Cardio Flashcards

(332 cards)

1
Q

what faci

Define Haematocrit (PCV)

A

ratio of volume of red blood cells to total volume (45%)

How well did you know this?
1
Not at all
2
3
4
5
Perfectly
2
Q

Define Haemopoiesis

A

formation of new blood cells and platelets

How well did you know this?
1
Not at all
2
3
4
5
Perfectly
3
Q

Define Anaemia

A

reduced haemoglobin or numbers of RBCs, often
due to iron deficiency

How well did you know this?
1
Not at all
2
3
4
5
Perfectly
4
Q

Define Haemostasis

A

the arrest of bleeding, involving blood coagulation and the contraction of damaged blood vessels.
1. vascular spasm
2. Primary- forms temporary platelet plug
3. Secondary- coagulation cascade forms permanent fibrin clot

How well did you know this?
1
Not at all
2
3
4
5
Perfectly
5
Q

Summarise how a platelet plug is formed

A
  1. Vessel damage and vWF secretion by endothelial cells
  2. vWF binds (adheses) platelets to exposed collagen in damaged vessel wall
  3. Platelet Activation: shape change and fibrinogen receptors (GPIIb/IIIa) expressed
  4. Secretions: alpha granules and dense granules
  5. Fibrinogen from liver binds to receptors on platelets = Aggregation
How well did you know this?
1
Not at all
2
3
4
5
Perfectly
6
Q
A
How well did you know this?
1
Not at all
2
3
4
5
Perfectly
7
Q

draw out the coagulation cascade on a whiteboard.

what is made by the liver?
what are witamin K dependent?

A

Liver makes all except VIII
Vit K dependent: X, IX, VII, II (thrombin)

How well did you know this?
1
Not at all
2
3
4
5
Perfectly
8
Q

what secreted von Willebrand factor?
what does it do?

A

endodthelial cells.
vWF bunds to exposed collagen which allows platelets to bind to collagen via (GP1B receptors)

How well did you know this?
1
Not at all
2
3
4
5
Perfectly
9
Q

What do alpha granules secrete?

alpha granules secreted by activated, anchored platelets

A

more vWF - platelet adherence and activation
PlateletDerivedGrowthFactor (PDGF) = assists in long term wound healing

How well did you know this?
1
Not at all
2
3
4
5
Perfectly
10
Q

what do dense granules secrete?

from activates, anchored platelets

A

Adenosine diphosphate (ADP) - binds to P2y12
Thromboxane (TXA2) - binds to TP

both promote more platelet activation

How well did you know this?
1
Not at all
2
3
4
5
Perfectly
11
Q

what enzyme promotes the synthesis of Thromboxane?

A

Cyclooxygenase (COX) and thromboxane synthase

How well did you know this?
1
Not at all
2
3
4
5
Perfectly
12
Q

Define Haemophillia

A

inability to make blood clots due to factor VIII
deficiency (Haemophilia A) or factor IX deficiency (Haemophilia B – Christmas disease). (Haemophilia A is more common.)

How well did you know this?
1
Not at all
2
3
4
5
Perfectly
13
Q

In adults, where are precursors of mature blood cells derived from?

A

Bone marrow of axial skeleton.
(all bones in children)

How well did you know this?
1
Not at all
2
3
4
5
Perfectly
14
Q

In embryos, where are the precursors of mature blood cells derived from?

A

yolk sac, liver, spleen bone marrow.

How well did you know this?
1
Not at all
2
3
4
5
Perfectly
15
Q

What is the production of RBCs called?
what is the hormone stimulating factor?
When is this hormone released?

A

Production = Erythropoiesis
Hormone = Erthyropoietin (EPO)
Released: low level continuously and in response to hypoxia

How well did you know this?
1
Not at all
2
3
4
5
Perfectly
16
Q

What is the production of WBCs called?
What is the hormone factor?

A

Production = myelopoiesis
Hormone factor=granulocyte-macrophege colony stimulating factor (GMCSF)
only stimulates myeloblastic WBCs not lymphoid cells

How well did you know this?
1
Not at all
2
3
4
5
Perfectly
17
Q

What is the production of platelets called?
What is the hormonal factor?
How does it work?

A

Thrombopoiesis
Hormonal factor = Thrombopoietin
works by increasing production of megakaryocytes which platelets bud off from.

How well did you know this?
1
Not at all
2
3
4
5
Perfectly
18
Q

what is the lifespan of an erythrocyte?

A

120 days

How well did you know this?
1
Not at all
2
3
4
5
Perfectly
19
Q

where are RBCs removed?

A

the reticuloendothelial system (spleen, liver, bonemarrow)
and blood loss

How well did you know this?
1
Not at all
2
3
4
5
Perfectly
20
Q

where is haemoglobin found?

A

in Erthythrocytes

How well did you know this?
1
Not at all
2
3
4
5
Perfectly
21
Q

describe the structure of haemoglobin

A

Tetrameric protein with 4 globin chains, each with a haem group with central ferrous iron. Capable of reversibly binding to oxygen.
HbA = 2 alpha chains 2 beta chains

