Case Scripts Flashcards

(33 cards)

1
Q

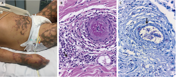
48M with fever, dyspnea and painful blistering lesions. Also loss of eyebrows and swelling of earlobes with diffuse alopecia. Biopsy revealed thrombosis of medium sized arteries with plasma cells and foamy macrophages. Acid Fast Bacilli noted.

What is this diagnosis?

What is the treatment?

*Side effect?

A

Lucios Phenomenon - necrotic skin lesions in diffuse lepromatous leprosy

treat with rifampin, clofazamine and dapsone as well as steroids and ACG

*clofaz AE: skin pigmentation, abdominal pain, eye irritation

How well did you know this?
1
Not at all
2
3
4
5
Perfectly
2
Q

Patient develops asymptomatic elevations of AST/ALT.

Avid sausage-eater from Germany.

A

Hepatitis E!!

How well did you know this?
1
Not at all
2
3
4
5
Perfectly
3
Q

Patient presents 2 months after getting bit by a wild skunk.

Should you provide RIG/Vaccinate?

What is the vaccine series?

A

YES! Incubation period is up to 90 days.

Rabies Vaccine: Day 0, 3, 7, 14

How well did you know this?
1
Not at all
2
3
4
5
Perfectly
4
Q

Diarrhea outbreak among household contacts. Incubation period is 3-7 days.

A

most likely either norovirus or shigella - most communicable enteric pathogens

salmonella rarely causes secondary spread. Campy, non-cholera vibrios and aeromonas are less likely to have secondary spread.

How well did you know this?
1
Not at all
2
3
4
5
Perfectly
5
Q

31M bilateral pneumonia non responsive to augmentin as outpatient.

All cultures negative. Found to have palpable spleen tip and red macules on abdomen.

Recent parrot exposure

A

Chlamydia psittacia

Rx doxycycline

How well did you know this?
1
Not at all
2
3
4
5
Perfectly
6
Q

cosmetic procedure now growing AFB

which are the BAD ones?

which have inherent inducible resistance?

Empiric Treatment?

A

RGM (m. abscessus, fortuitum or chelonae)

abscessus and chelonae should get surgery “like tumors”

fortuitum and abscessus have erm gene (macrolides)

Some combination of linezolid, doxy, cipro, azithro +/- clofaz if you have it

How well did you know this?
1
Not at all
2
3
4
5
Perfectly
7
Q

55F fevers, cytopenias and found to have granulomas in bone marrow 6 months after cardiac bypass surgery

A

Nosocomial M. Chimaera outbreak from Heater Cooler Units

High mortality 50%

Must remove prosthetic material and then at 1 year of therapy afterward

How well did you know this?
1
Not at all
2
3
4
5
Perfectly
8
Q

bicyclist scrapes elbow in muddy pool of water. Develops tenderness/drainage - GNRs

A

aeromonas - rx with cipro

How well did you know this?
1
Not at all
2
3
4
5
Perfectly
9
Q

HIV patient with “worst sore throat of my life” but OP exam is normal

A

Suspect: Epiglottitis

How well did you know this?
1
Not at all
2
3
4
5
Perfectly
10
Q

crab fisherman from chesapeake p/w red painful hand - has progressed over 4 days. Finger joints feel stiff but there is no swelling on exam

A

erisipelothrix - subacute cellulitis due to inocculation with GP bacillus

can also disseminate - causing rash and endocarditis

How well did you know this?
1
Not at all
2
3
4
5
Perfectly
11
Q

23M acute pain and blurred vision in R-eye.

How to treat?

A

Topical antivirals +/- debridement and systemic antiviral

triflueorothymidine, vidarabine, idoxuridine, acyclovir

How well did you know this?
1
Not at all
2
3
4
5
Perfectly
12
Q

ocular pain, redness, increased lacrimation, photophobia, and blurred vision

what SYNDROME is this?

A

Uveitis/Iritis

How well did you know this?
1
Not at all
2
3
4
5
Perfectly
13
Q

fried egg colonies on cell free medium

A

mycoplasma

How well did you know this?
1
Not at all
2
3
4
5
Perfectly
14
Q

Oysters

A

Vibrio parahaemolyticus

vibrio vulnificus (septicemia and STI)

How well did you know this?
1
Not at all
2
3
4
5
Perfectly
15
Q

differences between FMF and TRAPS?

A

Ethnicity

Pattern of inherentance (recessive - TRAPS is dominant)

TRAPS has myalgias and conjunctivitis

TNF-a in TRAPS, colchicine in FMF

both can be c/b amyloidosis

How well did you know this?
1
Not at all
2
3
4
5
Perfectly
16
Q

Painless ulcer with TENDER inguinal adenopathy

A

LGV (chlamydia L1-3)

Rx with doxy

17
Q

painLESS ulcer NO adenoapthy

A

Granuloma Inguinale (Donovanosis/Klebsiella)

Rx with Doxy/Azithro

3 weeks!

18
Q

TORCH

A

Toxo, Other, Rubella, CMV, HSV

*Other: Syph, Listeria, VZV, Parvo

Can cause spontaneous abortion, premature birth, IUGR

19
Q

Hepatitis in a pregnant patient

A

HSV!

Also think of adenovirus - HSV and adeno can cause fulminant Hep in Preg/Immunosuppressed

20
Q

Clinically identifical to PCP except PCR is negative?

A

Toxoplasma Pneumonia

Rare, but Clinically identical to PJP, and would also be prevented by Bactrim ppx

21
Q

asian with recurrent blisters and aseptic meningitis - Rx?

A

Colchicine for behcets

22
Q
A

roseola (HHV6 “6th disease” - normally a mild febrile/rash illness in children, but can cause complications in IC hosts in adulthood)

23
Q
A

roth spot - red lesion with pale center in Bacterial Endocarditis

24
Q

HHV8 (3 syndromes)

A

KS

Castleman’s

PEL

25
chediak higashi syndrome - giant neutrophil granules as a result of lysosomal trafficking gene mutation
26
M. chelonae - often without systemic symptoms - portal of entry often unknown
27
peliosis (bartonella, HIV, etc)
28
intermittent erytthematous swelling, migrating every few weeks. What else can this cause?
Gnathostomiasis (helminth infection from undercooked fish) Can also cause eosinophilic meningitis
29
months of worsening fever, headache, visual changes found to have brain abscess and lymphocyotic pleocytosis deadly granulomatous meningitis of immunocompetent patient
balamuthia - unclear etiology - complex treatment (pentamidine, ampho, fluconazole, macrolide, miltefosine, very deadly
30
blueberry muffin rash, cataracts, deafness
congenital rubella syndrome FYI - infants born with this shed for \> 1 year
31
roseola rubeola rubella
6th disease in children (mild rash, HHV6) measles rubella - mainly concern in pregos
32
treatment of Q fever: - Acute disease: - Chronic Disease:
Acute: Doxy (bactrim, quinolone alternative) Chronic: doxy+hydroxychloroquine 18 months (doxy+quinolone)
33
Phase I/II of Q fever?
Phase II titers \> 1:256 c/w ACUTE infection Phase I titers \> 1:800 c/w CHRONIC infection If both \> 1: 16 c/w ACTIVE infection (unclear acute/chronic - correlate with clinical)