CDS Perio Flashcards

(65 cards)

1
Q

What are the SDCEP ideal outcomes of periodontal treatment?

A

Plaque scores below 15%
Bleeding scores below 10%
Probing depths 4mm or less and no bleeding at 4mm sites

How well did you know this?
1
Not at all
2
3
4
5
Perfectly
2
Q

What symptoms is a patient likely to have at periodontal review?

A

Sensitivity - tissue has shrunk because of reduced inflammation
Patients should be warned of this before step 2

How well did you know this?
1
Not at all
2
3
4
5
Perfectly
3
Q

How should post treatment sensitivity be handled in perio patients?

A

Reassurance
High fluoride toothpaste

How well did you know this?
1
Not at all
2
3
4
5
Perfectly
4
Q

Non responding site

A

A site where deep probing depths remain and have not improved (>4mm or 4mm with bleeding) after supra and subgingival instrumentation

How well did you know this?
1
Not at all
2
3
4
5
Perfectly
5
Q

Possible mechanisms for smoking increasing periodontal disease

A
  1. Systemically compromising the innate and adaptive immune response
  2. Topical reduced tissue vascularity influencing any subsequent wound healing of the affected tissues
How well did you know this?
1
Not at all
2
3
4
5
Perfectly
6
Q

Clinical outcomes of gingival recession

A

Dentine hypersensitivity
Aesthetic concerns
Plaque retention and inflammation
Tooth abrasion
Root caries

How well did you know this?
1
Not at all
2
3
4
5
Perfectly
7
Q

Step 1 perio treatment

A

Addressing risk factors
Plaque control
Supragingival scaling

How well did you know this?
1
Not at all
2
3
4
5
Perfectly
8
Q

Step 2 periodontal treatment

A

Subgingival scaling

How well did you know this?
1
Not at all
2
3
4
5
Perfectly
9
Q

What must all patients be warned of before commencing perio treatment?

A

Risk of gingival recession
Can cause aesthetic concerns, sensitivity

How well did you know this?
1
Not at all
2
3
4
5
Perfectly
10
Q

Predisposing factor to aesthetic concerns with gingival recession

A

High smile line

How well did you know this?
1
Not at all
2
3
4
5
Perfectly
11
Q

TIPPS

A

Talk
Instruct
Practice
Plan
Support

How well did you know this?
1
Not at all
2
3
4
5
Perfectly
12
Q

How long after step 2 treatment do you re-evaluate and why wait?

A

8-12 weeks
To allow healing

How well did you know this?
1
Not at all
2
3
4
5
Perfectly
13
Q

What else must be done if using systemic antibiotics in perio and why?

A

Mechanical biofilm disruption
The biofilm will have ~500 species of microbe embedded in a matrix, protecting them from antimicrobials, once this is done the bacteria in the mouth will be disorganised, then when hit with antibiotics it will be effective

How well did you know this?
1
Not at all
2
3
4
5
Perfectly
14
Q

Which group of people can have increased BOP with improvement in pocket depths?

A

Previous smokers who have quit

How well did you know this?
1
Not at all
2
3
4
5
Perfectly
15
Q

How might a periodontal emergency present?

A

Pain
Swelling
Tooth mobility
Bleeding
Pus discharge
Lymphadenopathy
Ulceration

How well did you know this?
1
Not at all
2
3
4
5
Perfectly
16
Q

Why is the HPC/pain history important when a periodontal emergency presents?

A

To help determine whether the pain is due to a pulpal cause or periodontal cause

How well did you know this?
1
Not at all
2
3
4
5
Perfectly
17
Q

Periodontal emergency

A

When an acute condition involving the periodontium causes pain, forcing the patient to seek urgent care, usually with GDP as the first port of call
May involve pain, swelling, tooth mobility, bleeding, suppuration, lymphadenopathy, ulceration

How well did you know this?
1
Not at all
2
3
4
5
Perfectly
18
Q

Why is timely management of periodontal emergencies necessary?