How well did you know this?
1
Not at all
2
3
4
5
Perfectly
22
Q

Describe the structure of HbF

A

2alpha chains, 2 gamma chains

How well did you know this?
1
Not at all
2
3
4
5
Perfectly
23
Q

What levels of haemoglobin would count as anaemic

A

Male < 130g/L
Female <110g/L

How well did you know this?
1
Not at all
2
3
4
5
Perfectly
24
Q

Signs and symptoms of anaemia

A

pallor, tachycardia,
hyperventilation on exertion, malaise and angina

How well did you know this?
1
Not at all
2
3
4
5
Perfectly
25
5 x causes of Anaemia?
*Acute blood loss *Hypolastic production (not enough) *Dyshaemotpoeitic prodcution (ineffective) *Haemolytic anaemia (Increased removal of RBCs) *Iron, folate or Vitamin B12 deficiencies.
26
White Cells (leucocytes) are made from Granulocytes, agranulocytes and platelets Name the granulocytes. Name the Agranulocytes
Granulocytes: Neutrophils, Eosinophils, Basophils, Agranuloyctes: Lymphocytes, monocytes
27
What is a neutrophil and how to they work?
A type of granulocyte and the most abundant WBC. multi-lobed nucleus Phagocytic. Contain 3 types of granuoles. **INFLAMMATORY** response
28
29
What is a monocyte and how to they work?
A type of Agranulocyte. Immature cells Phagocytic and can be antigen presenting (pass antigen to lymphoctye)
30
what can a monocyte differentiate into?
Tissue Macrophages (everywhere) Kupffer cells (liver) Osteoclasts (bone) Antigen presenting (everywhere) Alveolar Macrophages (lung)
31
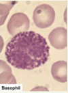
what is a basophil and how to they work?
a type of granulocyte (0.5% WBC) Bi-lobed nucleus. Blue staining histamine containing granules. **Inflammatory and prevent coag.** Immediate hypersensitivity reaction response. IgE receptors
32
what is an eosinophil and how to they work?
a type of granulocyte (1% of WBC) bi-lobed nucleus neutralise histamine particular role in fighting **parasitic** infections but also a wide range of regulatory functions
33
what are the two main groups of leukocytes?
Granulocytes (neurophil, monocyte, basophil, eosinophil) Agranulocytes (Lymphocytes (T and B) and Monocytes)
34
Where are T lymphocytes matured?
Thymus Gland
35
where are B lymphocytes matured?
Bone marrow
36
what proportion of lymphocytes in blood are B lymphocytes?
20%
37
what are the functions of T Lymphocytes? What are the 4 different types of T Lymphocytes?
involved in cell mediated immunity T Helper: help B cells and activate macrophages T Cytotoxic: kill marked target cells T Supressor: supress TH and hence supress immune response Natural Killer: mainly kill virus infected cells
38
what are the functions of B Lymphocytes?
* Generation of antibodies (M, A, G, E, D)
39
what is the lifespan of a platelet (thrombocyte)? how big is a platelet? where do they come from? How are they activated?
Size: anucleate, 2-4uM Lifespan: 7-10 days Origin: thrombopoesis from megakaryocytes Activation: shape change from smooth discoid to spiculated with pseudopodia to increase surface area
40
what is haemostasis
keeping blood fluid in vessels and clotting when outside
41
how does blood remain a fluid inside vessels?
* Platelets and proteins of the coagulation cascade circulate in an inactive state * endothelial cells, anticoagulant pathway & fibrinolytic pathways ensure fluidity
42
what is thrombosis?
clotting inside the vessel
43
platelets circulate in an [...] form
inactive
44
platelets are: a) anucleate b) nucleate
a) anucleate
45
platelets orginate from: a) monocyte b) megakaryocytes c) myoblast
b) megakaryocyte
46
why are platelets polyploidy?
Megakaryocytes enter endomitosis where the chromosomes duplicate but the cells do not divide. Therefore more chromosomes than normal
47
what is membrane blebbing?
platelets break off from the megakaryocytes. 1 megakaryocyte can produce up to 4000 platelets.
48
Plasma is a transportation medium. What percentage of blood does plasma make up for?
55%
49
What proteins are present in plasma?
* Albumin * Carrier proteins * Coagulation porteins * Immunoglobin (from B Lymphocytes)
50
Serum, is blood plasma without any [...]
clotting factors
51
Where are elastic arteries found?
Closest to the heart
52
Label the image
53
The parietal pleura is on the [...] The visceral pleura is on the [...]
outer inner
54
how many lobes does the right lung have?
3
55
how many lobes does the left lung have?
2
56
label the lobes and fissures of the lung
57
what is the lifespan of a platelet?
7-10 days
58
where to platelets spawn from?
megakaryocytes
59
which germ layer does most of the cardiovascular system derive from?
mesoderm layer
60
Which of the heart fields give rise to the future left ventricle, and which give rise to the future right ventricle and artria?
first heart field = left second heart field = right
61
blood islands form vessels in a process called [...]
vasculogenesis
62
the development of the heart begins with the formation of the [...]
primitive heart tube
63
The primitive heart tube is formed by a process called [...] where two [...] form a single heart tube
lateral folding endocardial tubes
64
The bulbis cordis forms...?
right ventricle and outflow tracts
65
the primitive ventricle forms...?
the left ventricle
66
the primitive atrium forms...
anterior parts of left and right atrium
67
The sinus venosus forms...
the superior vena cava and right atrium
68
the truncus arteriosus forms...
aortic arches and arteries (aorta and pulmonary artery)
69
what happens if there is too much NKx2.5 transcription factor?
heart too large
70
what happens if you block Gata 4 transcription factor?
the fusion of two heart tubes into one doesnt happen
71
what happens if you block Fog1 transcription factor?
heart doesn't loop
72
during cardiac embryonic development, how do cells know which way is left?
nodal secretions are circulated left by ciliary movement this is recognised by transcription factors ie "lefty"
73
During Cardiac looping, the bulbis cordis moves:
inferiorly, anteriorly and to the embryo's right
74
druing cardiac looping, the primitive ventricle moves:
to the embryo's left
75
during cardiac looping, the primitive atrium and sinus venosus move
superiorly and posteriorly
76
what is formed during cardia septation?
endocardial cushion. Grow on the sides of the atrioventricular canal to partition it into two separate openings (left and right)
77
what are the three types of capilaries?
continuous (most common) fenestrated (kidney, SI, endocrine glands) discontinuous (liver)
78
what is the purpose of vascular shunts in fetal circulation?
to bypass the pulmonary circulation not needed inutero.
79
which heart shunt lies between the atria? What does this become?
