Cardio Flashcards

(31 cards)

1
Q

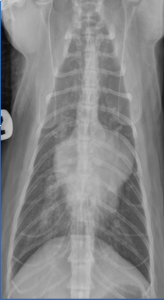
what is wrong with ? 12 YO Bichon mix with hx of frequent cough, esp. at night, high RR and HR, crackles on lung fields, left systolic HM, and many B lines on all lung fields with LA:Ao >2:1.

A

MVD. note the alveolar pattern (can see bronchi), LA enlarged, sternal contact, the enlarged heart vessels, and the raised trachea (other causes of raised trachea are PCE, mediastinal mass, pleural effusion).

How well did you know this?
1
Not at all
2
3
4
5
Perfectly
2
Q

what is MVD

A

mitral valve disease = acquired myxomatous degeneration of left AVV causing mitral regurgitation (MR) and therefore systolic left-sided apex murmur; can take 4-6 years from murmur to CHF.
common! 80% of canine acquired heart disease

How well did you know this?
1
Not at all
2
3
4
5
Perfectly
3
Q

once left-sided acute CHF develops due to mitral valve disease, sinus arrhythmia disappears. why?

A

increased vagal tone causes sinus arrhythmia. when stressed, decreased vagal tone, so no sinus arrhythmia

How well did you know this?
1
Not at all
2
3
4
5
Perfectly
4
Q

what heart condition is most common in small/toy breeds, inherited in CKC Spaniels and male dachshunds? is early onset (3 years to CHF) and poorer prognosis in CKC Spaniels

A

mitral valve disease MVD

How well did you know this?
1
Not at all
2
3
4
5
Perfectly
5
Q

when do we start treatment for mitral valve disease?

A

MVD stage B2 (asymptomatic dogs with advanced MR and imaging showing left chamber enlargement)
they benefit from treatment to DELAY ONSET of CHF

How well did you know this?
1
Not at all
2
3
4
5
Perfectly
6
Q

what is the gold standard for MVD diagnosis

A

echocardiography to see contractility, leaky valve, LA and ventricular enlargement
other non gold standard: cardiac POCUS, brain natriuretic peptide, and thoracic radiographs

How well did you know this?
1
Not at all
2
3
4
5
Perfectly
7
Q

briefly describe tailored therapy for stage B2 MVD

A

pimobendan, ACEi, weight control diet +/- sodium reduction

(more details: pimobendan 0.25-0.3 mg/kg PO q12h
ACEi (benazepril, enalapril) if progressive left chamber enlargement
weight control diet and possible sodium reduction
controversially) cough suppressants
exam 2-4x year)

How well did you know this?
1
Not at all
2
3
4
5
Perfectly
8
Q

briefly describe chronic therapy for dogs with MVD post-CHF who have NOT had recurrent episodes

A

lower sodium diet and weight control, furosemide, pimobendan, and ACEi

(more details: furosemide 2 mg/kg PO q12h tapered to lowest possible dose, pimobendan 0.25-0.3 mg/kg PO q12h, ACEi (benazepril or enalapril 0.5 mg/kg PO q12-24h
labwokr and PE 1 week after start, then 1 month, then q3mo, with thoracic rads, and checking renal values and K+)

How well did you know this?
1
Not at all
2
3
4
5
Perfectly
9
Q

briefly describe chronic therapy for dogs with MVD post-CHF who HAVE had recurrent episodes

A

increase furosemide dosage beyond 2 mg/kg and add spironolactone (diuretic)
increase pimobendan to q8h dosage (0.25-0.3 mg/kg PO)
increase ACEi to q12h dosage (benazepril or enalapril 0.5 mg/kg PO)
strictly control weight, exercise, and low sodium diet
carefully monitor renal values to avoid cardio-renal syndrome

How well did you know this?
1
Not at all
2
3
4
5
Perfectly
10
Q

MVD post CHF prognosis: treatment with pimobendan and ACEi ______ survival after CHF, increasing dosage of furosemide _____ survival, and ruptured chord tendinae have ______ prognosis

A

increases; decreases; worse

How well did you know this?
1
Not at all
2
3
4
5
Perfectly
11
Q

asymptomatic phase of MVD lasts _____ years before progressing to CHF, and post-CHF survival time is ____ years

A

4-6; 1-2

How well did you know this?
1
Not at all
2
3
4
5
Perfectly
12
Q

what is pulmonary arterial hypertension often secondary to?

