Breast Flashcards

(87 cards)

1
Q

What is the rule of 2s for normal breast tissue?

A

2 main structures: large ducts + terminal ductal lobular unit

2 types of epithelial cells: Luminal + Myoepithelial

2 types of stroma: Interlobular + Intralobular

How well did you know this?
1
Not at all
2
3
4
5
Perfectly
2
Q

What is the breast composed of?

A

15 – 25 lobes, further subdivided into lobules which are composed of acini + ductules ~30

Each lobe drains through a main lactiferous duct into the nipple.

How well did you know this?
1
Not at all
2
3
4
5
Perfectly
3
Q

What are the functional units of the breast?

A

Terminal duct-lobular units (TDLU)

Successive branching of lactiferous ducts distally leads to the terminal duct which proliferates further to give arise to acini (lobules) + ductules

TDLU: Extralobular terminal duct, acini (lobules) + ductules

How well did you know this?
1
Not at all
2
3
4
5
Perfectly
4
Q

What are typical presentations of breast disease?

A

Breast lump +/- pain

Abnormal screening mammogram.

Nipple discharge.

How well did you know this?
1
Not at all
2
3
4
5
Perfectly
5
Q

On evaluation, what are the most common causes of apparent breast lumps statistically?

A

Fibrocystic change 40%

No disease 30%

Misc. benign 13%

Cancer 10%

Fibroadenoma 7%

How well did you know this?
1
Not at all
2
3
4
5
Perfectly
6
Q

What are appropriate investigations for breast disease?

A

Triple assessment:

Physical examination.

Imaging: Sonography, mammography + MRI

Pathology: FNA cytopathology +/- histopathology

How well did you know this?
1
Not at all
2
3
4
5
Perfectly
7
Q

How are pathology investigations conducted?

A

Cytopathology + biopsy

Lesion aspirated by a 16/ 18 gauge needle

How well did you know this?
1
Not at all
2
3
4
5
Perfectly
8
Q

What is the most common cause of nipple discharge?

A

Papilloma

How well did you know this?
1
Not at all
2
3
4
5
Perfectly
9
Q

What are the differences between pathological and physiological nipple discharge?

A

Path: unilateral, single duct, spontaneous, persistent +/- blood/ pain

Phys: bilateral + from multiple ducts

How well did you know this?
1
Not at all
2
3
4
5
Perfectly
10
Q

Why is breast FNA cytology useful?

A

Provides good cellular detail

Quick to prepare

How well did you know this?
1
Not at all
2
3
4
5
Perfectly
11
Q

What are the disadvantages of breast FNA cytology?

A

Can’t assess architecture

Can’t differentiate atypical ductal hyperplasia from low grade cancer

Can’t differentiate high grade in situ carcinoma from invasive cancer

How well did you know this?
1
Not at all
2
3
4
5
Perfectly
12
Q

What is cytopathology? What is it used for in breast disease?

A

Cells spread across a slide + stained.

Investigation of nipple discharge + palpable lumps.

How well did you know this?
1
Not at all
2
3
4
5
Perfectly
13
Q

How are breast lump aspirates coded?

A

C1-5:

C1: Inadequate

C2: Benign

C3: Atypical, probably benign

C4: Suspicious of malignancy

C5: Malignant

How well did you know this?
1
Not at all
2
3
4
5
Perfectly
14
Q

What is histopathology?

A

Intact tissue removed, fixed in formalin, embedded in paraffin wax, thinly sliced, stained with H+E.

Attained via core biopsies/ surgical excisions.

Takes 24h to process.

Provide architectural + cellular detail.

How well did you know this?
1
Not at all
2
3
4
5
Perfectly
15
Q

How are the results of the NHS breast screening programme coded?

A

Core biopsies coded B 1-5.

B1: Normal breast tissue.

B2: Benign abnormality.

B3: Lesion of uncertain malignant potential.

B4: Suspicious of malignancy.

B5: Malignant (B5a: DCIS, B5b: Invasive carcinoma).

How well did you know this?
1
Not at all
2
3
4
5
Perfectly
16
Q

What is duct ectasia? What causes it? In which women do we more commonly see it? How does it present?

A

Benign inflammation + dilation of large breast ducts.

Aetiology unclear.

5th-6th decades, multiparous F

No increased risk of malignancy.

Usually presents with nipple discharge. +/- breast pain, mass, nipple retraction.

How well did you know this?
1
Not at all
2
3
4
5
Perfectly
17
Q

What is seen on cytology of nipple discharge in duct ectasia?

A

Proteinaceous material + inflammatory cells only.

How well did you know this?
1
Not at all
2
3
4
5
Perfectly
18
Q

What is acute mastitis? In which women is it often seen? What causes it? How does it present?

A

Acute inflammation in breast.

Often seen in lactating women due to cracked skin + stasis of milk. May also complicate duct ectasia.

Often Staphylococci.

Painful red breast (usually unilateral)

Drainage + abx usually curative.

