Bronchiectasis Flashcards

(26 cards)

1
Q

What are the clinical signs of bronchiectasis?

A
  1. Bedside sputum mug - copious, foul smelling, purulent sputum
  2. Cachexia
  3. Clubbing
  4. Bilateral coarse late-inspiratory crepitations that change with coughing
    +/- inspiratory clicks (hallmark)
  5. Dull percussion over bronchiectatic areas
    +/- variable fremitus (reduced in collapse, increased in pneumonia)
  6. Cor pulmonale - A or V wave, TR PSM, left parasternal heave, loud P2

Identifying causes
1. Lymphadenopathy - sarcoidosis, tuberculosis related bronchiectasis, malignancy
2. Tar staining - COPD (38% has bronchiectasis) , malignancy
3. Wheeze - airway obstruction
4. Yellow nail syndrome

How well did you know this?
1
Not at all
2
3
4
5
Perfectly
2
Q

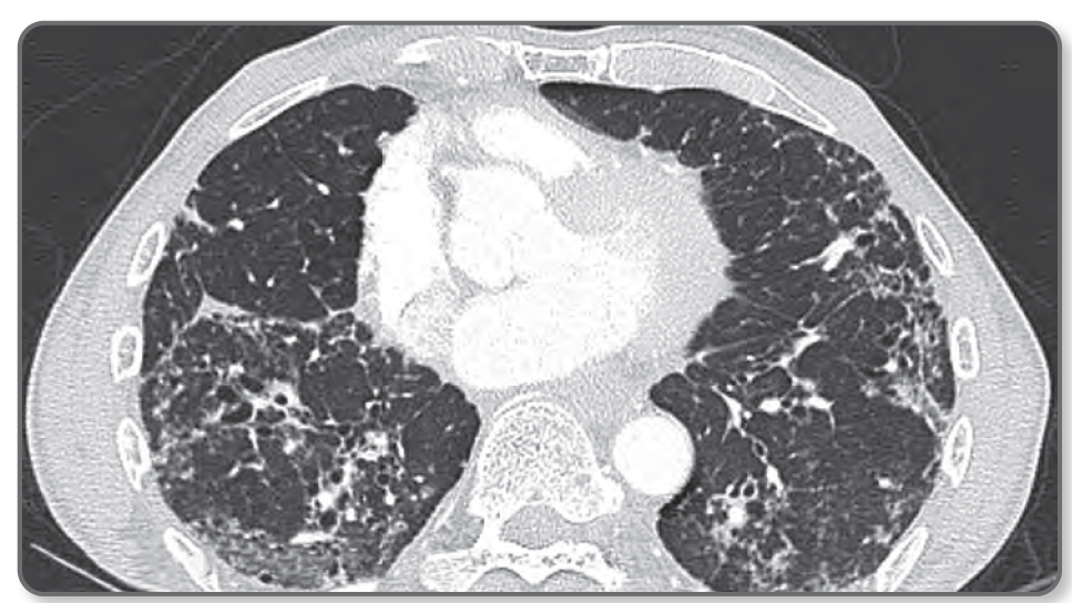
How would you investigate a patient with suspected bronchiectasis?

A

Initial Investigations
1. Bloods: FBC, CRP, ESR, blood cultures, ABG
2. Sputum: gram stain, culture, cytology, AFB smear and culture, MTB PCR

Imaging
3. CXR: diagnosis, extent and complications
- Dilated airways and thickened bronchial walls
> Tramlines over lung peripheries (2 thick white parallel lines)
> Ring shadows (bunches of grapes appearance)
- Tubular shadows (solid thick white shadows - bronchi filled with secretions)
- Linear or plate-like atelectasis
- Scattered irregular opacities
- Focal pneumonitis
- Assess complications: pneumonia, abscess, pleural effusion

  1. HRCT Thorax (gold standard)
    - Signet ring sign
    - Dilatation of airway lumen > 1.5x nearby vessels
    - Affecting lower lobes (if upper lobe - suspect CF or ABPA)
    - Bronchi ends abnormalities
    > Cylindrical/tubular: lack of tapering of bronchi
    >Varicose: dilated bronchi with irregular bulging contours/bullae
    > Saccular of cystic pus-filled cavities

Additional Investigations
5. Immunoglobulins - IgG, A, M, E
6. Aspergillus RAST
7. Rheumatoid serology
8. Saccharine ciliary motility (obsolete)
(now replaced with nasal nitric oxide test)
9. Genetic screening
10. Lung function test: obstructive pattern (FEV1/FVC < 70%) +/- reversible with beta agonist
> (advanced/fibrotic - restrictive pattern FEV1/FVC > 70% from scarring, atelectasis)
11. Bronchoscopy - locate haemoptysis and exclude obstruction (no longer gold standard)
12. Cystic fibrosis testing

How well did you know this?
1
Not at all
2
3
4
5
Perfectly
3
Q

What are the causes of bronchiectasis?

