Caries interpretation Flashcards

(77 cards)

1
Q

What is the caries classification system used at UMKC?

A

IC= initial caries
MC= moderator caries
AC= advanced caries
RSC= root surface caries
RC= recurrent caries
B/Li= buccal or lingual caries

How well did you know this?
1
Not at all
2
3
4
5
Perfectly
2
Q
  • caries in the enamel layer
  • ranges from a demineralization defect at the proximal surface and can extend axially to contact the DEJ
A

Initial caries (IC)

How well did you know this?
1
Not at all
2
3
4
5
Perfectly
3
Q
A

initial caries (IC)

How well did you know this?
1
Not at all
2
3
4
5
Perfectly
4
Q
A

initial caries (IC)

How well did you know this?
1
Not at all
2
3
4
5
Perfectly
5
Q
A

initial caries (IC)

How well did you know this?
1
Not at all
2
3
4
5
Perfectly
6
Q
A

initial caries (IC)

How well did you know this?
1
Not at all
2
3
4
5
Perfectly
7
Q
A

initial caries (IC)

How well did you know this?
1
Not at all
2
3
4
5
Perfectly
8
Q
A

initial caries (IC)

How well did you know this?
1
Not at all
2
3
4
5
Perfectly
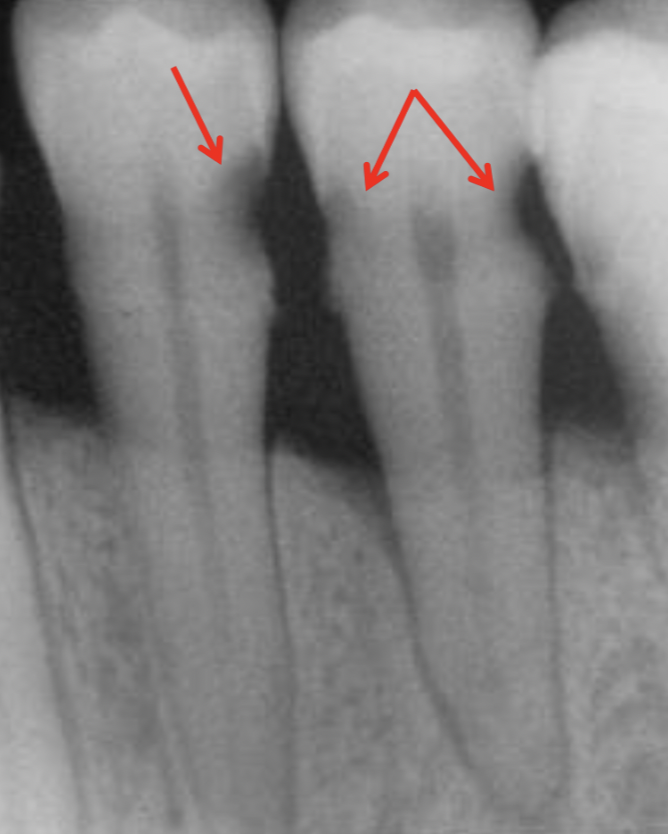
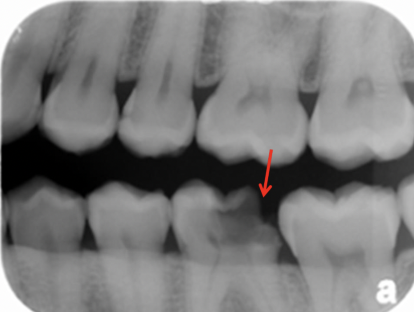
9
Q

Classify the caries

A

initial caries (IC)

How well did you know this?
1
Not at all
2
3
4
5
Perfectly
10
Q
  • spreading vertical at the DEJ

(and/or)

  • extending axially greater than 1/2 way in dentin layer
A

moderate caries (MC)

How well did you know this?
1
Not at all
2
3
4
5
Perfectly
11
Q
A

moderate caries (MC)