A

secondary to chronic lower airway disease, eg. pulmonary bronchitis or pulmonary fibrosis

How well did you know this?
1
Not at all
2
3
4
5
Perfectly
13
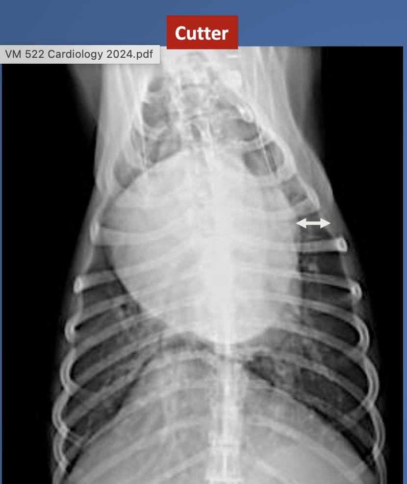
Q

what is wrong

A

PAH, pulmonary arterial hypertension. see large RV, RA, pulmonary artery.

How well did you know this?
1
Not at all
2
3
4
5
Perfectly
14
Q

lateral view showed enlarged LA and heart vessels. what is wrong?

A

DCM. this was lat view

How well did you know this?
1
Not at all
2
3
4
5
Perfectly
15
Q

what is dilated cardiomyopathy, DCM? what is it linked to?

A

acquired myocardial disease, cause unknown in most cases, but linked to certain GRAIN FREE DIETS. most common in large/medium breed dogs; it is autosomal recessive in Dobermans

How well did you know this?
1
Not at all
2
3
4
5
Perfectly
16
Q

what are PE findings for DCM

A

related to poor circulation…
– Gallop, soft systolic murmur
– New murmur or arrhythmia
– Atrial or ventricular tachyarrhythmia
– Pulse deficits
– Jugular distension/pulses, ascites
– Weight loss, cool extremities
– Exercise intolerance
– Syncope, sudden death (especially Doberman)

17
Q

what is gold standard diagnosis for DCM?

A

echocardiography
biomarkers (brain natriuretic peptide) are not Sp; thoracic rads, and ECG are not Se or Sp

18
Q

what medication do you give cats with CHF until respiratory effort improves

A

furosemide start at 2 mg/kg

19
Q

when would you perform thoracocentesis for cat with CHF

A

ONLY if pleural effusion is significant enough to be part of cause for dyspnea

20
Q

what is hypertrophic cardiomyopathy

A

most common acquired heart disease in cats; left ventricular concentric hypertrophy; a myocardial disease that leads to reduced diastolic filling

21
Q

do cats always get a heart murmur with hypertrophic cardiomyopathy

22
Q

ragdoll cat presents with crackles, dyspnea, quiet lung sounds, open-mouth breathing, mitral regurgitation, and cardiac POCUS with LA:Ao 3:1 and B-lines. what is likely diagnosis?

23
Q

what is gold standard for diagnosis of HCM in cats

A

echocardiogram

24
Q

at what stage do you start treating CHF in cats?

A

stage B2, same as in dogs

25
what does treatment of stage 3 CHF in cats involve
furosemide 1-2 mg/kg q12h, ACEi 0.25-0.5 mg/kg q24h, clopidogrel or aspirin if large LA or presence of "smoke' (pre-thrombi), +/- beta blockers and pimobendan
26
what is prognosis for lifespan with HCM in cat? what influences prognosis?
asymptomatic 3-4 years, after CHF 1-2 years left atrial size and age decreased prognosis if. at develops ATE, poor prognosis and very short survival progresses rapidly in purebreds
27
won't be examined, but what is DCM often associated with in cats
taurine deficiency
28
6 year old boxer presents with multiple episodes of syncope each day for last several days. what electrical disease do you suspect?
arrhythmogenic right ventricular cardiomyopathy (ARVC) this autosomal dominant disease leads to ventricular arrhythmias, syncope, and possibly sudden death. it presents at age 6-10 years in Boxers
29
what is gold standard diagnosis for arrhythmogenic right ventricular cardiomyopathy
ECG: look for VPCs. need holder monitor and echocardiography
30
how is ARVC treated in Boxers
antiarrhythmics sotalol, mexiletine (decrease number and complexity of VPCs and improve syncope), atenolol (not always treated. depends on C/S and how many VPCs)
31
how is heart worm disease diagnosed in dogs?
Snap 4DX: heartworm antigen other options: direct smear showing microfilaria, thoracic rads, and echocardiography