Bulloses Flashcards

(38 cards)

1
Q
A

vésicules groupées sur fond érythrémateux: herpès zona

How well did you know this?
1
Not at all
2
3
4
5
Perfectly
2
Q
A
  • Bulle sur pied
  • a l’air difficile à péter
How well did you know this?
1
Not at all
2
3
4
5
Perfectly
3
Q
A

érosion: bulle qui a été pétée

How well did you know this?
1
Not at all
2
3
4
5
Perfectly
4
Q
A

croûte sur base érodée

How well did you know this?
1
Not at all
2
3
4
5
Perfectly
5
Q

Vésicules et bulles: DDX

A
  • Infectieux
    ——— Herpès simplex
    ——— Varicelle
    ——— Zona
    ——— Impétigo bulleux (Staphylocoque aureus)
    ——— Tinea pedis inflammatoire
  • Inflammatoire
    ——— Dermatite de contact aiguë
    ——— Eczéma dyshidrosique
    ——— Stevens-Johnson Syndrome – Érythème toxique nécrolytique
  • Bulloses auto-immunes
    ——— Pemphigus vulgaire
    ——— Pemphigoïde bulleuse
    ——— Dermatite herpétiforme
How well did you know this?
1
Not at all
2
3
4
5
Perfectly
6
Q

Vésicules et bulles: DDX
- nommez les causes INFECTIEUSES

A
  • Infectieux
    ——— Herpès simplex
    ——— Varicelle
    ——— Zona
    ——— Impétigo bulleux (Staphylocoque aureus)
    ——— Tinea pedis inflammatoire
  • Inflammatoire
    ——— Dermatite de contact aiguë
    ——— Eczéma dyshidrosique
    ——— Stevens-Johnson Syndrome – Érythème toxique nécrolytique
  • Bulloses auto-immunes
    ——— Pemphigus vulgaire
    ——— Pemphigoïde bulleuse
    ——— Dermatite herpétiforme
How well did you know this?
1
Not at all
2
3
4
5
Perfectly
7
Q

Vésicules et bulles: DDX
- nommez les causes INFLAMMATOIRES

A
  • Infectieux
    ——— Herpès simplex
    ——— Varicelle
    ——— Zona
    ——— Impétigo bulleux (Staphylocoque aureus)
    ——— Tinea pedis inflammatoire
  • Inflammatoire
    ——— Dermatite de contact aiguë: ex. herbe à puce
    ——— Eczéma dyshidrosique
    ——— Stevens-Johnson Syndrome – Érythème toxique nécrolytique
  • Bulloses auto-immunes
    ——— Pemphigus vulgaire
    ——— Pemphigoïde bulleuse
    ——— Dermatite herpétiforme
How well did you know this?
1
Not at all
2
3
4
5
Perfectly
8
Q

Vésicules et bulles: DDX
- nommez les BULLOSES AUTO-IMMUNES

A
  • Infectieux
    ——— Herpès simplex
    ——— Varicelle
    ——— Zona
    ——— Impétigo bulleux (Staphylocoque aureus)
    ——— Tinea pedis inflammatoire
  • Inflammatoire
    ——— Dermatite de contact aiguë
    ——— Eczéma dyshidrosique
    ——— Stevens-Johnson Syndrome – Érythème toxique nécrolytique
  • Bulloses auto-immunes
    ——— Pemphigus vulgaire
    ——— Pemphigoïde bulleuse
    ——— Dermatite herpétiforme
How well did you know this?
1
Not at all
2
3
4
5
Perfectly
9
Q

Vésicules et bulles: indices

A
  • Précédées de douleur:
    ——- HSV
    ——- VZV
  • Précédées de prurit:
    ——- Dermatite de contact allergique
    ——- Eczéma dyshidrosique
    ——- VZV
  • Précédé d’un trauma:
    ——- Bulle de friction
    ——- Cryothérapie
    ——- Gelure
  • Récurrent:
    ——- HSV
How well did you know this?
1
Not at all
2
3
4
5
Perfectly
10
Q

Vésicules et bulles: indices
- nommez-les

A
  • Précédées de douleur:
    ——- HSV
    ——- VZV
  • Précédées de prurit:
    ——- Dermatite de contact allergique
    ——- Eczéma dyshidrosique
    ——- VZV
  • Précédé d’un trauma:
    ——- Bulle de friction
    ——- Cryothérapie
    ——- Gelure
  • Récurrent:
    ——- HSV
How well did you know this?
1
Not at all
2
3
4
5
Perfectly
11
Q

Vésicules et bulles: indices
- causes si précédées de DOULEUR

A
  • Précédées de douleur:
    ——- HSV = Herpes simplex virus
    ——- VZV = virus varicelle-zona
  • Précédées de prurit:
    ——- Dermatite de contact allergique
    ——- Eczéma dyshidrosique
    ——- VZV
  • Précédé d’un trauma:
    ——- Bulle de friction
    ——- Cryothérapie
    ——- Gelure
  • Récurrent:
    ——- HSV
How well did you know this?
1
Not at all
2
3
4
5
Perfectly
12
Q