Foramen Ovale becomes fossa ovalis
80
which heart shunt is between the pulmonary artery and aorta? what does this become, and what can happen if ut doesnt become this>
Ductus Arteriosus becomes : ligamentum arteriosum. If no then pulmonary hypertension which strains Right side of heart
81
* First breaths of life -> lungs expand → the alveoli in the lungs are cleared of [a]. * An increase in the baby's [b] and a significant reduction in the [c] reduces the need for the [d] to shunt blood → closure of the shunt. * These changes increase the pressure in the [e] of the heart → decrease the pressure in the [f] -> [g] closes → newborn circulation.
[a] fluid [b] BP [c] pulmonary pressures [d] ductus arteriosus [e] left atrium [f] right atrium [g] foramen ovale
82
Embryology of Circulation: Day 17 : formation of [a] Day 17-21: vascularisation of [b] Day 18: [c] commences in the [d] Day 18+ : vasculogeneisis is added to by [e]
[a] blood vessels [b] yolk sac, chorionic villus and stalk [c] vasculogenesis [d] lateral mesoderm [e] angiogenesis
83
How does vasculogenesis work?
angioblasts combine to from angioblastic cords throughout the embryonic disc
84
1st Aortic arch =
part of maxillary
85
2nd aortic arch =
artery to stapedius
86
3rd aortic arch =
> common carotid arteries >proximal internal carotid arteries
87
4th aortic arch =
> Aortic arch > Right subclavian artery
88
6th aortic arch =
pulmonary trunk ductus ateriosus
89
what drives embryonic vessel development? (3)
angiogenic growth factors (angiopoietin i & ii) repulsive signals (plexin) attractive signals (VEGF)
90
what does this xray show?
aortic coarctation
91
There are millions of erythrocyte antigens, what are the 4 most important
ABO and Rhesus
92
what blood group is universal acceptor? Why?
AB Has no antibodies
93
what blood group is universal donor?
O Has no antigens
94
what are ABO antigens made from?
carbohydrates
95
What is meant by ABO being potently antigenic?
they occur naturally, i.e. you will have antibodies against other ABO without ever having been exposed to it.
96
when do humans start producing their own ABO antibodies?
after first 3 months of life. before this they are from mother. amount decreases with age.
97
where is immunoglobin (IgM) produced?
spleen
98
which antibodies can cross the placenta?
Rhesus antibody (IgG)
99
How does Haemolytic Disease of the fetus occur?
1. Rhesus positive father and rhesus negative mother = RhesusD positive baby 2. Bleeding during birth = RhesusD positive baby blood passed to mother. Mother produces RhesusD antibodies. 3. Later pregnancy = mother's RhesusD antibodies attack blood cells of rhesus positive baby causing disease. (IgG anti-D can cross placenta) must test and treat with anti RhD
100
What blood type is this?
A+ A antigens have floated to the top = A type B antibodies have floated to the top = A Type D is floating
101
What test can be used for blood grouping for ABO and Rhesus D?
Indriect Antiglobulin Test:
102
What will permanently prevent you from giving blood?
Syphilis HIV Recieved blood products or organ transpants since 1980 notified risk of vCJD
103
Why is blood plasma only kept from male donors?
female plasma tends to be more antigenic.
104
Name some indications for transfusion of Red Cells
hypovolaemia due to blood loss severe anaemia (not just ioron or b12 deficiency)
105
Why do Haemolytic reactions happen?
ABO incompatibility
106
what occurs during a haemolytic reaction?
Rapid intravascular haemolysis cytokine release (inflammatory) Acute renal failure and shock rapidly/delay in fatality
107
what should you do during haemolytic reaction
stop transfusion immediately fluid resuscitate
108
Name 4 hazards associated with blood transfusion
1. Haemolytic reactions 2. Bacterial contamination 3. Transfusion-related lung injury (TRALI) 4. Transfusion-associated circulatory overload (TACO
109
where to bacterial infections most commonly occur from? in blood transfusion?
platelets (kept at room temp)
110
What is TRALI and how does it occur?
Transfusion-related lung injury Antibodies in donor blood react with recipients pulmonary epithelium = inflammation = plasma leaks into alveoli SOB cough frothy sputum hypotension fevers
111
What does TACO stand for and how does it occur?
Transfusion-Associated Circulatory Overload too much blood transfused acute pulmonary oedema resp. dist, high bp
112
When would platelet transfusion be used
in thorombocytopaenia (low platelet count) ABO anitbodies still present
113
give an example of an alternative to transfusion that would stimulate RBC production
Erthyropoietin
114
When would cryopreipitate be used in transfusion
in DIC and massive transfusion if there is a lack of fibrogen
115
when would fresh frozen plasma be used in transfusion?
multiple clotting factor deficiencies. can be fractionated to produce concentrates of specific components such as factor 8 or 9
116
When would albumin be transfused?
can be used in cases of oedema to correct the oncotic pressure of blood and keep fluid in. Used in liver disease or nephrotic syndrome
117
when would immunoglobin be transfused?
used in immunodeficiency, congenital or acquired and some auto- immune diseases
118
how do you calculate the rate (bpm) of this ECG at 24mm/s
(cycles in 10 seconds) x 6 12 x 6 = 72
119
Label the parts of the electrical conduction pathway
Where would this section of the Electrical Conduction pathway show up on an ECG?
120
Where would this section of the Electrical Conduction pathway show up on an ECG?
Sinoatrial node --> Left Atrium = p wave.
121
Where would this section of the Electrical Conduction pathway show up on an ECG?
Through the atrioventricular node (slower to wait for contraction of atrium) = after p wave
122
Where would this section of the Electrical Conduction pathway show up on an ECG?
Through the left and right bundle branches of ventricles = q wave
123
What is the QRS complex of an ECG wave indicating?
Ventricular depolarisation
124
what is the p wave of an ECG indicating?
atrial depolarisiation
125
what does the t wave of an ECG indicating?
ventricular repolarisation
126
what is depolarisation? what is repolarisation?
depolarisation: influx of ions, contraction repolarisation: efflux of ions, relaxation
127
What does this ECG show?
Atrial fibrillation -random atrial activity -irregulalry irregular rhythm
128
what does this ECG show?
atrial flutter -organised atrial activity -"razor claw" -usually regular
129
what is the normal PR interval value on ECG?
120-200 millisquares (3-5 small squares)
130
what is the normal p wave interval?
80ms
131
what would a PR interval of 220ms indicate?
