What type of bridge design is this?

Cantilever
Describe the abutment tooth status, occlusion and OH when a RBB may be indicated
What are the disadvantages of a RBB?
What is panavia used for?
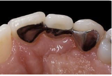
Cementation of a RBB
What is the ideal shape of a pontic?
Ovate shape is ideal
(oval outline)
What type of bridge design is this?

Fixed-fixed
Why may you have to accept a shortened dental arch in elderly patients?
Choose not to have prosthesis as space replacement
In older patients with reduced manual dexterity it may be appropriate to accept a short dental arch
What type of radiograph would you need prior to preparation for a bridge?
Ensure you have a contemporary periapical radiograph of the teeth to be prepared
What are some advantages of bridges over implants?
Less clinical time
Cheaper than implants
Failure of treatment is less catastrophic
Why may a RBB fail?
What type of bridge design is this?

Fixed-fixed
What is the role of a connector in a RBB?
The connector is the metal element that joins the wing and the pontic substructure.
What type of bridge design would you consider for missing teeth accros the midline?
Fixed-fixed
What type of bridge design is this?

Fixed-fixed
What type of bridge design is this?

Cantilever
What is a wing from a RBB normally fabricated from?
Non precious metal alloy
(Nickel-Chromium alloy or cobalt-chrome)
What are the materials for a pontic component of a bridge?
The pontic is usually porcelain fused to metal substructure
Describe how differential movement affects a cantilever bridge
Differential tooth movement results in less stress on the bond
Higher success rate (in most situations)
What type of bridge design is this?

Fixed-movable
What are some factors that affect the longevity of bridge?
Design (cantilever, fixed-fixed)
Surface coverage (partial or complete)
Connector height (short /long)
Preparation of abutment tooth
Metal surface treatment (sandblasting, silicoating)
Rigidity of framework
Occlusal considerations
Extend of span
Operator experience
What are the advantages of a RBB?
What are some contraindications of RBBs? (4)
What RBBs have the most favourable prognosis?
What teeth are being replaced
Maxillary incisor replacement
How many teeth can be included in a posterior RBB?
A RBB can only replace a single posterior tooth