A
  1. Idiopathic (50%)
  2. Childhood infection - measles, pertussis, TB
  3. Bronchial obstruction - LN, tumour, foreign body, COPD
  4. Fibrosis - pulmonary fibrosis, post-TB/sarcoidosis, suppurative pneumonia
  5. Mucociliary clearance defect (genetic) - cystic fibrosis, Kartagener, immotile cilia syndrome, Chediak Higashi syndrome
  6. Immunnodeficiency (recurrent infection) - hypogammaglobulinaemia, common variable immunodeficiency, AIDS
  7. Autoimmune - inflammatory bowel disease (UC > Crohn), Sjogren, SLE, RA
  8. ABPA
  9. Recurrent aspiration
  10. Mercury poisoning -> ciliary dysfunction (Young syndrome)
  11. Anatomical defect - Yellow nail syndrome
How well did you know this?
1
Not at all
2
3
4
5
Perfectly
4
Q

What autoimmune condition is most associated with bronchiectasis?

A

Rheumatoid arthritis

Others: IBD (UC > Crohn), Sjogren, SLE

How well did you know this?
1
Not at all
2
3
4
5
Perfectly
5
Q

How would you manage a patient with bronchiectasis?

A
  1. Involvement of multidisciplinary team

General measures
2. Stop smoking, adequate nutrient and supplement
3. Immunisation for influenza, pneumococcal, check immunity for measles/pertussis/rubella

Acute exacerbation
4. Physiotherapy and postural drainage, nebuliser device
5. Prompt antibiotics for infections, and low dose azithromycin prophylaxis
6. Bronchodilators and inhaled/oral corticosteroids

Refractory
7. Consider surgical resection for localised disease poorly controlled by antibiotics
8. Bronchial artery embolisation - massive haemoptysis
9. Foreign body or tumour removal
10. Lung transplantation in cystic fibrosis
11. Long term oxygen therapy in advanced cases

How well did you know this?
1
Not at all
2
3
4
5
Perfectly
6
Q

What are the possible complications of bronchiectasis? (7)

A
  1. Pneumonia, sepsis, abscess, empyema, collapse
  2. Respiratory failure
  3. Cor pulmonale
  4. Pneumothorax
  5. Secondary amyloidosis
  6. Massive haemoptysis due to mycotic aneurysm
  7. Sinusitis -> cerebral abscess and meningitis
How well did you know this?
1
Not at all
2
3
4
5
Perfectly
7
Q

What are the most common pathogens in patients with bronchiectasis? (5+1)

A

Staphylococcus aureus
Streptococcus pneumoniae
Haemophillus influenzae
Pseudomonas aeruginosa
Klebsiella pneumoniae
Aspergillus sp

How well did you know this?
1
Not at all
2
3
4
5
Perfectly
8
Q

What is the pathophysiology of bronchiectasis?

A

Vicious cycle of:

  1. Obstruction or chronic necrotising infection
  2. Progressive inflammatory destruction of muscular and elastic components of bronchial walls
  3. Irreversible dilatation of bronchi (>2mm) due to:
    - Contraction of fibrous tissues exerts traction on bronchi (traction bronchiectasis)
    - Chronic cough causing rise in bronchial pressures
  4. Easily collapsible bronchi and bronchioles leading to airflow obstruction and retained secretions
  5. Recurrent infective exacerbation due to persistent medium for microbial growth
How well did you know this?
1
Not at all
2
3
4
5
Perfectly
9
Q

What is bronchiectasis sicca?

A

Past history of granulomatous infection (eg: TB)
Affecting upper lobes therefore good drainage
“Dry bronchiectasis” - dry cough with recurrent haemoptysis

How well did you know this?
1
Not at all
2
3
4
5
Perfectly
10
Q

What is Kartagener’s syndrome?
What are the features of Kartagener’s syndrome?

A
Autosomal recessive - primary ciliary dyskinesia + situs invertus + dextrocardia

Autosomal recessive immotile ciliary syndrome
Poor ciliary function with retained secretions and recurrent infections leading to bronchiectasis
Occurs in young patient (never at birth as sinuses not formed yet)

Features
- Situs inversus
- Bronchiectasis
- Chronic sinusitis (frontal and maxillary tenderness)
- Frontal sinus dysplasia
- Otitis media
- Subfertility

How well did you know this?
1
Not at all
2
3
4
5
Perfectly
11
Q

What are the differences between COPD vs bronchiectasis?

A
How well did you know this?
1
Not at all
2
3
4
5
Perfectly
12
Q

What is bronchiectasis?

A

Irreversible dilatation of the bronchi > 2mm diameter due to inflammatory destruction of muscular and elastic components of bronchial walls

How well did you know this?
1
Not at all
2
3
4
5
Perfectly
13
Q

What is allergic bronchopulmonary aspergillosis (ABPA)?

