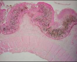
Give MDx and Etiology

MDx: Atrophic Rhinitis (Catarrhal rhinitis with lateral deviation of the nasal septum and a symmetric atrophy of the nasal turbinates)
Etiology: P. Multicida,Bordetella bronchiseptica
Give Etiology and Pattern of lesions

Etiology= hematogenous bacterial infection
Pattern= Embolic pneumonia
Give Name of Disease of the lungs of this 3 month old pig and describe lesions!

Name of Disease= Porcine Contagious Pleuropneumonia
Description= Focal areas of necrosis and hemorrhage in middle and caudal lung lobes
Describe Lesions!

Reddish lines in the mucosa of Trachea (from passage of nasogastric tube); Aspiration pneumonia leading to death
Give Etiology and MDx for these tissues from a young horse!

Etiology= Rhodococcus equi
MDx= Multifocal pyogranulomatous pneumonia
Give Etiologic Diagnosis and describe lesions!

EtDx= Uremic Glossitis (DDx: Calicivirus Glossitis)
Description= Fibronecrotic debri and ulcers on the tongue
Give the MDx in the Shar Pei!

MDx= Renal Amyloidosis
Give the cause of the lesions, MDx and a lesion you need to rule out !

Cause= Uremia (esp. Dogs); Left atrium can be mineralized (calcium)
MDx= Ulcerative, necrotizing, uremic endocarditis
Rule out= valvular issues “Jet Lesions”
Give MDx and Cause!

MDx= Multifocal subpleural intercostal mineralization
Cause= Renal Failure causing Dystrophic Calcification
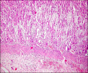
Give Etiological Diagnosis and Cause!

EtDx= Uremic Gastritis
Cause= Renal Failure
What is the Congenital Disease this breed of dog gets?

Congenital Renal Disease
Name the stain and what it is staining!

Von Kossa Stain
Staining for calcium (uremic gastritis)
What is this a picture of and the cause?

Necrosis of the Gastric mucosa
Caused by Uremic Gastritis
Name the condition and the cause!

Fibrous Osteodystrophy “Rubber Jaw”
Caused by Renal Failure
Death by renal failure is caused by a combination of multisystemic abnormalities including electrolyte imbalances, metabolic acidosis, cardiotoxicity due to increased serum K and pulmonary edema.
Describe whats going on in the bone!

Osteolysis
Name the Disease!

Rubber Jaw! (Fibrous Osteodystrophy)
Rottweiler presenting with lesions in kidney, lungs and was anemic! This is a picture of the kidney what is the likely lesion seen?

Renal Failure with anemia and Uremic Pneumonitis

Is this normal bone marrow from a calf?

Yes, hemopoietically active bone marrow (uniform consistency and red to dark red in color)
Give 2 morphologic diagnoses!

MDx= Icterus and Splenomegaly
Give the cause and associated lesion in the small intestine of a dog!

Cause= Canine parvovirus (CPV-2)
Associated lesion= lymphoid depletion and bone marrow depletion
If this was a cat it would be feline panleukopenia virus
Give the MDx of the lesion!

MDx= Metastatic melanoma
Describe this lesion in a horse!

Hemangiosarcoma invading the bone and bone marrow
Give the MDx and name of disease in this Llama!

MDx= Multifocal granulomatous osteomyelitis
Disease= Tuberculosis
The ring is caused by inflammation
Give the MDx and describe the lesion!

MDx= Lymphosarcoma
Lesion description= Red marrow and white fat marrow is being displaced along the medullary cavity and by a more yellow color tumor tissue near the epiphysis