How well did you know this?
1
Not at all
2
3
4
5
Perfectly
19
Q

What is fat necrosis? What cause it? How does it present?

A

Benign inflammatory reaction to damaged adipose tissue.

Caused by trauma, surgery, radiotherapy.

Breast mass, late stages +/- focal calcification

How well did you know this?
1
Not at all
2
3
4
5
Perfectly
20
Q

What is galactocele? How does it present? Any complications?

A

Cystic dilation of a duct during lactation

Usually multiple ducts

Tender palpable nodules

Secondary infection may convert to acute mastitis/ abscess

How well did you know this?
1
Not at all
2
3
4
5
Perfectly
21
Q

What is fibrocystic disease? What is the incidence? How does it present?

A

A group of alterations in the breast which reflect normal, albeit exaggerated, responses to hormonal influences.

Very common.

Breast lumpiness.

No increased risk for subsequent breast carcinoma

How well did you know this?
1
Not at all
2
3
4
5
Perfectly
22
Q

What is a fibroadenoma? What is the incidence? How does this present?

A

Benign fibroepithelial neoplasm of the breast.

Common.

Young F: 20-30y

Circumscribed mobile breast lump

Simple “shelling out” = curative.

How well did you know this?
1
Not at all
2
3
4
5
Perfectly
23
Q

What is a Phyllodes tumour? What is the incidence? How does this present?

A

A group of potentially aggressive fibroepithelial neoplasms of the breast.

Uncommon tumours.

Enlarging masses in > 50s

Some may arise within pre-existing fibroadenomas.

Majority: benign

Small proportion: more aggressive

How well did you know this?
1
Not at all
2
3
4
5
Perfectly
24
Q

What is an intraductal papilloma?

A

Benign papillary tumour arising within the duct system of the breast.

Arise within small terminal ductules (peripheral papillomas) or larger lactiferous ducts (central papillomas).