A

Hypersensitivity reaction to Aspergillus colonisation of tracheobronchial tree
Occurs in patient with asthma and cystic fibrosis
Presents as: cough with mucous plug, fever, difficult to control asthma

Pathogenesis:
1. Excessive mucus production impairs ciliary function and mucoid impaction on airway
2. Type 1 hypersensitivity: IgE and IgG immune complexes and inflammatory cells deposit within bronchial mucosa
3. Inciting type 3 reaction -> damage bronchial walls, dilatation and bronchiectasis of proximal bronchi

Mnemonic (ABPA):
Asthma
Blood eosinophilia
Pulmonary infiltrates
Antibodies (IgE) to aspergillus

How well did you know this?
1
Not at all
2
3
4
5
Perfectly
14
Q

What is traction bronchiectasis?

A

Distortion of airways due to mechanical traction on bronchi from fibrosis of surrounding parenchyma, leading to dilatation and bronchiectasis
Seen in pulmonary fibrosis

How well did you know this?
1
Not at all
2
3
4
5
Perfectly
15
Q

What is the significance of wheeze in bronchiectasis?

A

Turbulent air flow due to:
1. Airway collapsibility - destruction of muscular and elastic components in bronchial walls
2. Airway obstruction - secretions, LN, granuloma, malignancy
3. Co-existent obstructive airway disease

How well did you know this?
1
Not at all
2
3
4
5
Perfectly
16
Q

Postulate anatomical distribution of bronchiectasis with cause or associated conditions
- infection, obstruction, PTB, ABPA

17
Q

What is Chediak-Higashi syndrome?

A

Autosomal recessive granulation disorder of lysosome, reduced myeloperoxidase secretion
Chronic granulomatous disease of lungs, death by 10 years old

18
Q

What is Yellow Nail Syndrome?

A

Slow growing, excessively curved and thickened yellow nails
A/w exudative pleural effusions, bronchiectasis, sinusitis, lymphoedema

19
Q

What is William-Campbell syndrome?

A

Congenital absence of cartilage - young bronchiectasis

20
Q

What is primary ciliary dyskinesia?

A

Autosomal recessive - defect in cilia (DNAH5 heavy chain protein) causing inability of cilia to beat

Characterised by:
1. Recurrent chronic sinusitis
2. Otitis media
3. Nasal polyps
4. Hypoplastic frontal sinus
5. Chronic bronchitis, obstructive airway disease and bronchiectasis (lower lobe)
6. Infertility
(If it includes situs inversus = Kartagener’s syndrome)

Diagnostic test: nasal nitric oxide level - low
Confirmation: nasal brush ciliary beat frequency, electron microscopy

21
Q

What happens to the cilia in mercury poisoning?

A

Young syndrome - normal ciliary activity but excessively thick mucous
Triad of: bronchiectasis, rhino-sinusitis, male infertility

22
Q

Why is levofloxacin less preferred despite better lung penetration?
Ciprofloxacin use and dosage in exacerbation of bronchiectasis?

A

Levofloxacin reserved for 2nd line treatment of tuberculosis

PO ciprofloxacin 500mg BD - non-pseudomonas dose
PO ciprofloxacin 750mg BD - pseudomonas dose

23
Q

Macrolide prophylaxis in bronchiectasis

A

Criteria: 3 or more exacerbations per year

Mechanism of action:
1. Immunomodulatory effects reducing airway inflammation
2. Antibacterial to non-pseudomonas - reduces bacterial load and prevent infections that trigger exacerbations

24
Q

Nebulised colistin in pseudomonas colonisation

A

Criterias: 3 or more exacerbations per year despite optimisation of other therapies:
- Treated underlying cause
- Ongoing airways clearance techniques
- Mucoactive treatments
- Self-management plan

Preparations:
1. Challenge test
2. Pre-treatment bronchodilator
3. Sputum AFB status
4. Reviewed every 6 months for efficacy, toxicity, and continuing need

25
What is the definition of massive haemoptysis? Management of haemoptysis in bronchiectasis
Massive haemoptysis - Single episode >50mL - Per day > 200mL 1. Majority - conservative management 2. Standby Yankeuer suction by bedside, and haemoptysis charting 3. Fluid resuscitation 4. CT aortogram/pulmonary angiogram with bronchial artery embolisation (96% curative; recurrence 50% in 4 months) 5. Surgical resection for intractable bleeding
26
EMBARC Bronchiectasis Severity Index Score
Predicts hospitalisation and mortality over 1-4 years Assessment factors: 1. Age 2. BMI (+1 too skinny < 18.5) 3. FEV1 predicted 4. Previous hospitalisation in past 2 years 5. Exacerbation frequency in 1 year 6. MRC dyspnoea score (or mMRC) 7. Colonisation status (+1 SA, +3 PAE) 8. Radiological severity (3 or more lobes) CALCULATION OF FINAL SCORE: 0-4 points: - 1 year: 0-2.8% mortality, 0-3.4% hospitalisation - 4 year: 0-5.3% mortality, 0-9.2% hospitalisation 5-8 points: - 1 year: 0.9-4.8% mortality, 1-7.2% hospitalisation - 4 year: 4-11.3% mortality, 9.9-19.4% hospitalisation 9+ points: - 1 year: 7.6-10.5% mortality, 16.7-52.6% hospitalisation - 4 year: 9.9-29.2% mortality, 41.2-80.4% hospitalisation