Cardio Flashcards

(34 cards)

1
Q

Cardiopathie la plus retrouvée chez Turner

A

Bicuspidie valve aortique (50%)
CoA < 10%

How well did you know this?
1
Not at all
2
3
4
5
Perfectly
2
Q

Prise de lithium maternelle quelle anomalie cardiaque?

A

Ebstein’s

How well did you know this?
1
Not at all
2
3
4
5
Perfectly
3
Q

Prise maternelle de phénytoine (dilantin) quelles anomalies cardiaques (2)

A

Sténose pulmonaire
Sténose aortique

How well did you know this?
1
Not at all
2
3
4
5
Perfectly
4
Q

Diabète chez mère: quelles anomalies cardiaques (3)?

A

Cardiomyopathie hypertrophique
CIV
Transposition des gros vaisseaux

How well did you know this?
1
Not at all
2
3
4
5
Perfectly
5
Q

Signes d’ hyperkaliémie à l’ECG (4)

A

Ondes T pointues
QT diminué
Augmentation du PR
Augmentation du QRS

How well did you know this?
1
Not at all
2
3
4
5
Perfectly
6
Q

3 souffles qui sont plus apparents en position debout (standing)

A

Cardiomyopathie hypertrophique
Mitral valve prolapse
Souffle de still

How well did you know this?
1
Not at all
2
3
4
5
Perfectly
7
Q

2 causes de B2 dédoublé fixe

A

CIA
Bloc de branche droit (exemple dans TOF opérée)

How well did you know this?
1
Not at all
2
3
4
5
Perfectly
8
Q

2 syndromes avec sténose valve pulmonaire

A

Noonan
Alagille

How well did you know this?
1
Not at all
2
3
4
5
Perfectly
9
Q

Quelle CHD? Qq heures de vie, B2 fort et unique, cyanose, pas de souffle?

A

Transpo des gros vaisseaux

How well did you know this?
1
Not at all
2
3
4
5
Perfectly
10
Q

B2 fort = associé à quelle patho?

A

HTAP sévère (B2 unique fréquent)

How well did you know this?
1
Not at all
2
3
4
5
Perfectly
11
Q

Malfo cardiaque Marfan et PEC

A
  • AD FBN1
  • Dilatation aortique/dissection aortique
  • Prolapse mitral

B-bloqueurs, ARA pour réduire la progression de la dilatation
Pas de sport contact/musculation
Chx si aorte > 5 cm

How well did you know this?
1
Not at all
2
3
4
5
Perfectly
12
Q

Holt Oram syndrome

A

Heart-hand syndrome
AD
- Malfo des MS/mains
- aN cardiaque: CIA, CIV, bloc AV

How well did you know this?
1
Not at all
2
3
4
5
Perfectly
13
Q

Malfo cardiaque Williams

A

Sténose aortique SUPRAVALVULAIRE
Sténose pulmonaire périphérique

How well did you know this?
1
Not at all
2
3
4
5
Perfectly
14
Q

Malfo cardiaque DiGeorges

A

Interruption de l’arc aortique
Tronc artériel commun
TOF

How well did you know this?
1
Not at all
2
3
4
5
Perfectly
15
Q

Pathos donnant souffle de régurgitation/holosystolique (3)

A

CIV
Régurgitation mitrale
Régurgitation tricuspidienne

How well did you know this?
1
Not at all
2
3
4
5
Perfectly
16
Q

Clic d’éjection mid-systolique quelle patho?

A

Prolapse mitral

17
Q

Triggers syndrome QT long

A

LQT1(+ fréquent): exercice, natation, émotions fortes
LQT2: alarmes, bruits forts
LQT3: sommeil, repos

18
Q

Tableaux Rx associés au QT long (en nommez 1 par classe!)

