stages of hypoplastic left heart surgery
Norwood
goal: all systemic flow from RV - neoaorta constructed via side-to-side anastomosis of MPA and hypoplastic aorta - Blalock-Taussig shunt to divert some flow to lungs (systemic-pulmonary shunt)
Blalock-Taussig shunt
synthetic graft from Right Subclavian Artery to Right Pulmonary Artery
Sano shunt
Right Ventricle –> Right Pulmonary Artery
Bi-directional Glenn
SVC –> RPA (bi-directional because RPA left open to allow blood to flow into both lungs
Fontan
RA -or- IVC –> PA All blood flow bypasses lungs
MC location for angiosarcoma
Right atrium
Normal MV area
4-6 cm^2
Moderate MV stenosis
1 - 1.5 cm^2
MC locations of cardiac lipomas
atrial septum > right atrium > LV
Blalock-Hanlon procedure
normal aortic valve area
> 2.0 cm^2
signs of high risk plaque on CTA

napkin ring sign (high risk plaque)

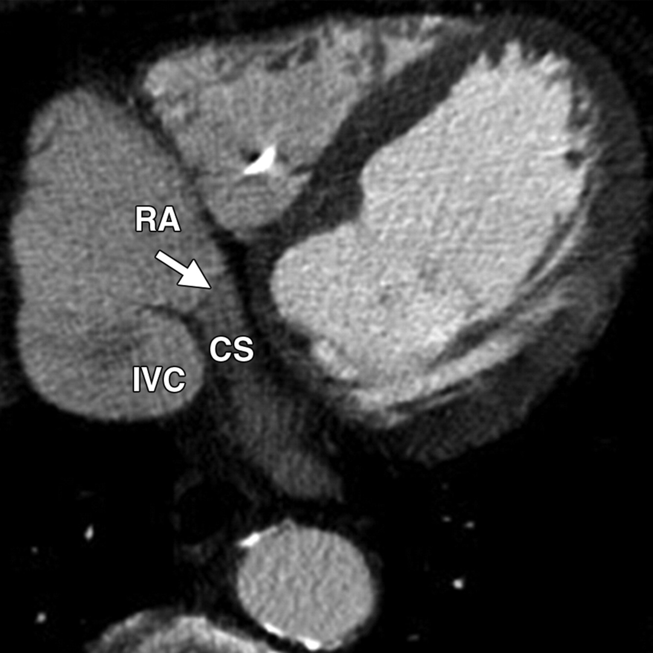
thebesian valve
(@ junction of coronary sinus and RA)
what marks junction of coronary sinus and great cardiac vein?
valve of Vieussens
what is remnant of left SVC?
ligament of Marshall
what is location of ligament of Marshall?
left atrium and left superior pulmonary vein
LV papillary muscles
anterior and posterior
coronary artery anomalies are associated with
situs inversus incompletus
levocardia + right-sided stomach
situs inversus totalis
dextrocardia + right-sided stomach
Kartagener’s triad
papillary muscle rupture time point
2-7 days post-MI