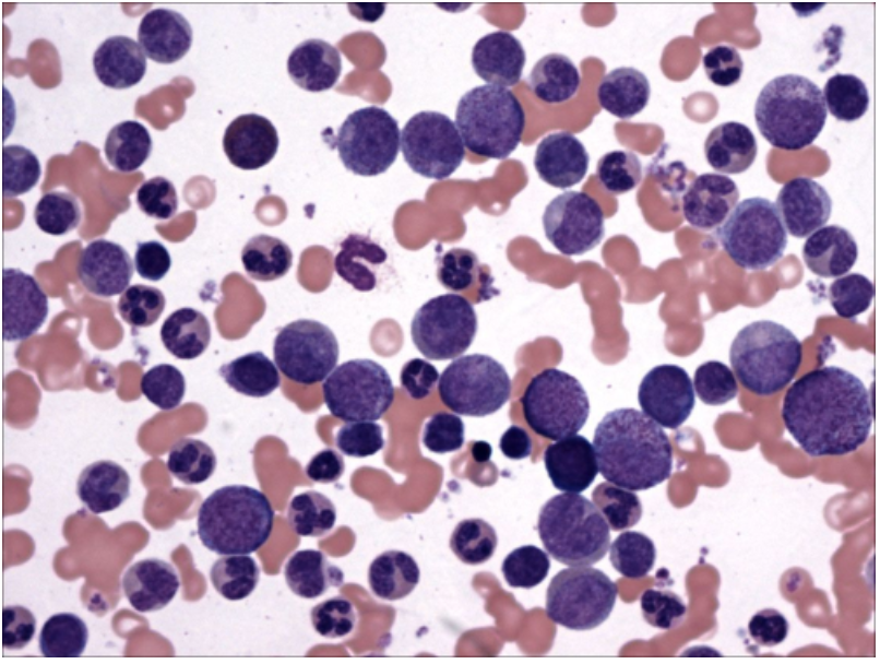
Patient presents with splenomegaly, gingival bleeding, history of fatigue and weight loss. See blood smear. Labs show 42k WBCs, 70% segmented neutrophils, 18% lymphocytes, 9% monocytes, 6% band cells, 8% basophils. What is first line treatment for this?

Treat with imatinib (this is CML)

What is the biggest risk factor for developing pancreatic cancer?
Smoking
Familial adenomatous polyposis is due to an inherited mutation of which tumor suppressor gene? On which chromosome is this located?
Tumorigenesis in these patients usually occurs after acquired mutations of an oncogene. Which oncogene?

FAP
Autosomal dominant mutation of APC gene (tumor suppressor) on chromosome 5
Acquired mutations of K-RAS often lead to tumorigenesis
no picmonic
Child w/ a mass in the upper left quadrant. What is your DDx? How do you differentiate these?
Probably either a Wilms tumor or a neuroblastoma. Wilms tumors are smooth, neuroblastomas are firm, irregular.
