Blood supply to the talus
deltoid branch of PT supplies medial portion of talar body
may be only remaining blood supply with a displaced fracture
anterior tibial artery -suplies head and neck
perforating peroneal artery via artery of tarsal sinus suplies head and neck

List specific things evaluated in an AP pelvis radiograph in the trauma setting.
Symphysis pubis <5 mm in width
Sacroiliac joint 2-4 mm in width
Pelvic ring should have no disruption
Obturator ring should have no disruption
Sacral foraminal arcs should be visible
Check TPs of lower lumbar vertebrae for fracture
Check the fat stripes: gluteal, iliopsoas, obturator
internus
Iliopectineal or arcuate line disruption # anterior column
Ilioischial line disruption # posterior column
Radiographic U or teardrop
Acetabular roof Sorcil
Anterior rim of the acetabulum
Posterior rim of the acetabulum
Line of Klein drawn along superior edge of femoral neck
should intersect epiphysis
Shenton line - smooth continuous arc
6 radiographic landmarks of the acetabulum:

List all potential sources of bleeding in pelvic fractures. And give a alogorythm to appoach hemorrahgic shock in pelvic fractures.
Basic algorithm
if yes the OR
List the 4 SC joint ligaments (4)
Which AC joint ligaments provide horizontal stability (AP)? (2)
Which ones provide vertical stability ?
Superior & Posterior Ligaments- horizontal
Conoid & Trapazoid Ligaments - Vertical

What x-ray is the money view for AC joints?
Zanca view

How do you position hemi in type 4 proximal humerus fractures?
Height?
Version?
Preop
interop
Retroversion
Describe deltopectoral approach.
What is the internervous plane?
Internervous plane
Indications for Prosthetic humeral head replacement in trauma (3)
Vascularity to the Humeral Head
anterior humeral circumflex artery
posterior humeral circumflex artery

Describe the Neer classification (4)
Based on anatomic relationship of 4 segments:
separate part - displaced > 1 cm 45° angulation
valgus impacted is not true 4 part.
Approach to radial nerve palsy in humerus fractues.
What Tendon transfers are typically preformed.
Describe Hawkins classification and Osteonecrosis rates (4)
Hawkins 1: Nondisplaced 0-13%
Hawkins 2: Subtalar dislocation 20-50%
Hawkins 3: Subtalar and tibiotalar dislocation 20-100%
Hawkins 4: Subtalar, tibiotalar, and talonavicular dislocation 70-100%

What x-ray provides optimal view of talar neck?
Canale View
technique:

List all 10 types of Periacetabular fractures
Elementary
Associated

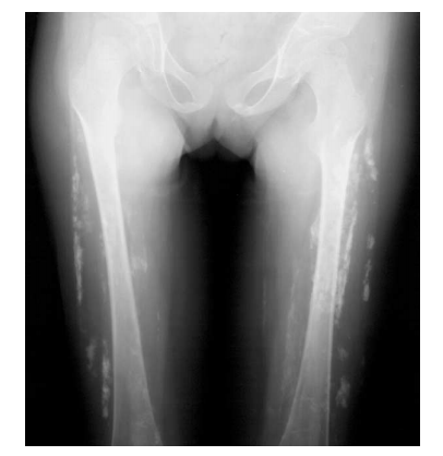
What is this?

Extensive soft-tissue calcifications are noted bilaterally in
the lower extremities of this patient with dermatomyositis.
Describe the Young-Burgess classification.
Anteroposterior compression (APC)
Lateral compression (LC)
G)Vertical shear - Comple disruption of SI
arrows indicates direction of force

In open pelvis fracture management what are the important intitial steps.
Although not definitive what could one predict with blood transfusion requirements in trauma using Young-Burgess & Letounal classifications. (JOT2007)
Most blood required:
Most likely need transfusion
what is PUDA?
Proximal ulna dorsal angulation
exists in 96% of population
6 +/- 3 ° - 5 cm from tip of olecranon
5 degrees malreduction = radial head instability
varus angle proximal ulna (N) = 14 ° +/- 4°
Describe how to apply an External fixator to pelvis.
list the Principles of Tendon Transfer (8)
5.Donor of adequate strength: FCR/wrist extensors/pronator teres/finger flexors strength = 1; brachioradialis/FCU strength = 2; finger extensors strength = 0.5; APL/EPB/EPL/PL strength = 0.1
a. Lose one grade of strength with a transfer
6. Straight line of pull: direction changes weaken force of pull
7. Synergy: certain muscle groups work together ex. Wrist flexion & finger extension, wrist extension & finger flexion. Finger flexion & extension not synergistic, so try to avoid.
8. Single function: if try to restore multiple functions, compromise strength & movement
Whats the diffrence between High and Low radial nerve palsy clinically?
High radial nerve palsy = injury proximal to elbow = radial nerve proper
Lack wrist/finger/thumb extension
Lack sensation 1st webspace/dorsoradial hand (not critical to normal hand function)
Low radial nerve palsy (PIN) = injury distal to elbow = posterior interosseous nerve
Lack finger/thumb extension
Have sensation 1st webspace/dorsoradial hand
Wrist extension preserved (ECRL is radial nerve proper), although may have radial deviation in extension if proximal PIN injury and ECU affected