How well did you know this?
1
Not at all
2
3
4
5
Perfectly
12
Q
A

moderate caries (MC)

How well did you know this?
1
Not at all
2
3
4
5
Perfectly
13
Q
A

moderate caries (MC)

How well did you know this?
1
Not at all
2
3
4
5
Perfectly
14
Q
A

moderate caries (MC)

How well did you know this?
1
Not at all
2
3
4
5
Perfectly
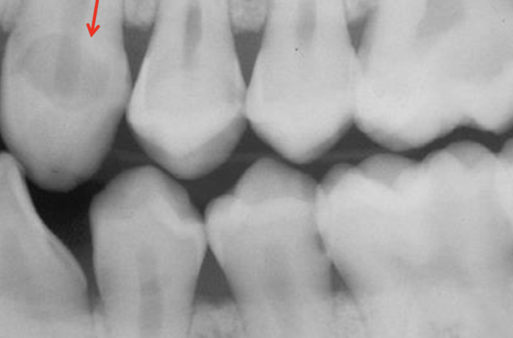
15
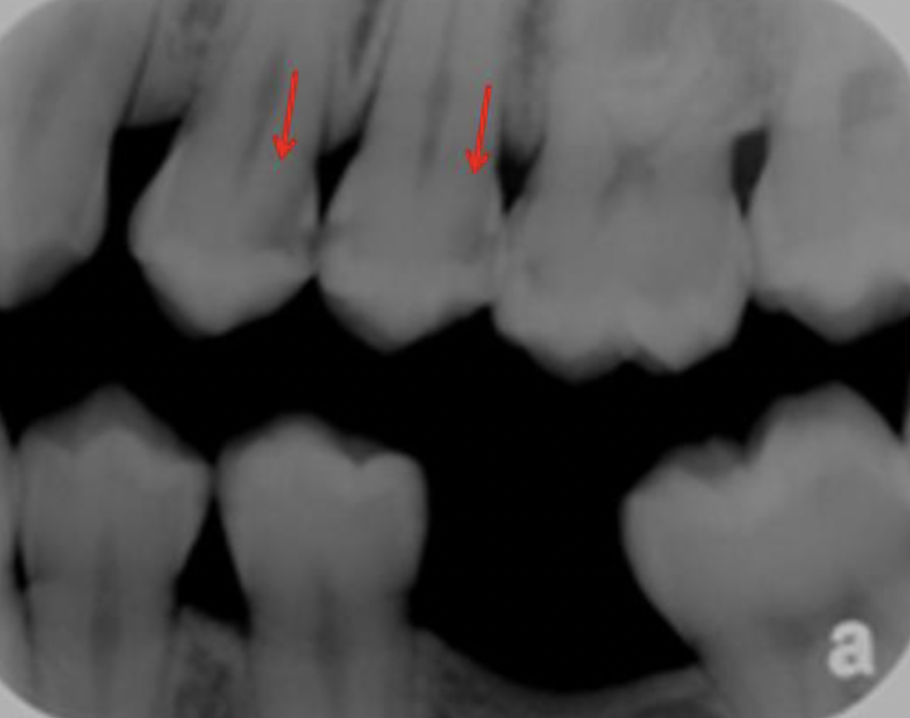
Q

Classify the caries

A

moderate caries (MC)

How well did you know this?
1
Not at all
2
3
4
5
Perfectly
16
Q
  • greater than or equal to 1/2 way into dentin layer and can extend axially to contact the pulp
A

advanced caries (AC)

How well did you know this?
1
Not at all
2
3
4
5
Perfectly
17
Q
A

advanced caries (AC)

How well did you know this?
1
Not at all
2
3
4
5
Perfectly
18
Q
A

advanced caries (AC)

How well did you know this?
1
Not at all
2
3
4
5
Perfectly
19
Q

Classify the caries

A

advanced caries (AC)

