O que é a mama embriologicamente?
Espessamento de ectoderma que infiltra a mesoderma
Mamilo: é o “pontinho” de ectoderma
Hipótese diagnóstica e risco de malignidade

Ectasia ductal: expressão multiductal multicolorida benigna

(comum em pessoas que já engravidaram)
Via metastática
CA de Mama
Linfática em osso, pulmão, fígado e SNC
Retalho utilizado para drenagem de mamas
de grande dorsal (pele das costas)
Nervo que pode causar escápula alada em cirurgias
Nervo de Bell (torácico longo)
inerva o m. serrátil
Limite anatômico da mama
M. peitoral maior

Costelas em que mamas repousam
2ª-3ª costela
Ligamentos que fazem mama não cederem à gravidade
Ligamentos de Cooper

O que costuma causar retração de pele
97% da drenagem das mamas vai para _____ (clavícula/axila).
Axila
Dê o BI-RADS

2: benigno, patognomônico de fibradenoma
“em pipoca”
Dê o BI-RADS

5: prestar atenção no contorno branco com estrela
Sem o contorno branco é 4
Na mamografia, uma mama foi pouco apertada, causando ______.

Assimetria focal, necessário fazer compressão focal
Incidências na Mamografia
Crânio-caudal e médio-lateral

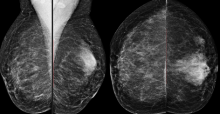
Dê a localização do tumor

Quadrante superior medial esquerdo

“Nome bonito para mamografia”
Estereotaxia
Conduta
CA de mama in situ
Não faz axila ou quimioterapia
CA de mama
Cirurgias radicais X conservadoras
Radical/Conservadora
Linfonodo Sentinela
Corante utilizado para pesquisa
Tecnécio
CA de mama
Quando fazer radioterapia?
SEMPRE DEPOIS
Pós cirurgia
Calcificações 1x1cm suspeitas em mama
Tratamento
Quadrantectomia
(Sem sentinela!)