Calazar Flashcards

(14 cards)

1
Q

Qual o ag etiológico do calazar?

A

Leishmania chagasi. É um agente pouco patogênico (a maioria não adoece).

How well did you know this?
1
Not at all
2
3
4
5
Perfectly
2
Q

Qual o vetor do calazar?

A

Lutzomia longipalpis.

How well did you know this?
1
Not at all
2
3
4
5
Perfectly
3
Q

Qual o reservatório do calazar?

A

O grande reservatório atual são os cães (urbanização).

How well did you know this?
1
Not at all
2
3
4
5
Perfectly
4
Q

Qual o QC do calazar?

A

Para que desenvolva, deve haver uma resposta celular RUIM (pois é pouco patogênico), porém o organismo tenta desenvolver uma resposta humoral boa:

1) Resposta celular ruim: febre ARRASTADA, pancitopenia (invade o macrófago e invade a MO, fígado e baço) e hepatoesplenomegalia (são MUITO grandes).
2) Resposta humoral boa: redução da albumina, globulina policlonal (inversão da relação albumina e globulina = alb < glob). Isso é visto com a eletroforese das ptn plasmáticas (base larga e aumentada, diferente do MM que a base é fina e muito grande).
* Febrão com um bação por um tempão.

How well did you know this?
1
Not at all
2
3
4
5
Perfectly
5
Q

Quais os ddx do calazar?

A

Doenças da série brança da hematologia.

How well did you know this?
1
Not at all
2
3
4
5
Perfectly
6
Q

Como dx o calazar?

A

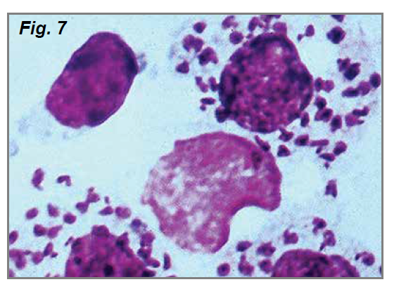
1) Parasitológico (formas amastigotas): aspirado de MO (pref apesar da S menor) e punção esplênica (S 95%, porém com risco de sg). O achado é o macrófago abarrotado de amastigotas.
2) Sorológico: imunoflorescência indireta (IFI) e rK39.
3) Reação de Montenegro: busca imunidade CELULAR contra o parasita. Está negativa no paciente (pois a resposta celular está prejudicada). Se tornar-se positiva, é um excelente sinal.
* A punção esplênica é uma boa forma de dx, porém o risco de ruptura esplênica é alto.

How well did you know this?
1
Not at all
2
3
4
5
Perfectly
7
Q

Qual o tto do calazar?

A

Glucantime (antimonial pentavalente - escolha)* e anfo B lipossomal (alternativa para gestantes, graves, insuficientes - cardíaca, hepatocelular, renal -, IMSP, idade < 1 ou > 50, intolerantes - alargou QT).
*Faz muita toxicidade CV (alarga o QT - torsades de pointes). Evitar em idosos, lactentes, cardiopatas.

How well did you know this?
1
Not at all
2
3
4
5
Perfectly
8
Q

Quais as espécies de Leishmania dermatotrópicas?

A

Amazonensis, guyanensis e braziliensis.

How well did you know this?
1
Not at all
2
3
4
5
Perfectly
9
Q

Qual a fisiopatogenia da leishmaniose tegumentar?

A

Inoculação de promastigotas, se diferenciando em amastigotas e invadindo macrófagos. Ocorre, então, uma resposta granulomatosa com necrose da pele, poucos parasitas e ulceração.

How well did you know this?
1
Not at all
2
3
4
5
Perfectly
10
Q

Qual o QC da leishmaniose tegumentar localizada?

A

Lesões em áreas expostas da pele, iniciando-se como pápula eritematosa, tornando-se nodular e evoluindo para úlcera, que pode ser úmida (infecção 2ária - recoberto por exsudato) ou seca (crosta central podendo haver lesões satélites na vizinhança), persistindo por meses ou anos até que forma uma cicatriz atrófica e hipopigmentada.

How well did you know this?
1
Not at all
2
3
4
5
Perfectly
11
Q

Qual o QC da leishmaniose tegumentar difusa?

A

A lesão inicial não evolui para úlcera e se dissemina para outras regiões de forma hematogênica, especialmente para face (nariz, boca, orelha, região malar) e membros. Quando acomete a face, pode dar o aspecto leonino da hanseníase virchowiana.

How well did you know this?
1
Not at all
2
3
4
5
Perfectly
12
Q

Como dx a leishmaniose tegumentar?

A

Parasitológico (amastigotas no esfregaço da lesão), imunológico (ELISA) ou molecular (PCR). Recomenda-se confirmação com parasitológico antes do início do tto.

How well did you know this?
1
Not at all
2
3
4
5
Perfectly
13
Q

Qual a importância da reação de montenegro na leishmaniose tegumentar?

A

A positividade demonstra um grande valor presuntivo da infecção, porém pode ser negativa entre 1-4 meses do início da lesão (infecção inicial), na cutânea difusa e na visceral.

How well did you know this?
1
Not at all
2
3
4
5
Perfectly
14
Q

Qual o tto da leishmaniose tegumentar?

A

Drogas de escolha: antimonial pentavalente, anfo B, pentamidina, pentoxifilina (VO), miltefosina (VO).
*Nem todo caso precisa ser tratado: tratar as lesões grandes ou em locais estéticos ou todas causadas pela espécie braziliensis (pode acometer mucosas).

How well did you know this?
1
Not at all
2
3
4
5
Perfectly