How well did you know this?
1
Not at all
2
3
4
5
Perfectly
20
Q

Classify the caries

A

advanced caries (AC)

How well did you know this?
1
Not at all
2
3
4
5
Perfectly
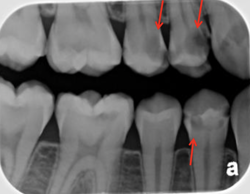
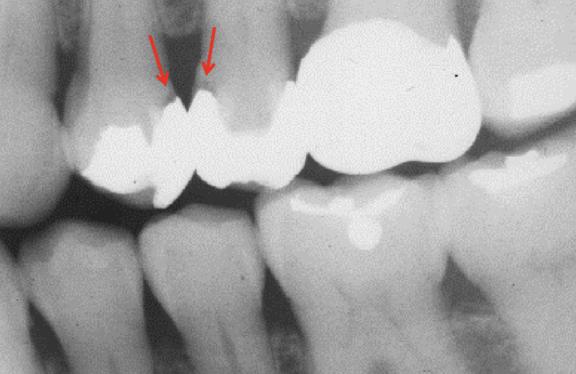
21
Q

Classify the caries

A

Root surface caries (RSC)

How well did you know this?
1
Not at all
2
3
4
5
Perfectly
22
Q
  • saucerized or scooped out appearance
  • 50% prevalence in geriatric population
  • most common in buccal premolar regions, then followed by lingual and interproximal areas
A

Root surface caries (RSC)

How well did you know this?
1
Not at all
2
3
4
5
Perfectly
23
Q

Classify the caries

A

Recurrent caries (RC)

How well did you know this?
1
Not at all
2
3
4
5
Perfectly
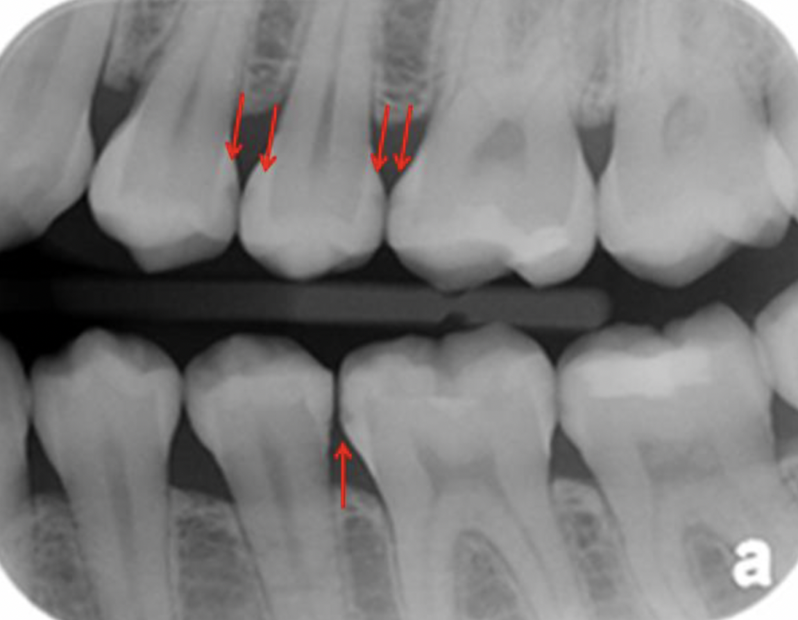
24
Q

