Brain Flashcards

(77 cards)

1
Q
A

falx cerebri

How well did you know this?
1
Not at all
2
3
4
5
Perfectly
2
Q
A

falx cerebri

How well did you know this?
1
Not at all
2
3
4
5
Perfectly
3
Q

meninges of the brain: superficial → deep

A

dura

arachnoid

pia

How well did you know this?
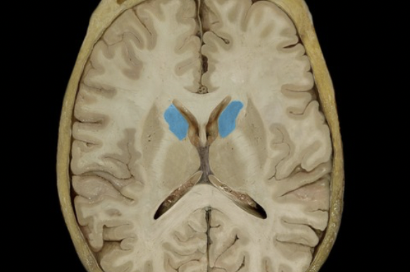
1
Not at all
2
3
4
5
Perfectly
4
Q
A

arachnoid

between pia and dura

How well did you know this?
1
Not at all
2
3
4
5
Perfectly
5
Q
A

dura → outermost meninge

How well did you know this?
1
Not at all
2
3
4
5
Perfectly
6
Q
A

pia

innermost meninge

How well did you know this?
1
Not at all
2
3
4
5
Perfectly
7
Q
A

central sulcus

How well did you know this?
1
Not at all
2
3
4
5
Perfectly
8
Q
A

lateral sulcus

How well did you know this?
1
Not at all
2
3
4
5
Perfectly
9
Q
A

calcarine sulcus

How well did you know this?
1
Not at all
2
3
4
5
Perfectly
10
Q
A

frontal lobe

How well did you know this?
1
Not at all
2
3
4
5
Perfectly
11
Q
A

parietal lobe

How well did you know this?
1
Not at all
2
3
4
5
Perfectly
12
Q
A

occipital lobe

How well did you know this?
1
Not at all
2
3
4
5
Perfectly
13
Q
A

corpus callosum

How well did you know this?
1
Not at all
2
3
4
5
Perfectly
14
Q
A

pons

How well did you know this?
1
Not at all
2
3
4
5
Perfectly
15
Q
A

pons

How well did you know this?
1
Not at all
2
3
4
5
Perfectly
16
Q
A

medulla

How well did you know this?
1
Not at all
2
3
4
5
Perfectly
17
Q
A

sella turcica

How well did you know this?
1
Not at all
2
3
4
5
Perfectly
18
Q
A

pituitary gland

How well did you know this?
1
Not at all
2
3
4
5
Perfectly
19
Q
A

mammillary body

How well did you know this?
1
Not at all
2
3
4
5
Perfectly
20
Q
A

hypothalamus

How well did you know this?
1
Not at all
2
3
4
5
Perfectly
21
Q
A

hypothalamus

How well did you know this?
1
Not at all
2
3
4
5
Perfectly
22
Q
A

thalamus

How well did you know this?
1
Not at all
2
3
4
5
Perfectly
23
Q
A

thalamus

How well did you know this?
1
Not at all
2
3
4
5
Perfectly
24
Q
A

caudate nucleus

How well did you know this?
1
Not at all
2
3
4
5
Perfectly
25
label the red, green, and yellow
red: caudate nucleus green: putamen yellow: lentiform nucleus
26
internal capsule
27
hippocampus
28
cerebellum
29
vermis of cerebellum
30
what is the yellow arrow pointing to
cerebellar peduncles
31
cerebellar peduncle
32
fourth ventricle
33
third ventricle
34
lateral ventricle
35
third ventricle
36
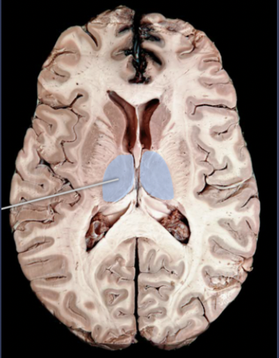
lateral ventricle
37
septum pellucidum
38
superior sagittal sinus
39
straight sinus
40
confluence of sinuses
41
transverse sinus
42
inferior sagittal sinus
43
what is the green
sigmoid sinus
44
internal carotid a
45
left common carotid a
46
subclavian veins
47
superior vena cava
48
brachiocephalic vein
49
internal jugular vein
50
IVC
51
brachiocephalic trunk
52
anterior cerebral a
53
anterior communicating a
54
internal carotid a
55
middle cerebral a
56
posterior cerebral a
57
posterior communicating a
58
external carotid a
59
internal carotid a
60
axillary a
61
axillary vein
62
brachial a
63
circle of willis
64
anterior cerebral a
65
posterior cerebral a
66
basilar a
67
vertebral a
68
CN VI abducens n
69
CN VI abducens n
70
CN V trigeminal n
71
CN VIII vestibulocochlear n
72
CN X vagus n
73
CN XII hypoglossal n
74
CN XI spinal accessory n
75
CN IX glossopharyngeal n
76
CN IX glossopharyngeal n
77
CN VII facial n