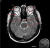
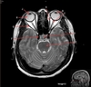
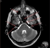
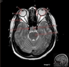
The lateral and medial rectus muscles are located in the
eye
which arteries join together to form the basilar artery
vertebral arteries
qhich intracranial artery passes through the sylvian fissure
middle cerebral
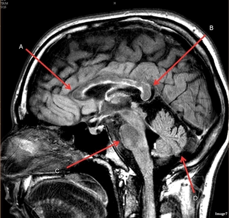
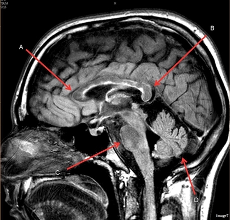
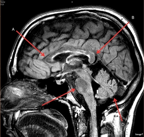
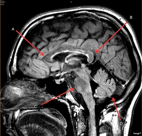
Image weighting and axis
T1 Sagittal
A
Lateral Ventricle
B
Corpus Callosum
C
Thalamus
D
Tentorium
E
4th Ventricle
F
Medulla Oblongata
A
Genu Corpus Callosum
B
Splenium Corpus Callosum
C
Pons
D
Cerebellum
Image weighting and axis
T2 Flair
Sagittal
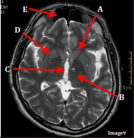
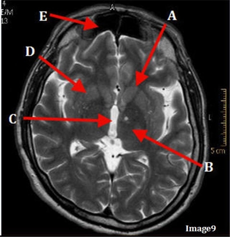
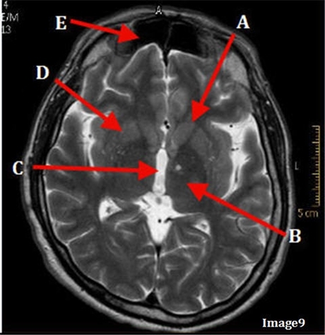
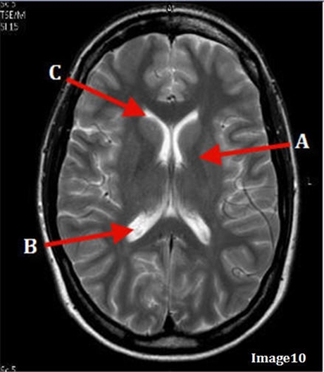
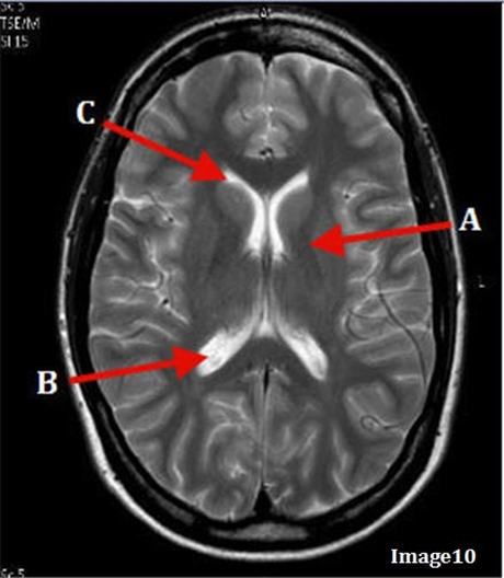
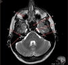
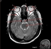
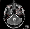
Image weighting and axis

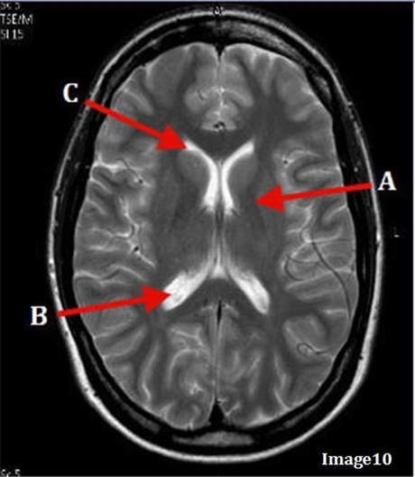
T2 Axial
A

Caudate Nucleus
B

Thalamus
C

Third ventricle
D

Lentiform Nucleus
E

Frontal Sinus
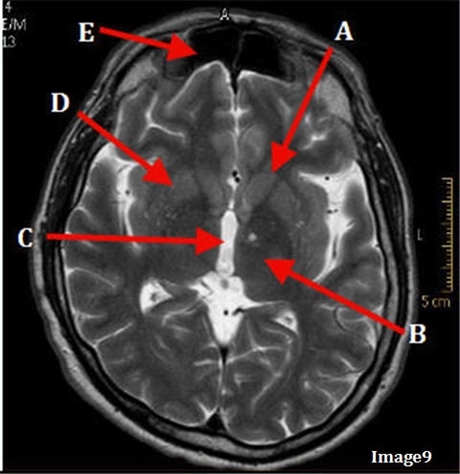
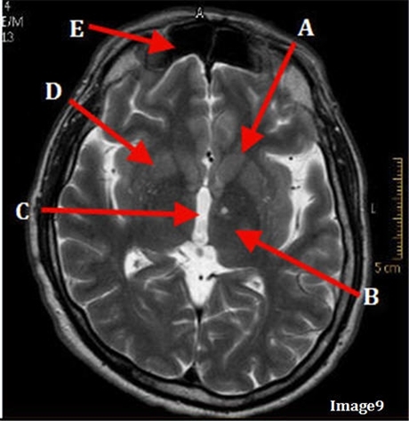
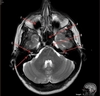
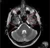
Image weighting and axis

T2 Axial
A

Basal Ganglia
B

Posterior horn lateral ventricle