A

To prevent further damage to the periodontium, as well as improving the patient’s physical and psychological wellbeing, and prevent spread of infection

How well did you know this?
1
Not at all
2
3
4
5
Perfectly
19
Q

3 important considerations in treatment of a periodontal emergency

A

Partially erupted and impacted mandibular third molar
Nail biting habit - foreign body can cause gingival abscess
HPC/ pain history - try to determine whether pulpal or soft tissue origin

How well did you know this?
1
Not at all
2
3
4
5
Perfectly
20
Q

Investigations for periodontal emergency

A
  • Radiographs to check whether periodontal patient
  • Sensibility testing - is pulp involved
  • TTP
  • Clinical exam - hard or soft, is there a pocket, where is the lesion, is tooth heavily restored
How well did you know this?
1
Not at all
2
3
4
5
Perfectly
21
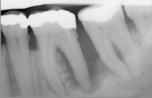
Q

Typical appearance of an endo-perio lesion radiographically

A

J shaped lesion

How well did you know this?
1
Not at all
2
3
4
5
Perfectly
22
Q

Grades of endo-perio lesions

A

1 - narrow deep perio pocket in one tooth surface
2 - Wide perio pocket in one tooth surface
3 - Deep perio pockets in more than one tooth surface

How well did you know this?
1
Not at all
2
3
4
5
Perfectly
23
Q

What must you include in an endo-perio lesion diagnosis?

A

Whether it is a periodontal patient or not, whether there is root damage and what, and a grade

How well did you know this?
1
Not at all
2
3
4
5
Perfectly
24
Q

What is the diagnosis and why

A

Endo perio lesion (J shape)
in periodontitis patient (bone loss) with no root damage, grade 3 (deep perio pocket affecting more than one surface)