Classify the caries

A

B/Li caries

How well did you know this?
1
Not at all
2
3
4
5
Perfectly
25
- difficult to localized on a single view - may superimpose pulp
B/Li caries
26
ICDAS:
international caries detection & assessment systen
27
What categories are included in ICDAS?
E1, E2, D1, D3, D3
28
According to ICDAS, classify the following caries: -lesion within outer 1/2 of enamel
E1
29
According to ICDAS, classify the following caries: -lesion within inner 1/2 of enamel
E2
30
According to ICDAS, classify the following caries: -lesion within outer 1/3 of dentin
D1
31
According to ICDAS, classify the following caries: -lesion within middle 1/3 of dentin
D2
32
According to ICDAS, classify the following caries: -lesion within inner 1/3 of dentin
D3
33
According to ICDAS, classify the following caries:
E1
34
According to ICDAS, classify the following caries:
E2
35
According to ICDAS, classify the following caries:
D1
36
According to ICDAS, classify the following caries:
D2
37
According to ICDAS, classify the following caries:
D3
38
According to ICDAS, classify the following caries:
E1
39
According to ICDAS, classify the following caries:
E2
40
According to ICDAS, classify the following caries:
D1
41
According to ICDAS, classify the following caries:
D2
42
According to ICDAS, classify the following caries:
D3
43
What is the ICDAS classification for the following: -penetrates less than or equal to 1/2 the enamel thickness as a radiolucent notch on the outer surface of the tooth
E1 interproximal caries
44
What is the ICDAS classification for the following:
E1 interproximal caries
45
What is the ICDAS classification for the following:
E1 interproximal caries
46
What is the ICDAS classification for the following:
E1 interproximal caries
47
What is the ICDAS classification for the following: -Penetrates greater than 1/2 the enamel thickness -may have an isosceles triangular outline with base at the proximal surface -does NOT extend to DEJ
E2 interproximal caries
48
What is the ICDAS classification for the following:
E2 interproximal caries
49
What is the ICDAS classification for the following:
E2 interproximal caries
50
What is the ICDAS classification for the following: -undermines enamel & extends into dentin -at or axial to the DEJ -penetrates less than 1/3 the outer peripheral dentin thickness
D1 interproximal caries
51
What is the ICDAS classification for the following:
D1 interproximal caries
52
What is the ICDAS classification for the following:
D1 interproximal caries
53
What is the ICDAS classification for the following:
D1 interproximal caries
54
What is the ICDAS classification for the following:
D1 interproximal caries
55
What is the ICDAS classification for the following:
D1 interproximal caries
56
What is the ICDAS classification for the following: -the dentin lesion is a more extensive dentin lesion -penetrates to mid 1/3 of the dentin thickness
D2 interproximal caries
57
What is the ICDAS classification for the following:
D2 interproximal caries
58
What is the ICDAS classification for the following:
D2 interproximal caries
59
What is the ICDAS classification for the following:
D2 interproximal caries
60
What is the ICDAS classification for the following:
D2 interproximal caries
61
What is the ICDAS classification for the following: -the dentin lesion is more extensive than the enamel lesion -penetrates greater than 2/3 (or inner 1/3) of the dentin thickness
D3 interproximal caries
62
What is the ICDAS classification for the following:
D3 interproximal caries
63
What is the ICDAS classification for the following:
D3 interproximal caries
64
What is the ICDAS classification for the following:
D3 interproximal caries
65
What is the ICDAS classification for the following:
D3 interproximal caries
66
What is the ICDAS classification for the following:
D3 interproximal caries
67
Phenomenon in which the dentin artifact simulates caries; the lesion is outlined by normal anatomic structures and is a RELATIVE radiolucency
Interproximal "burn out"
68
What is going on in the following radiograph?
Interproximal burn out
69
What is going on in the following radiograph?
Interproximal burn out
70
What is going on in the following radiograph?
Interproximal burn out
71
-difficult to detect on radiographs due to small width of lesion and density of superimposing enamel (occlusal caries)
Incipient occlusal caries
72
-broad-based thin radiolucent zone in dentin with no changes in enamel -noticed as a relative increase in opacity between pulp and caries (occlusal caries)
Moderate occlusal caries
73
What is going on in the following radiograph?
Moderate occlusal caries
74
-seen as undermined enamel with gross loss of tooth structure (occlusal caries)
Severe occlusal caries
75
What is going on in the following radiograph?
Severe occlusal caries
76
What is going on in the following radiograph?
Severe occlusal caries
77