Vésicules et bulles: indices
- causes si précédées de PRURIT

A
  • Précédées de douleur:
    ——- HSV
    ——- VZV
  • Précédées de prurit:
    ——- Dermatite de contact allergique
    ——- Eczéma dyshidrosique
    ——- VZV
  • Précédé d’un trauma:
    ——- Bulle de friction
    ——- Cryothérapie
    ——- Gelure
  • Récurrent:
    ——- HSV
How well did you know this?
1
Not at all
2
3
4
5
Perfectly
13
Q

Vésicules et bulles: indices
- causes si précédées d’un TRAUMA

A
  • Précédées de douleur:
    ——- HSV
    ——- VZV
  • Précédées de prurit:
    ——- Dermatite de contact allergique
    ——- Eczéma dyshidrosique
    ——- VZV
  • Précédé d’un trauma:
    ——- Bulle de friction
    ——- Cryothérapie
    ——- Gelure
  • Récurrent:
    ——- HSV
How well did you know this?
1
Not at all
2
3
4
5
Perfectly
14
Q

Vésicules et bulles: indices
- causes si RÉCURRENT

A
  • Précédées de douleur:
    ——- HSV
    ——- VZV
  • Précédées de prurit:
    ——- Dermatite de contact allergique
    ——- Eczéma dyshidrosique
    ——- VZV
  • Précédé d’un trauma:
    ——- Bulle de friction
    ——- Cryothérapie
    ——- Gelure
  • Récurrent:
    ——- HSV
How well did you know this?
1
Not at all
2
3
4
5
Perfectly
15
Q

Pemphigus vulgaire: c’est quoi?

A
  • Anticorps contre desmogléine (le mortier entre les kératinocytes)
  • Érosions surtout
  • Bulles flasques
  • Atteinte buccale
  • 40-70 ans
  • Rare
How well did you know this?
1
Not at all
2
3
4
5
Perfectly
16
Q

Pemphigus vulgaire: physiopatho

A
  • Anticorps contre desmogléine (le mortier entre les kératinocytes)
  • Érosions surtout
  • Bulles flasques
  • Atteinte buccale
  • 40-70 ans
  • Rare
17
Q

Pemphigus vulgaire: décrire les lésions

A
  • Anticorps contre desmogléine (le mortier entre les kératinocytes)
  • Érosions surtout
  • Bulles flasques
  • Atteinte buccale
  • 40-70 ans
  • Rare
18
Q

Pemphigus vulgaire: âge

A
  • Anticorps contre desmogléine (le mortier entre les kératinocytes)
  • Érosions surtout
  • Bulles flasques
  • Atteinte buccale
  • 40-70 ans
  • Rare
19
Q

Pemphigus vulgaire: fréquence

A
  • Anticorps contre desmogléine (le mortier entre les kératinocytes)
  • Érosions surtout
  • Bulles flasques
  • Atteinte buccale
  • 40-70 ans
  • Rare
20
Q
A

Pemphigus vulgaire

21
Q
A

Pemphigus vulgaire

22
Q

Pemphigus vulgaire: Prise en charge

A
  • Consultation dermatologie
  • Dx :
    ——- Biopsie cutanée
    ——————- Pathologie
    ——————- Immunofluorescence directe
    ——- Prélèvements sanguins
    ——————- Immunofluorescenc e indirecte
23
Q

Pemphigus vulgaire: Prise en charge
- référence?

A
  • Consultation dermatologie
  • Dx :
    ——- Biopsie cutanée
    ——————- Pathologie
    ——————- Immunofluorescence directe
    ——- Prélèvements sanguins
    ——————- Immunofluorescence indirecte
24
Q

Pemphigus vulgaire: Prise en charge
- comment faire le dx?