How well did you know this?
1
Not at all
2
3
4
5
Perfectly
25
Summarise the epidemiology and presentation of an intraductal papilloma.
Common. Mostly 40-60y Central: nipple discharge. Peripheral: may remain clinically silent if small. Excision of involved duct is curative.
26
What are radial scars?
Benign sclerosing lesion characterised by a central zone of scarring surrounded by a radiating zone of proliferating glandular tissue. Range in size from tiny microscopic lesions to large clinically apparent masses. If \>1 cm aka “complex sclerosing lesions”.
27
How do radial scars present? What is the theorised aetiology?
Reasonably common. Thought to represent an exuberant reparative phenomenon Stellate masses on screening mammograms- may closely resemble a carcinoma. Excision is curative.
28
What are proliferative breast diseases? How are these detected?
Diverse group of intraductal proliferative lesions associated with an increased risk for development of invasive breast carcinoma. Microscopic lesions, usually produce no Sx Diagnosed in breast tissue removed for other reasons or on screening mammograms if they calcify.
29
What is usual epithelial hyperplasia?
Not considered a direct precursor to invasive breast carcinoma but is a marker for slightly increased risk (relative risk of 1.5-2.0) for subsequent invasive carcinoma.
30
What is flat epithelial atypia/ atypical ductal carcinoma?
May represent earliest morphological precursor to low grade ductal carcinoma in situ. 1.5x relative risk of developing cancer.
31
How does in situ lobular neoplasia present? What is it considered to be?
More common in 50s, does not form palpable mass Solid: no lumen RF for subsequent invasive breast carcinoma in either breast in a minority Relative risk ~8-10x
32
What is ductal cell carcinoma in situ (DCIS)? What is the incidence?
Neoplastic intraductal epithelial proliferation with an inherent (not inevitable) risk of progression to invasive breast carcinoma. Common. Incidence markedly increased since introduction of breast screening programmes.
33
How is DCIS detected?
85% on mammography as areas of microcalcification. 10% produce clinical findings: lump, nipple discharge, or eczematous change of the nipple (Paget's disease of nipple) 5% incidentally in breast specimens removed for other reasons.
34
What is the treatment of DCIS?
Complete surgical excision with clear margins is curative. Recurrence is more likely with extensive disease + high grade DCIS.
35
What are invasive breast carcinomas?
Malignant epithelial tumours which infiltrate within the breast + have capacity to spread to distant sites. Most common cancer in F- lifetime risk of 1 in 8. Incidence rates rise rapidly with increasing age, most cases occur in elder.
36
What are risk factors for invasive breast carcinomas?
Early menarche Late menopause Increased weight High alcohol consumption OCP use FH
37
What is the clinical presentation of invasive breast carcinomas?
Usually present with a breast lump Some asymptomatic detected on screening mammography
38
What is basal-like carcinoma characterised by histologically, immunohistochemically and in its nature?
Histologically: sheets of markedly atypical cells with a prominent lymphocytic infiltrate. Central necrosis is common. Immunohistochemically: +ve for “basal” cytokeratins CK5/6 + CK14. Often associated with BRCA mutations. Propensity to vascular invasion + distant metastatic spread.
39
How is invasive breast cancer histologically graded?
By assessing tubule formation, Nuclear pleomorphism + Mitotic activity. Each parameter scored from 1-3 + values are added together to produce total scores from 3-9. 3-5 : Grade 1 =well differentiated 6-7 : Grade 2 = moderately differentiated 8-9 : Grade 3 = poorly differentiated
40
What is the association between receptor status and prognosis?
Low grade: tend to be ER/ PR +ve, Her2 -ve. High grade: tend to be ER/ PR -ve, Her2 +ve. Basal-like carcinomas: often ER/ PR/ Her2 -ve (“triple negative”).
41
What is the most important factor for prognosis of breast cancer?
Status of axillary lymph nodes. Other factors: tumour size, histological type, + histological grade.
42
What is the NHS breast screening programme?
Aims to detect DCIS or early invasive carcinomas. F 47-73y screened every 3y Screening test: mammogram which looks for abnormal areas of calcification or a mass within the breast.
43
What are the results of the NHS breast screening programme? What happens after?
~5% have an abnormal mammogram + are recalled to an assessment clinic for further Ix: more mammograms US Core biopsy sample
44
What is gynaecomastia?
Enlargement of male breast. Pubertal boys + \> 50s. Idiopathic, cirrhosis, leydig cell tumours, drugs (therapeutic + recreational). Benign, no risk of malignancy.
45
Describe the epidemiology, presentation and histology of male breast cancer
Rare (0.2% of all cancers). Median age 65y Most present with a palpable lump. Histologically show similar features to female breast cancers.
46
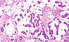
What is this? Describe what can be seen
Duct ectasia Periductal + interstitial inflammation Dilated duct
47
What is this?
Acute mastitis cytology
48
What is this?
Fat necrosis cytology
49
What is this? Describe what can be seen
Fat necrosis histology Central focus of necrotic fat cells Surrounded by lipid filled macrophages + neutrophilic infiltrate
50
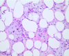
What is this? Describe what can be seen
Fibrocystic disease histology FIBRO: loose stroma replaced by compressed fibrous tissue containing CYSTS lined with flattened/ low cuboidal epithelium Adenosis: increased no. acini
51
What is this?
Fibroadenoma cytology
52
What is this?
Fibroadenoma histology
53
What is this? Describe what can be seen
Phyllodes tumour cytology Biphasic pattern Increased stromal epithelial ratio
54
What is this?
Phyllodes tumour histology
55
What is this?
Phyllodes tumour histology
56
What is this? Describe what can be seen
Intraductal papilloma cytology Large stellate tissue fragments of benign ductal cells in a proteinaceous background
57
What is this?
Intraductal papilloma cytology
58
What is this?
Intraductal papilloma histology
59
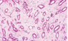
What is this?
Radial scar histology
60
What is this?
Usual epithelial hyperplasia histology
61
What is this?
Flat epithelial atypia/Atypical ductal carcinoma histology
62
What is this?
In situ nobular neoplasia
63
What is this?
Low grade DCIS histology
64
What is this?
High grade DCIS histology
65
What is this?
Invasive ductal carcinoma cytology
66
What is this?
Invasive ductal carcinoma cytology
67
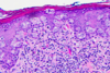
What is this?
Invasive duct carcinoma histology
68
What is this?
Invasive lobular carcinoma histology
69
What is this?
Invasive tubular carcinoma histology
70
What is this?
Invasive mucinous carcinoma histology
71
What is this?
Basal-like carcinoma histology
72
What is this?
Basal-like carcinoma histology
73
What is this?
Basal-like carcinoma histology
74
What is this?
Basal-like carcinoma histology
75
What is this?
Basal-like carcinoma histology
76
What is this?
Gynaecomastia
77
What is Paget disease of the nipple?
Proliferation of malignant glandular epithelial cells (in situ carcinoma) in the nipple areolar epidermis Uncommon Peak 6-7th decade
78
What are the 2 theories of etiological origin of Paget's?
Epidermotropic: DCIS cells that migrate + break through epidermal membrane Transformation: Malignant transformation of keratinocytes/ Tower cells
79
What is this?
Paget's disease of nipple
80
Describe the appearance of Paget's disease of the breast
Red-pink crusting lesion/ cracking of skin Discoloration Thickening Ulceration Exudate Nipple retraction
81
How is DCIS classified?
Subclassified histologically into low, intermediate + high grade
82
What is the inheritability of invasive breast carcinomas?
~5% show clear evidence of inheritance. BRCA mutations cause a lifetime risk of invasive breast carcinoma of up to 85%.
83
Describe the male breast
Composed of ductal structures only within collagenized stroma, with no / rare acini
84
Describe the histology of gynaecomastia
Epithelial hyperplasia of breast ducts with typical finger-like projections extending into the duct lumen. Periductal stroma often cellular + oedematous.
85
What does cytopathology code C5 denote?
Malignant
86
Which benign lesion most commonly mimics breast cancer on radiology?
Radial scar
87
What is the most common malignant breast tumour?
Ductal carcinoma