CBCT stuff Flashcards

(20 cards)

1
Q

What are the advantages of CBCT?

A
  • Compact design
  • low
    • cost
    • dosage
    • level of metal artifact
  • quick scanning time
  • High degree of patient cooperation
  • Advanced 2D & 3D imaging specific to head and neck
How well did you know this?
1
Not at all
2
3
4
5
Perfectly
2
Q

What are the disadvantages of CBCT?

A
  • Not good for evaluating soft tissues
    • due to low contrast resolution
      • can’t see PDL in CBCT but can in CT
  • Inferior image quality to medial CT
How well did you know this?
1
Not at all
2
3
4
5
Perfectly
3
Q

What view?

A

Axial

How well did you know this?
1
Not at all
2
3
4
5
Perfectly
4
Q

What view?

A

Sagittal

How well did you know this?
1
Not at all
2
3
4
5
Perfectly
5
Q

What view?

A

Coronal

How well did you know this?
1
Not at all
2
3
4
5
Perfectly
6
Q

What view?

A

3D

How well did you know this?
1
Not at all
2
3
4
5
Perfectly
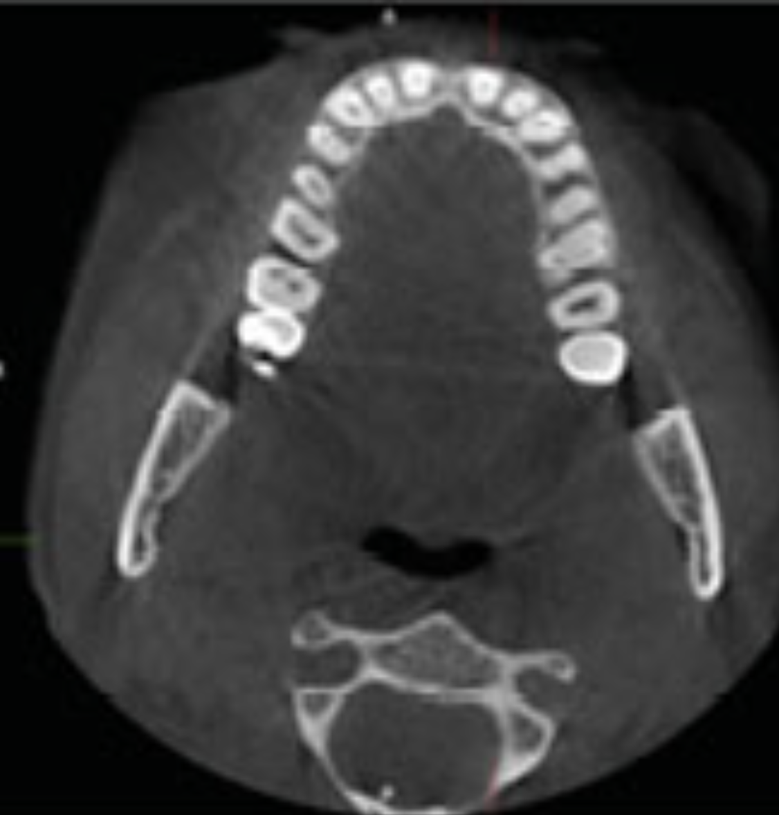
7
Q

What view?

A

Axial

How well did you know this?
1
Not at all
2
3
4
5
Perfectly
8
Q

What view?

A

Axial

How well did you know this?
1
Not at all
2
3
4
5
Perfectly
9
Q

What view?

A

Coronal

How well did you know this?
1
Not at all
2
3
4
5
Perfectly
10
Q

What view?

A

Coronal

How well did you know this?
1
Not at all
2
3
4
5
Perfectly
11
Q

What view?

A

Sagittal

How well did you know this?
1
Not at all
2
3
4
5
Perfectly
12
Q

What view?

A

Sagittal

How well did you know this?
1
Not at all
2
3
4
5
Perfectly
13
Q

Label the different Sinuses?

A

Red=Sphenoid Sinus

Green=Maxillary SInus

Yellow= Ethmoid Sinus

Blue= Frontal Sinus

How well did you know this?
1
Not at all
2
3
4
5
Perfectly
14
Q

Label the different sinuses

A

Blue=Frontal Sinus

yellow=Ethmoid Sinus

Red=Sphenoid Sinus

Green=Maxillary sinus

How well did you know this?
1
Not at all
2
3
4
5
Perfectly
15
Q

CBCT applications in dentistry

A
  • Eval:
    • Periodontal & periodical status
    • TMJ
    • Pathology & incidental findings
  • endodontic assessment
  • tooth extraction
  • implant planning
  • orthodontic planning
  • Airway assessment
How well did you know this?
1
Not at all
2
3
4
5
Perfectly
16
Q

CBCT applications in dentistry

A
  • Eval:
    • Periodontal & periodical status
    • TMJ
    • Pathology & incidental findings
  • endodontic assessment
  • tooth extraction
  • implant planning
  • orthodontic planning
  • Airway assessment
17
Q

TMJ Degenerative Changes: Label

18
Q

What is the arrow pointing to?

A

Calcification of carotid atherosclerosis

19
Q

What is a Sialolith

A

Submandibular gland stone

20
Q

Principles of CBCT Interpretation

A
  • Recognize normal anatomy
  • use principles of symmetry
  • identify radiographic signs
  • categorize into disease and abnormalities