A
  • Consultation dermatologie
  • Dx :
    ——- Biopsie cutanée
    ——————- Pathologie
    ——————- Immunofluorescence directe
    ——- Prélèvements sanguins
    ——————- Immunofluorescence indirecte
25
Pemphigus vulgaire: Prise en charge - dx: biopsie
- Consultation dermatologie - **Dx** : ------- **Biopsie cutanée** ------------------- **Pathologie** ------------------- **Immunofluorescence directe** ------- Prélèvements sanguins ------------------- Immunofluorescence indirecte
26
Pemphigus vulgaire: Prise en charge - dx: prélèvements sanguins
- Consultation dermatologie - **Dx** : ------- Biopsie cutanée ------------------- Pathologie ------------------- Immunofluorescence directe ------- **Prélèvements sanguins** ------------------- **Immunofluorescence indirecte**
27
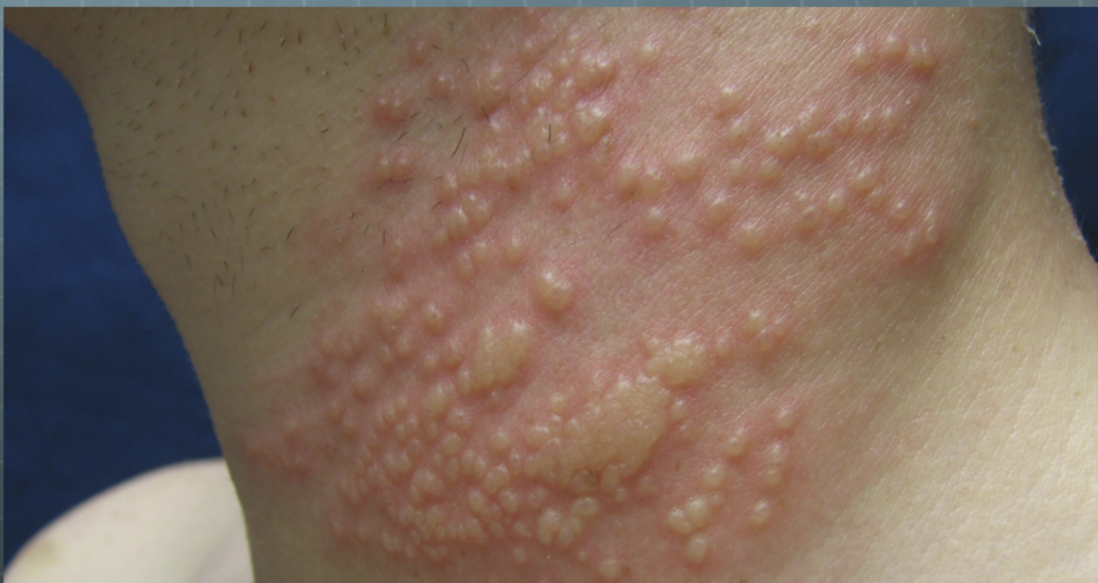
Pemphigoïde bulleuse: c'est quoi?
- Auto-anticorps contre la “colle” entre épiderme et derme (hémidesmosomes) - Bulles tendues (puisque le toit de la bulle est solide) - Fond urticarien - Prurit ++++ - 70 ans +
28
Pemphigoïde bulleuse: physiopatho
- **Auto-anticorps contre la “colle” entre épiderme et derme (hémidesmosomes)** - Bulles tendues (puisque le toit de la bulle est solide) - Fond urticarien - Prurit ++++ - 70 ans +
29
Pemphigoïde bulleuse: décrire les lésions
- Auto-anticorps contre la “colle” entre épiderme et derme (hémidesmosomes) - **Bulles tendues (puisque le toit de la bulle est solide)** - **Fond urticarien** - **Prurit ++++** - 70 ans +
30
Pemphigoïde bulleuse: symptômes
- Auto-anticorps contre la “colle” entre épiderme et derme (hémidesmosomes) - Bulles tendues (puisque le toit de la bulle est solide) - Fond urticarien - **Prurit ++++** - 70 ans +
31
Pemphigoïde bulleuse: âge
- Auto-anticorps contre la “colle” entre épiderme et derme (hémidesmosomes) - Bulles tendues (puisque le toit de la bulle est solide) - Fond urticarien - Prurit ++++ - **70 ans +**
32
Pemphigoïde bulleuse: bulles TENDUES
33
Pemphigoïde bulleuse: bulles TENDUES
34
Pemphigoïde bulleuse: Prise en charge
- Consultation dermatologie - Dx : ------- Biopsie cutanée ----------------- Pathologie ----------------- Immunofluorescence directe ------- Prélèvements sanguins ----------------- Immunofluorescence indirecte
35
Pemphigoïde bulleuse: Prise en charge - référence
- **Consultation dermatologie** - Dx : ------- Biopsie cutanée ----------------- Pathologie ----------------- Immunofluorescence directe ------- Prélèvements sanguins ----------------- Immunofluorescence indirecte
36
Pemphigoïde bulleuse: Prise en charge - comment faire le dx?
- Consultation dermatologie - **Dx** : ------- **Biopsie cutanée** ----------------- **Pathologie** ----------------- **Immunofluorescence directe** ------- **Prélèvements sanguins** ----------------- **Immunofluorescence indirecte**
37
Pemphigoïde bulleuse: Prise en charge - dx: biopsie
- Consultation dermatologie - **Dx** : ------- **Biopsie cutanée** ----------------- **Pathologie** ----------------- **Immunofluorescence directe** ------- Prélèvements sanguins ----------------- Immunofluorescence indirecte
38
Pemphigoïde bulleuse: Prise en charge - dx: prélèvements sanguins
- Consultation dermatologie - **Dx** : ------- Biopsie cutanée ----------------- Pathologie ----------------- Immunofluorescence directe ------- **Prélèvements sanguins** ----------------- **Immunofluorescence indirecte**