How well did you know this?
1
Not at all
2
3
4
5
Perfectly
25
Treatment options for endo-perio lesion
Extirpate the pulp or XLA Debride the pocket to drain pus Antibiotics if systemic symptoms - pen V 500mg 4x daily 4 days or if allergic 400mg metronidazole 3x daily 5 days Recommend 0.2% chlorhexidine 10ml 2x daily one minute or 6% H2O2 for 2 minutes
26
What is the difference between pericoronitis and a peri-coronal abscess?
Pericoronitis is inflammation of the soft tissues surrounding the crown of a partially erupted tooth A peri-coronal abscess is the localised accumulation of pus within the overlying gingival flap surrounding the crown of an incompletely erupted tooth
27
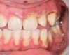
What is the difference between necrotising gingivitis and necrotising periodontitis, and how would you tell them apart?
Necrotising periodontitis includes destruction of bone You would need a radiograph to tell them apart
28
What is this?
Necrotising gingivitis (or necrotising periodontitis, but this can not be diagnosed without radiographs to see whether there is bone loss)
29
Characteristic symptoms of necrotising gingivitis/periodontitis
Very severe pain Punched papilla and yellowish slough appearance Can have systemic symptoms like lymphadenopathy, malaise
30
What is the difference between necrotising periodontitis and necrotising stomatitis?
Necrotising stomatitis has spread away from the periodontal tissues (for example to the palate etc)
31
Causative factors in necrotising periodontal diseases
Commensal bacterial organisms - opportunistic infection
32
Underlying risk factors for necrotising periodontal diseases
Stress, compromised host immune response (HIV etc), lack of sleep, smoking, poor OH, poor nutrition Often a healthy individual with an accumulation of lots of risk factors
33
Antibiotics for necrotising periodontal disease
Only when systemically unwell or the condition does not improve with debridement 400mg metronidazole 3x daily 5 days Contraindications - warfarin, pt must not drink alcohol
34
How would you treat a patient with necrotising periodontal disease?
Debridement of necrotic tissue with local anaesthetic daily, deeper/more as the patient builds up a tolerance Advise chlorhexidine 0.2ml 2x daily
35
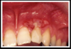
Describe the clinical presentation
Erosive lesion on the attached gingiva Mixed red and white appearance with yellow fibrin layer Chemical burn (this is from phosphoric acid)
36
Treatment of chemical burn
Eliminate the initiating factor if required, analgesia, usually heal without intervention Surgery to cover recession if aesthetic zone Avoid brushing the area for a few days
37
What blood test would you carry out to determine how well controlled someone's diabetes is? What score would denote that it is well controlled?
Hba1c <48mmol/mol
38
What information can be gained from Hba1c test?
Haemoglobin glycation over a period of 3 months - because this is the life span of a red blood cell
39
Why is Hba1c useful in diabetics?
It gives us an indication as to how much haemoglobin glycation has occurred over the past 3 months and therefore the levels of AGEs, which are thought to be the major causes of diabetic complications This tells us how well controlled someone's diabetes is
40
What is the fourth step of periodontal therapy?
Supportive periodontal care A specific SPC programme will be designed considering the patient's individual factors
41
What are three key considerations when designing a SPC plan?
Interview Assessment Evaluation
42
What is relevant when interviewing a patient to plan a SPC regime?
elicit information on periodontal health symptoms, MH and SH, risk factors, plaque control regime and patient motivation, and treatment carried out
43
What is relevant when assessing a patient in order to design a SPC regime?
Plaque and calculus deposits, periodontal health including inflammation, PPDs and bleeding pockets
44
What is relevant when evaluating a patient in order to design a SPC plan?
Evaluate intervention needs including risk factor management, oral hygiene and re-treatment
45
Potential practical intervention aspects of an SPC plan
Oral hygiene coaching Instrumentation of supra and sub-gingival plaque and calculus Treatment of sites with recurrence or residual periodontitis
46
Planning aspects of an SPC regime?
Interval before next visit and which member of the dental team should undertake this visit
47
Ideal Hba1c for diabetics
48mmol/mol 6.5% or below
48
Normal range for HbA1c in non diabetics
4%-5.6%
49
How do AGEs act on the body
Causing intracellular damage and apoptosis
50
Roughly how often would you 6ppc in a stable periodontal patient having SPC?
Annually
51
Why is 4mm decided as the pocket depth for stability?
Up to 4mm, the patient has influence on the environment in this pocket with their home oral hygiene practices Anything more than 4mm in impossible to maintain at home - you are leaving anaerobic bacteria in anaerobic environment for months between visits
52
A Insertion of perio probe B Top of pocket C Probing depth D Attachment level E Gingiva F Alveolar bone G Root surface H Periodontal ligament I Base of pocket J Pocket K Cement-enamel junction L Enamel
53
What is the likely cause of localised severe recession of the lower labial gingivae?
Traumatic overbite
54
Why are lower incisors more at risk of gingival recession with a traumatic overbite?
Thin gingival biotype Thin buccal plate
55
What symptoms might a patient be concerned about in gingival recession caused by a traumatic overbite?
Dentine hypersensitivity Poor aesthetics Root caries
56
What does a diagnosis of peri-implant health require?
Absence of clinical signs of inflammation Absence of bleeding or suppuration on gentle probing No increase in pocket depth compared to previous examinations Absence of bone loss beyond crestal bone level changed from initial bone remodelling No more than a single bleeding spot - not a line of bleeding around the collar
57
Peri implant mucositis
Presence of bleeding and/or suppuration on gentle probing with or without increased PD compared to previous examinations Absence of bone beyond crestal bone level changes resulting from initial bone remodelling
58
Peri implantitis
Peri implant biofilm associated pathological condition occurring in tissues around dental implants, and characterised by inflammation in peri-implant mucosa and subsequent progressive loss of supporting bone
59
Clinical presentation of peri implantitis
Inflammation BOP Suppuration Increasing probing depths Recession of the mucosal margin
60
Routing periodontal exam of implants
NOT BPE 6ppc of all implants - in health or disease
61
% of implant patients with peri implantitis
22 (43% with peri implant mucositis)
62
Predisposing systemic factors to peri- implant disease
History of severe periodontitis Poor plaque control No regular supportive peri implant care Smoking Diabetes
63
Local factors that predispose to peri-implant diseases
Submucosal cement Positioning of implants limiting access to oral hygiene and maintenance Absence of peri-implant keratinised mucosa Occlusal overload Presence of titanium particles within peri-implant tissues Bone compression necrosis, overheating, micromotion or biocorrosion
64
How to assess a dental implant and its restoration
Look for inflammation or infection Check oral hygiene Probe around the implant restoration Check the restoration for signs of cracks, loosening, cleansability
65