19
Q

Doses adénosine pour TSVP

A

1 0,1 mg/kg

#2 0,2 mg/kg

Après 2 doses, si pt stable, considérer anti-arythmique PO

Si instable, cardioversion synchrone 0,5-1 J/kg, possible d’augmenter à 2 J/kg

20
Q

Quelle trouvaille à cet ECG?

A

PR court, delta wave
WPW
Risque augmenté de fibrillation auriculaire et fibrillation ventriculaire
Tx ablation, beta-bloq

21
Q

WPW associés à quelles malfo cardiaques (2)

A

Ebstein’s
L-TGV

22
Q

Bloc AV complet quelles pathos? (5)

A
  • Lupus néonatal
  • Lyme
  • RAA
  • Myocardite idiopathique
  • Cardiomyopathie
23
Q

Types bloc AV tableaux

24
Q

Déviation axiale G, penser à quelle malformation cardiaque

25
Eisenmenger syndrome
long-standing left-to-right cardiac shunt caused by a congenital heart defect causes pulmonary hypertension and eventual reversal of the shunt into a cyanotic right-to-left shunt.
26
Cardiopathies cyanogènes
Tronc artériel commun (1) Hypoplastic left heart syndrome (1) TGV (2) Atrésie tricuspide (3) Ebstein (3 car aN TRIcuspide) Atrésie pulmonaire TOF (4) RVPAT (5)
27
TOF - nomme les 4 aN et trouvailles à l'e/p et RxP
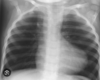
Déviation du septum infundibulaire qui donne: 1. Obstruction de la chambre chasse VD 2. HVD 3. CIV 4. Aortic overide PAS CA dépendant sauf si sténose pulm sévère Ss éjectionnel de sténose pulmaire *irradie au dos Blue spell Boot shape heart Diminution de la vascularisation pulmonaire
28
Truncus arteriosus Sx et e/p Trouvailles RxP
CIV large PAS CA dépendant Cyanose légère à la naissance Avec diminution des pressions pulm, pulmonary overcirculation et insuf cardiaque B2 fort et unique, parfois murmure de régurgitation si valve sténotique RxP: médiastinum étroit, augmentation de la vasculature pulm
29
Hypoplastic left heart syndrome Signes et sx RxP
CA dépendant et CIA dépendante Cyanose à la naissance Tableau de choc si fermeture CA ou CIA restrictive Pas de souffle, B2 unique, faible pouls RxP: augmentation de la vascularisation pulm
30
TGV Signes et sx RxP
CIA dépendant (Rashkind prn), pas CA dépendant B2 unique, pas de souffle Cyanotique Sat pré-post ductale similaires OU inversées si HTAP RxP: Egg on a string. Vascularisation pulm N ou augmentée
31
Atrésie de la tricuspide Signes et sx
Dépendant CIA et CIV CA dépendant seulement si sténose pulmonaire accompagnant Cyanose B1 fort, souffle CIV ECG: axe N-O (extrême) RxP: oligemic lungs, large OD
32
RVPAT Signes et sx RxP
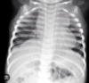
Retour pulmonaire dans le circulation D CIA dépendant WITHOUT pulmonary veinous obstruction - cyanose - surcharge pulm - B2 dédoublé fixe, B3 - RxP snowman si retour supracardiaque WITH pulmonary veinous obstruction (svt intracardiaque) - détresse respi sévère avec cyanose/choc - ATTENTION peut mimer MMH qui ne répond pas au surfactant - RxP: whiteout lungs
33
Ebstein Signes et sx RxP
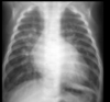
Si sévère, peut se présenter avec hydrops in utero sur IT sévère Cyanose 2nd shunt D -> G via FOP Hypoplasie pulm Clic sur valve tricuspide redondante, ss de régurgitation tricuspidienne holosystolique ECG: RBBB, PR prolongé, delta wave (WPW) RxP: Wall-to-wall heart avec dilatation sévère OD, oligemic lungs
34
Saturation pré-post coarctation
Diminué en post ductale, sur shunt D -> G