Delayed AV conduction = a first degree heart block | normal PR = 120-200ms
132
What is the normal width of a QRS complex?
less than 120ms (3 small squares)
133
what is the normal value of a QT interval?
<440ms in Men <460 ms in Women
134
normal T wave?
160ms
135
which is bipolar lead I, II, and III?
136
what is the difference between bipolar and unipolar leads?
Bipolar (I II III) = triangle, can be +/ – in comparison with each other Unipolar (aVR aVL aVF) = bisect the triangle. all positive,
137
look at tleads I and II in this ECG...whats up
its normal...both QRS waves are positive
138
This is wrong leads to look at babe...what does this ECG of leads I and II show?
I and II QRS waves are [L]eaving eachother = [L]eft axis deviation
139
what does this ECG of Leads I and II show?
I and II QRS waves are [R]eaching towards eachother = [R]ight axis deviation
140
which chest leads are anterior, lateral and septal?
141
Which leads can you look at on an EVG to determine a normal axis?
Leads I and II/aVf Reaching/leaving
142
what are the anterior chest leads?
v1,2,3,4
143
What are the lateral chest leads??
aVL, I, v6 v5
144
label the parts of this ecg
145
what does this ECG show and what might it indicate?
ST elevation = Blocked major artery (usually coronary) ## Footnote there's a total blockage of one of the heart's main supply arteries. When that is happening during a heart attack, it can be a sign that the muscle of the ventricles is dying.
146
What is happening at Phase 4 - the resting potential??
Na is forced out by Na/K ATPase (requires energy) This generates a conc gradient = voltage. The setup is now complete, everything from here on relies on passive movement of ions down their gradients.
147
What is happening at phase 0?
Depolarisation: Voltage gated Na Channel = Large number of Na+ ions enter the cell, causing the charge to increase
148
What is happening in phase 1?
Initial repolarisation: Transient outward Channel = K+ ions leaving the cell causing a small repolarization
149
What is happening at phase 2?
Plateau: Slow Calcium Channel = Calcium enters the cell and maintains depolarised state (SOME K+ leaves too)
150
what is happening at phase 3?
Repolarisation: Ca2+ channels close K+ leave cell This efflux of K+ contributes to a rapid decrease of membrane potential from +10 mV to -60mV. repolarisation
151
what is happening in phase 4?
Resting Phase * K+ channels open * Maintained by Na+ and K+ATPase pumps * 3NA+ inos out for every 2K+ ions in
152
What does this graph show?
Cardiac action potential
153
How does active potential propogation work?
Exits SAN and spreads to other cells through gap junctions called connexins which activates other myocytes (Na+ ions depolarise adjacent cells) ## Footnote AV node and purkinje fibres have a similar action potential but generated at slower rate
154
Contraction of the heart muscle requires (appropriately-timed) delivery of [a] ions to the cytoplasm. This is called [b]
[a] Ca2+ [b] Excitation-contraction coupling
155
Step 1 of Excitation-Contraction Coupling
Calcium influx through surface ion channels
156
Step 2 of Excitation-Contraction coupling:
Amplification of [Ca2+] - Calcium induced calcium release The calcium entering the the cell through the surface channels is insufficient on its own to cause an action potential. ## Footnote so calcium in the cell in the cell has two sources: ECF and SR
157
w
157
what facilitates calcium induced calcium release from the sarcoplasmic reticulum?
Ryanodine receptors. ## Footnote This calcium-triggered calcium release is in contrast to skeletal muscle, where the action potential triggers calcium release directly.
158
how does the influx of clacium cause contraction?
Calcium binds with troponinC on the actin filament, which frees up the binding site, allowing myosin to bind to actin. Myosin Head rowing (using atp) pulls slides the thin filments closer together. Shortens sarcomere = contraction
159
how is calcium removed from the sarcoplasm?
Calcium pumped OUT of sarcoplasm INTO sarcoplasmic reticulum by: 1. SERCA 2 INTO ECF by: 2. Na/Ca/ATP pump (Na then removed) ## Footnote muscle relaxation
160
what is excitation-contraction coupling?
Cardiac myocytes have t tubules and entry of Ca++ leads to filaments contracting with actin-myosin coupled movement.
161
what are the three specialist conduction tissues involved in excitation-contraction coupling?
SAN AVN His-Purkinje
162
what is the role of the SAN in excitation-contraction coupling?
determines HR Resting membrane potential is -60mV. Hyperpolarisation results in HCN opening and Ca++ entering which leads to depolarisation of cell. | NB HCN = for the SAN not the myocyte
163
what is the role of the AVN in excitatino-contraction coupling?
slows down the exit of electrical impulses from atria to ventricle by 100-200ms - allows time for atria to contract and ventricles to fill
164
what is the role of the His-Purkinkje system in exitation-electrical coupling?
rapid electrical conduction to the ventricles -lots of gap junctions = rapid spread of conduction
165
What is sympathetic stimulation of the heart controlled by?
Adrenaline and noradrenaline + type 1 beta adrenoreceptors Increases adenylyl cyclase increases cAMP
166
what does an increase in sympathetic stimulation lead to?
Increases heart rate (up to 180-250 bpm) Increases force of contraction Large increase in cardiac output (by up to 200%)
167
what is parasympathetic stimulation controlled by?
Acetylcholine M2 receptors – inhibit adenyl cyclase  reduced cAMP
168
what would an increased parasympathetic stimulation lead to?
Decreased heart rate (temporary pause or as low as 30-40 bpm) Decreased force of contraction Decreased cardiac output (by up to 50%)
169
What is the AV node's role in excitation-contraction coupling?
Transmits cardiac impulse between atria and ventricles Delays impulse Allows atria to empty blood into ventricles Fewer gap junctions AV fibres are smaller than atrial fibres Limits dangerous tachycardias
170
where is the fastest conduction velocity in the heart? where is the slowest?
fastest = purkinje fibres 4m/s slowest = AV node 0.3-0.5m/s Speed is dependent on; * Ion movement in/out * Interconnectedness – number of gap junctions
171
what is the role of the his-purkinje system in excitation-contraction coupling?
rapid electrical conductions into ventricles. =To allow coordinated ventricular contraction Very large fibres High permeability at gap junctions
172
what is the refractory period?
Time in which myocardial cells cannot depolarise again -Normal refractory period of ventricle approx 0.25s (Less for atria than for ventricles) -Prevents excessively frequent contraction -Allows adequate time for heart to fill
173
how does cell automaticity work?
Slow Na+ influx via ‘funny’ current Automaticity varies throughout the heart but all tissues capable of automaticity
174
175
# all patients take medicine
## Footnote note which intercostal spaces 2, 2, 4, 5
176
What are the 4 layers of the heart, from outermost to innermost
Pericardium, Epicardium, Myocardium, Endocardium
177
Describe the two layers of the pericardium (sac) bonus: what cells make up the fibrous sac?
Fibrous = Tough outer layer of connective tissue which anchors the heart to the mediastinum. Serous = Simple squamous epithelial: *Parietial = inner surface, secretes fluid * Visceral = outer surface of the heart fibrous sace = layer of squamous mesothelial cells resting on a thin layer of connective tissue
178
Describe the epicardium
Layer of fatty connective tissue that covers the surface of the heart, and great vessels.
179
Describe the myocardium
Muscular middle layer of the hearts, containing specialised cardiac muscle cells (myocytes)
180
Describe specialised Cardiac myocytes
striated, branching, single central nuclei with intercalating discs
181
what are the intercalated discs in myocytes?
specialised connections between myocytes that connect actin filaments.
182
what junctions are present in intercalated discs of myocytes? what are their functions?
gap junctions = allow cell to be electrically coupled (ion flow) adhering junctions = bind cell together (bind cytoskeletons) desmosomes = bind cell together (bind cytoskeletons)
183
What is A pointing to? What do they contain a small number of?
Endomysium This is loos fibrous connective tissue that contain a small number of lymphocytes
184
where are the largest myocytes found?
left ventricle
185
What is N? What does it secrete?
neuroendocrine granule. secretes atrial natriuretic peptide
186
when is atrial natriuretic peptide secreted?
when cells in the heart are excessively stretched. (decreased in r | (due to increase in H2O, Na and K secretion from kidney) ## Footnote Atrial natriuretic peptide (ANP) is a cardiac hormone that regulates salt-water balance and blood pressure by promoting renal sodium and water excretion and stimulating vasodilation in glomerulus
187
what is this? where are they found? what is this stained with?
Purkinje fibres Found in ventricles stained with PAS
188
What is the innermost layer of the heart? What is it made from?
Endocardium. Thin layer of fibrous connective tissue + single flat layer of endothelial cells.
189
What are the valves of the heart lined with?
endocardium
190
What are the three layers of the valves?
Fibrosa, Spongiosa, Ventricularis | doesnt stain with h&e
191
The Left Cx artery supplies...
Left Atrium and Left Ventricle | Posterior of heart (BACK)
192
The Left Anterior Descending Artery supplies...
Right Ventricle, Left Ventricle, Interventricular Septum | Anterior heart
193
# RaceCarsrandomlyAggitateReallyViolentRodentsMakingRatatouillVioletApples The Right Coronary Artery supplies...
the right atrium and right ventricle
194
The left marginal Artery supplies...
The left ventricle
195
the right marginal artery supplies...
the right ventricle and apex
196
lol good luck
197
OVERVIEW OF PLATELET PLUG FORMATION 1. Damage to blood vessel leads to exposure of [a] 2. [b] of platelets to collagen directly through [c] leads to exposure of [d] 3. [e] binds to collagen through [f] and increases platelet adhesion 4. Platelet contains 2 types on granules: [g] 5. Electron dense granules release [h x3] . ADP acts on [i x 2] which lead to further activation and ATP binds to [j] 6. [k] binds to PAR1 and PAR4 – resulting in platelet activation 7. During activation, platelets [l] which increase surface area 8. Activation of platelets leads to increase expression of [m] and [n] secreted from alpha granules bind to it which results in new platelets to adhere to old ones – This is [o] 9. Platelets produce [p] which play a part in vasoconstriction – reduced blood flow which aids in forming the primary haemostatic plug [q x 2] stimulate vasoconstriction
[a] Collagen [b] Adhesion [c] GPIa [d] GPIIb/IIIa [e] Von Willebrand Factor [f] GP IIb/IIIa [g] electron dense & alpha [h] ADP/ATP, serotonin and Calcium [i] P2Y1 & P2Y12 [j] P2X1 [k] Thrombin [l] change shape [m] IIb/IIIa [n] fibrogen [o] platelet aggregation [p] thromboxane A2 [q] thromboxane & serotonin
198
where is Von Willebrand factor produced?
endothelium cells
199
Platelet activation is caused by various factors: * Binding of platelets to collagen fibre triggers the release of the contents of their secretory vesicles via [a] * Platelets binding to collagen leads to release of [b] * Thrombin binds to [c] which leads to release of [d] from dense granules and [e] * [f] binds to TPα
[a] exocytosis [b] Thromboxane A2 [c] PAR1 [d] ADP [e] PAR4 [f] free thromboxane A2
200
# x4 What do alpha granules in platelets secrete?
PDGF, fibrinogen, heparin antagonist PF4 and vWF
201
what enzyme enables the production of Thromboxane A2?
COX1 (Cyclooxygenase 1) = key in platelet aggregation and stiumlates | Thromboxane A2 binds to TPα
202
What is arachidonic acid converted to in the presence of COX1 alone?
Prostaglandin H2, which is then converted into Thromboxane A2
203
In endothelial cells, the presence of COX! and COX2 convert arachidonic acid into...
prostaglandin H2 and Prostacyclin | this inhibits platelet aggregation and vasoconstriction.
204
Low dose Aspirin inhibits [a] therefore....?
[a] Cox1 so less thromboxane A2 so less aggregation/activation
205
high dose aspirin inhibits [a] which means....
[a] COX1 and COX2 in the endothelial cells Which means there is inhibition of both processes...non-selectively mediating both pathways (increased aggregation and reduced aggregation}. | dangerous in patients with cardiovascular problems.
206
What is the coagulation cascade? What is its ultimate "goal"
process of blood clotting goal = to convery soluble fibrinogen into fibrin | not to be confused with platelet plug formation which allows the bleedin
207
What is the extrinsic pathway of the coagulation cascade?
* damage to the endothelial cells => releases tissue factor VII (TFVII --> TFVIIa) * TFVIIa ---> activates X = common cascade initiated
208
What is the Intrinsic pathway of the coagulation cascade?
Blood contacts endothelial collagen outside the lumen --> activates XII --> XI --> IX +VIII + phospholipids + Ca2+ ---> X
209
What happens in the common pathway of the coagulation cascade?
Xa converts prothrombin (II) --> thrombin (IIa) Thrombing converts Fibrogen (I) ---> Fibrin (Ia) and activates XIII Fibrin + XIIIa = crosslinking of fibrin = CLOT XI | Thrombin also gives **positive feedback** on factors V, VII, VIII and
210
How is Plasminogen converted to Plasmin?
via Intrinsic Activation Factor 7a + Extrinsic tissue Plasminogen Activator Factor 7a is part of the | Plasmin then leads to the degradation of fibrin
211
How is Fibring degraded in the fibrinolytic system?
Plasmin
212
What Three things happen in a vessel injury?
1. Vasoconstriction 2. Platelet Plug Formation 3. Blood Coagulation Cascade
213
where is the sinoatrial node?
crista terminalis of right atrium
214
At what voltage is the HCN channel opened? | Hyperpolarisiation Gated Nucleoside channels
-60mV
215
What do HCN channels allow the passage of?
Na+ ions. When open, Na+ move into cell = depolarisation from 60mV --> -40mV
216
What is the primary pacemaker of the heart? What can takeover if this is damaged?
Sinoatrial Node - spontaneously generates action potentials, modified by symp/para nerve fibres Atrioventricular Node, Bundle of His and Purkinje Fibres can take over.
217
what is the sinoatrial node's rate of depolarisation
60-100 per minute
218
what does catecholamine do?
has a positive chronotropic effect = faster repolarisation = reaches threshold faster = HR increase
219
what does acetylchlorine do?
slows down the opening of HCN | (hyperpolarisation gated cyclic nucleoside channels)
220
how does the activtion of myocadial cells differ from the activation of skeletal cells?
Myocardial = activated by adjacent cell (gap junctions, flow of ions) Skeletal = activated by nervous system myocyte contraction = 15x slower than skeletal (plateau phase of calcium channels)
221
Explain the steps of the cardiac cycle | pressure, blood flow and valves (not polarisation and waves here)
**1. Atrial Systole Begins** * After passive ventricluar filling (= 85% of blood in ventricle) * Atrial contracts and completes ventricular filling **2. Isovolumetric Ventricular Contraction (V Systole 1)** * Ventricular systole = contraction. Pushes AV valve close. (Semilunar still closed so...) **3. Rapid Ventricular Ejection (V systole 2)** * Ventricular pressure > arterial pressure = semilunar valves open and blood ejected **4. Ventricular Diastole - Reduced Ventricular Ejection** * Pressure in ventricles drop, blood flows back against semi luncar valves which closes them. * Blood flows into relaxed atria **5. Ventricular Diastole - Isovolumetric Ventricular Relaxation** * All chamers relaxed, ventricles fill passively
222
What is the first heart sound?
Mitral valve closing
223
what is the second heart sound?
aortic valve closing
224
what is preload? what factors might increase it?
load before ventricular contraction increased by: hypervolemia regurgitation of cardiac valves heart failure
225
what is afterload? What factors increase it?
Resistance the Left Ventricle must overcome to circulate blood. increased in : hypertension, vasoconstriction
226
what occurs with a leaky mitral valvel
Blood leaks back into the atrium from the ventricle, decreasing preload. On the **next beat** the ventricle has normal fillin **plus** what went back to atrium. Ventricle needs greater pressure, must work harder = **hypertrophy**
227
what is starling's law?
the stroke volume of the heart increases in response to an increase in the volume of blood in the ventricles, | positive ionotropic effect
228
what happens during left ventricular contraction? | systole
* wave of depolarisation * L Calcium tube opens * Ca2+ arrives at the contractile proteins * LV pressure > LA pressure * Mitral valve closes (1st heart sound) * Isovolumic contraction = LV pressure>Aortic pressure * Aortic Valve opens...Rapid ejection ## Footnote R peak on ECG
229
What happens during ventricular relaxation? | Diastole
* LV pressure peaks and then decreases due to ejection * Cytosolic Ca++ is taken up into the Sarcoplasmic reticulum * Reduced ejection phase * LV pressure < Aortic pressure : aortic valve closes (second Heart Sound A2) * Isovolumic relaxation and Mitral valve opens
230
What happens during ventricular filling?
* LVp
231
what is shortened when heart beats faster? diastole or systole?
diastole - relaxation time shorter | systole/contraction time always the same
232
When is **Systole** physiologically vs cardiologically?
Physiologically: Isovlumic contraction and Maximal ejection Cardiologically: M1 - A2 and a part of isovolumic contraction
233
When is **Diastole** physiologically and cardiologically?
Physiologically: Reduced contraction, Isovolumic Relaxation and Filling Cardiologically: A2 - M1
234
What is the force-length interaction?
The force produced by the skeletal muscle declines when the sarcomere is less than the optimal length. | If cardiac sarcomere is at 80% of the optimal length, only 20% of maxima
235
what is contractility?
the ability of the heart muscle to contract and thereby pump blood
236
what is elasticity?
ability to recover normal shape after systolic stress
237
what is compliance?
how easily a chamber of the heart or the lumen of a blood vessel expands when it is filled with a volume of blood.
238
what is diastolic distensibility?
the pressure required to fill the ventricles to the same diastolic volume
239
what are pressure volume loops?
reflects contractility in the ESV and compliance in the EDV.
240
What are the main components of the myocardium?
Contractile tissue Connective tissue Fibrous frame Specialised conduction system
242
Why is a heart valve infection difficult to treat?
because there is no blood supply to valves - antibiotics can't reach
243
The pumping action of the heart depends on...
interactions between the contractile proteins in its muscular walls
244
interactions between contractile proteins transform [a] into [b] which pumps blood.
[a] chemical energy derived from ATP [b] mechanical work
245
how are contractile proteins activated?
by a signally processs called excitation-contraction coupling. | an electrical impulse that induces a chemical change that induces a mech
246
excitation-contraction coupling begins with [a] and ends with [b]
[a] depolarisation [b] Ca2+ binding to the contractile apparatus ## Footnote action potential depolarises the cell. Ca2+ in cytosol binds to Ca2+ receptor of the contractile apparatus
247
Contraction = Movement of Ca2+ [a] the cytosol is a [b] process (mediated by Ca2+ channels) Relaxation = Movement of Ca2+ [c] the cytosol which is a [d] process (mediated by ion exchangers and pumps)
[a] into [b] downhill [c] out of [d] uphill (requires much energy!)
248
Name the 4 main components of the myocardium
1. Contractile tissue 2. Connective tissue 3. Fibrous frame 4. Specialised conduction system
249
what does the plasma membrane of the myocardial cell do?
* regulates the excitation-contraction coupling and relaxation * Seperates the cytosol from the sarcoplasmic reticulum
250
what is a sarcomere?
the contractile unit of a myocyte
251
Contractile proteins are arranged in a regular array of...
thick and thin filaments
252
What are the thick filaments of the sarcomere? What bands are comprised of them?
Myosin A-band
253
What are the thin filaments of the Sarcomere? What bands are compromised of them?
Actin, Troponin, Tropomyosin I-band
254
Sarcomeres are defined by a [a] on either side that bisect each [b]
[a] Z line [b] I-band
255
Contraction is the [a] action of [b] over [c] which is fuelled by [d] by [e] found in [f]
[a] rowing/sliding/walking action [b] myosin [c] actin [d] ATP hydrolysis [e] ATPase [f] myosin head
256
How does the presence of calcium effect Myosin's ability to bind to Actin?
TroponinC prevents blocks the myosin binding site of the actin, so they are not able to bind. When calcium is present, the troponinC moves away to bind to the calcium, opening up the binding site and allowing it to bind to the myosin again.
257
what is the sarcolemma?
plasma membrane of the muscle
258
what are the transveres tubules?
extensions of cell membrane that penetrates into the centre of muscle cells (skeletal and cardiac)
259
What does the sarcoplasmic reticulum do?
Hydrolyse ATP in ADP+P lets Ca2+ into organelle and releases it when activated
260
* Action potential arrives along the [a] and passes down the [b] and [c] the membrane. * Leads to release of [d] from [e] into the cytosol * Ca++ binds to TnC which [f] * This allows for the globular head of the myosin to interact with the groove of the thin-actin filament = [g] * [h] is required for the contraction and ATP hydrolysis (ATPase on myosin) breaks apart the the Ca++-TnC bond and the groove of the actin is partially blocked by the tropomyosin and TnI subunits. * The [i] action by the myosin leads to the sliding action of actin along myosin, thus **shortening of the sarcomere and causes contraction.**
[a] Sarcolmma [b] t tubule [c] depolarises [d] Ca2+ [e] sarcoplasmic reticulum [f] pulls the TnI and tropomyosin away and opens up the binding site [g] Crossbridge formation [h] ATP [i] power stroke
261
262
Explain why after a certain length of sarcomere, tension/force drops
At the shortest length, the opposing actin/myosin relationships are distroted so minimal force is able to be generated. There is optimal length for maximal myosin/actin interactions at 2.2um: increases Ca2+ sensitivity of troponin C, INcreases Ca2+ release from SR With further lenghtening, the ends of actin filaments start moving beyond myosin heads to no interaction and no force generated.
263
What is the name of this curve? Explain the initial increase and the decrease.
Frank Starling Curve Increase EDV = Increase Contraction = Increase SV - this is because when a muscle is stretched, the distance between the myosin and actin filaments decreases so the cross bridge interactions increases so the muscle can generate more force. +ED venous return = +EDV = +Muscle stretch = -Distance between actin and myosin = +cross-bridge interactions = +ED force = +Stroke Volume Beyond this point is LV dysfuntion
264
what is afterload and when does it occur?
the pressure that the heart must generate in order to eject blood out of the heart. SYSTOLE
265
what is preload and when does it occur?
the ventricular stretch at the end of the diastole. depends on the amound of ventricular filling
266
How do you calculate CO?
CO = HR x SV
267
How do you calculate BP?
BP = CO x TPR
268
what is TPR?
Total peripheral vascular resistance = the resistance to blood flow in the systemic vessels, specifically the arterioles, in the body Increased TPR = reduced blood flow to tissues Reduced TPR = increased blood flow to tissues
269
How do you calculate PP? | pulse pressure
PP = Systolic - Diastolic
270
How do you calculate MAP? | Mean arterial pressure?
MAP = Diastolic + (PP/3)
271
How do you calculate SV?
SV = EDV - ESV
272
what are the main controllers of blood pressure?
the **arterioles**. Principle site if resistance to vascular flow. Contract/relax in repsonse to: local, hormonal, neural fatcors
273
What is Total Peripheral Resistance essentially?
Total Arteriolar Resistance... Vascular smooth muscle, contractr and relaxes to adjust radius which has huge effect on the flow.
274
**Arteries** provide [high/low] resistance due to the [x] properties. Their media comprises layers of [x] which cushion systole.
Low resistance elastic smooth muscle and elastin
275
**Capillaries** cover a large area and provide a [slow/fast] flow to allow time for nutrient and waste exchange. [x] or [y] flow determine the distribution of ECF between these compartments. Flow is also determined by [a] and [b]
slow flow. [x] plasma [y] interstitial fluid [a] arteriolar resistance [b] number of oopen pre-capiliary sphincters.
276
**Veins** hold [a]% of blood but have a resistance of only [b]mmHg [c] and [d] facilitate blood return [e] aid venous return against gravity and prevent backflow [f] - nervous system mediate vascoconstriction to maintain venous return/pressure.
[a] 70 [b] 10mmHg [c] Skeletal muscle [d] Respiratory pump [e] valves [f] Sympathetic
277
Lymphatics drain [a] of excess fluid/proteins filtered from the capilliaries. They return this fluid to the [b] System through the [c]. Unidirectional flow aided by : [d] [e] [f]
[a] interstitial [b] Cardi Vascular [c] thoracic ducts [d] smooth muscle - lympatic vessels [e] skeletal muscle - pumps [f] Respiratory pumps
278
the respiratory pump enable venous return by:
inhalation pushes diaphram down to increase abdominal pressure and decreases thoracic pressure. this **pressure difference** allows venous return.
279
What regulates blood volume? why is its regukation important?
RAAS, ADH, Adrenals and Kidneys. Important for beat to beat of heart (FS mechanism) Important long term moderatory.
280
what is blood pressure?
pressure of blood within and against the arteries.
281
what are the 5 components of BP control? (+ 1 bonus)
**1. Autoregulation** **2. Local humoral** **3. Circulating humoral** **4. Baroreceptors** **5. Central neural** **(6.Central chemoreceptors)**
282
Autoregulation controls BP by the stretching of [___ ____ ___ ] This is [a] autoregulation which varies from excellent in the [a,b,c] moderate in the [d, e] and poor in the [f] It is an intrinsic mechanism in the [?]
[--] Vasular smooth muscle [a] immediate [heart brain and renal] [skeletal splanic] [skin] [heart brain skin]
283
Give an example of a potent local vasoconstrictor. Give and example of a potent local vasodilator (x2)
Local Vasocontrictor: Endothelian Local Vasodilator: NO and Prostacyclin
284
What are 3 circulating hormonal vasoconstrictor? 2 x dilators?
* SKIN Epinephrine, Angiotensin II, Vasopressin * MUSCLE Epinephrine, Atrial Nateuretic Peptide
285
where are primary baroreceptors found?
aortic arch (increase bp) and carotid sinus(increase and decrease BP)
286
where are secondary barorecptors found?
veins, myocardium and pulmonary vessels
287
Increased bp sensed by carotid baroreceptors which is then sent via the [a] to the medulla where there is increased firing which results in stimulation of [a] nerve and [c] in sympathetic stimulation. Results in [d] CO and TPR. BP=COxTPR
[a] glossopharyngeal (IX) [b] parasympathetic (X) [c] decrease [d] decrease
288
[--] baroreceptors = short term regulation of BP If the baseline deviates for more than a few days, the base line is adapted --> [--]
[---] Arterial baroreceptors [---] Hypertension
289
when [---] baroreceptors are stimulated, [---] is secreted and you have decreased vasoconstriction and decreased BP, and therfore decreased release of [a] [b] [c] which leads to fluid loss. Therefore key in blood volume regulation. Maladaption of this would lead to... [d]
[---] cardiopulmonary [---] ANP [a b c] Angiotensin, aldesterone and vasopressin [d] Heart failure
290
what are the main neural influences on the medulla?
* Baroreceptors * Chemorecpetors * HYpothalamus * Cerebral Cortex - stress * Skin - temp * O2 CO2
291
Chemoreceptors are: [a] High [b] --> vaso[c] --> increases [d] --> increases [e] Similar changes with the [f] [g] has less of an effect on medulla, (mainly peripheral)
[a] chemosensitive regions in th medulla High CO2 = vasoconstriction = increased resistance = increased BP [f] pH [g] O2
292
Peripheral chemoreceptors can be found where? What are they mainly sensitive to? Central chemoreceptors are found where? what are they mainly sensitive to?
Peripheral * Carotid and aortic bodies. * mainly sensitive to O2 Central * medulla * mainly senstive to CO2 and pH
293
short term BP control:
baroreceptors
294
long term bp control
volume of blood
295
how many axillary lymphg nodes are there?
5
296
what are the branches of the subclavian artery?
* axilliary artery ---> lateral thoracic artery * internal thoracic artery
297
at what level does CNX exit the diaphram. what does it run alongside?
Vagus exits diaphram at T10 runs alongside Oesophagus in posterior mediastinum
298
where does the phrenic nerve originate? where does it exit the diaphram, and alongside what?
phrenic nerve orgintes at C3,4,5 descends in anterior mediastinum. exits diaphram at T8 alongside vena cava (8 letters)
299
how is pain in the ischeamic myocardium felt? how is pain in the diaphram felt?
300
which rib is continuous with the angle of louis/ sternal angle? what else does thie angle of louis/sternal angle indicate?
2nd rib - T4/5 bifurcation of trachea upper border of heart
301
what does the manubrium articulate with
clavicle and first rib laterally
302
how many pairs of ribs do we have?
12
303
what ribs comprimise the: costal margin? True ribs? False ribs? floating ribs?
costal margin = 7-10 tru ribs = 1-7 false ribs = 8-10 floating ribs = 11 + 12
304
by which joints do the ribs join to the vertebrae?
**COSTOVERTEBRAL joint: ** The HEAD of the RIB articulate with the vertebral BODY **COSTOTRANSVERSE joint: ** The TUBERCLE of the rib articulate with the TRANSVERSE PROCESS of the vertebrae
305
what are the three intercostal muscles? bonus: where is the neurovascluar bundle found?
External - anteroinferior (inspiration, pulls rib up) Internal - posteroinferior (expiration pulls rib down) Innermost - postoinferior neurovascular bundle between internal and innermost layer
306
307
what are the four borders of the heart?
308
where is the apex of the heart located?
5th intercostal space - left midclavicular line
309
how are artioventricular valves shut?
the chordae tendinae, held by papillary muscles are pulled by Trabeculae Carnae (irregular muscle ridges)
310
draw the branches of the aortic arch
311
draw out the coronary arteries and what they supply!!
312
what is heart dominance?
whether the PDA (supply to the AV node) is supplied by the LCA or RCA
313
what % of people or right heart dominent? what % are left heart dominant? what & are both?
70% Right 10% Left 20% both
314
what is the Posterior Descending Artery (PDA) also known as? what does it supply?
Posterior Inverventricular Artery (PDA = PIV) AV node and posterior 1/3 of IV septum
315
what is the SAN suplied by?
60% of people=RCA 40% of people=LCA
316
what supplies the AVN?
Posterior Descending Artery (aka PIV) | this can be from LCA or RCA (90% RCA)
317
where do the coronoary sinus (small and great cardiac veins) drain into?
directly into the right atrium
318
what are the locations of valve ausculations?
## Footnote All Patients Take Medicine mitral at 5th IC space
319
Why are incisions made in the middle to lower part of the intercostal space?
To avoid the neurovascular bundle which is found at the superior part of the intercostal space
320
An occlusion in which coronary artery is most likely to be fatal?
LCA: Since it branches into the Cx and LAD which supplies left output to the body
321
how many litres of blood can be found in the human body?
5L
322
what are the constituents of blood?
323
what is plasma?
Plasma is the liquid component of blood. Proteins: Albumin, Globins, fibrinogen Hormones Clotting factors Minerals Water
324
what is blood serum?
blood plasm without the clotting factors
325
what is the lifespan of an erythrocyte?
4 months
326
describe the shape of an erythrocyte
anucleate, biconcave, 6–8 µm
327
where are erythrocytes produced?
Adult
328
IgG is mostly involved in primary or secondary immune response?
secondary
329
what does noradrenaline do?
stimulate sympathetic nervous system (fight/flight)
330
what are metabolites, give some examples. what do they do?
Tissues that undergo respiration (metabolically active) release metabolites Most important: H+, CO2, K+, adenosine, lactate These all cause vasodilation Metabolite build up in tissues = vasodilation = reduced TPR = more blood flow to area
331
Which ion channels are open during the plateau phase of the cardiac action potential? Calcium channels and potassium channels. Sodium channels only. Calcium channels only. Calcium channels and sodium channels. Potassium channels only.
calcium and potassium channels
332