Brainstorm Flashcards

(16 cards)

1
Q

Label

A

Optic Chiasm

How well did you know this?
1
Not at all
2
3
4
5
Perfectly
2
Q
A

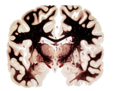
Optic tract

How well did you know this?
1
Not at all
2
3
4
5
Perfectly
3
Q
A

Optic tract

How well did you know this?
1
Not at all
2
3
4
5
Perfectly
4
Q
A

Optic tract

How well did you know this?
1
Not at all
2
3
4
5
Perfectly
5
Q
A

Optic tract

How well did you know this?
1
Not at all
2
3
4
5
Perfectly
6
Q
A

Optic tract

How well did you know this?
1
Not at all
2
3
4
5
Perfectly
7
Q
A

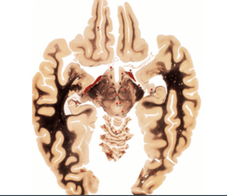
optic chiasm

How well did you know this?
1
Not at all
2
3
4
5
Perfectly
8
Q
A

Superior colliculus

How well did you know this?
1
Not at all
2
3
4
5
Perfectly
9
Q
A

Inferior Brachium

How well did you know this?
1
Not at all
2
3
4
5
Perfectly
10
Q
A

Inferior brachiam

How well did you know this?
1
Not at all
2
3
4
5
Perfectly
11
Q
A

Inferior vestibular nuclei

How well did you know this?
1
Not at all
2
3
4
5
Perfectly
12
Q
A

inferior vestibular nucleus

How well did you know this?
1
Not at all
2
3
4
5
Perfectly
13
Q
A
How well did you know this?
1
Not at all
2
3
4
5
Perfectly
14
Q
A

Inferior vestibular nucleus

How well did you know this?
1
Not at all
2
3
4
5
Perfectly
15
Q
A

Lateral lemniscus

How well did you know this?
1
Not at all
2
3
4
5
Perfectly
16
Q
A

Lateral vestibular nucleus