPG), which acts as a “decoy” receptor for RANKL, preventing it from binding the RANK receptor on osteoclast precursors. Consequently, OPG prevents bone resorption by inhibiting osteoclast differentiation.
What are the three main categories of metabolic bone disease?
How is metabolic bone disease diagnosed?
•Histology requires bone biopsy from iliac crest,
processed un-decalcified for histomorphometry
•‘Static’ parameters include
–cortical thickness & porosity
–trabecular bone volume
–thickness, number & separation of trabeculae
What are the most common causes of osteoporosis?
•Aetiology – 90% cases due to insufficient Ca intake and post-menopausal oestrogen deficiency
–1º - age, post-menopause
–2º - drugs, systemic disease
What is the difference between ‘high turnover’ and ‘low turnover’ osteoporosis?
What are the risk factors for osteoporosis?
Describe what happens to the following bone cells when there is glucocorticoid excess

How do osteoporosis patients commonly present?
Patients commonly present with back pain and fracture
All may be the first sign of disease
What investigations should be done for osteoporosis?
Lab investigations:
Imaging
Bone Densitometry
Which four organs are directly/indirectly affected by PTH and between them control Ca metabolism?
What does Vitamin D deficiency do to PTH?
Vitamin D deficiency leads to increased PTH release and subsequent bone resorption.
What is the commonest cause of hypocalcaemia?
Vitamin D deficiency
How does hypocalcaemia present?
What is the action of PTH on the following: