Cell Adaptation Flashcards

(17 cards)

1
Q

name the 4 main intracellular system affected during cell injury

A
  1. Membrane integrity
    1. Cellular PM
    2. organelle membranes
  2. ATP production
  3. Protein synthesis
  4. Genomic or chromosomal integrity
How well did you know this?
1
Not at all
2
3
4
5
Perfectly
2
Q

what are the 2 types of cell injuries

A
  • Reversible injury = mild or transient
    • Cellular structures & functions impaired, but can recover
  • Irreversible injury = severe or progressive
    • Membrane damage
    • DNA damage
    • Results in cell death
      • necrosis
      • apoptosis
How well did you know this?
1
Not at all
2
3
4
5
Perfectly
3
Q

name the early cellular responses to injury (step 1)

A
    1. cloudy swelling
      * earliest evidence of injury
      * loss of normal staining intensity due to swelling of organelles
How well did you know this?
1
Not at all
2
3
4
5
Perfectly
4
Q

name the 2nd stage of cellular response to injury

A
  • Hydropic degeneration
    • continued swelling of organelles
    • vacuoles appear in cytoplasm
      • stains faintly with loss of basophilia
How well did you know this?
1
Not at all
2
3
4
5
Perfectly
5
Q

name the 3rd change in cellular response to injury

A
  • Fatty change (steatosis)
    • accumulation of triglycerides in cytoplasm
    • most common in liver
    • common causes:
      • toxins, like alcohol
      • chronic hypoxia
How well did you know this?
1
Not at all
2
3
4
5
Perfectly
6
Q

name the cellular adaptation to nonlethal injury

A
  1. Alteration in size
    1. Atrophy (decrease in size of existing cell)
    2. Hypertrophy (increase in size of existing cell)
  2. Increase in number
    1. hyperplasia
  3. Change in differentiation
    1. metaplasia
How well did you know this?
1
Not at all
2
3
4
5
Perfectly
7
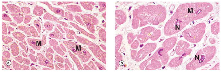
Q

describe hypertrophy

A
  • Increase in the size of cells resulting in increased size of organ
    • reversible
    • no change in cell number
  • Cause
    • increased functional demand
    • specific hormonal stimulation
  • Tissues commonly affected:
    • cardiac muscle
    • skeletal muscle
    • Uterus
      • pregnancy
How well did you know this?
1
Not at all
2
3
4
5
Perfectly
8
Q

describe this

A

hypertrophy of cardiac muscles

How well did you know this?
1
Not at all
2
3
4
5
Perfectly
9
Q

describe hyperplasia

A
  • Increase in the number of cells
    • reversible
  • Cause
    • increased functional demand
    • hormonal stimulation
  • Tissues commonly affected:
    • endometrium
    • prostate gland
    • red blood cells
    • glandular epithelium of breast
    • uterine enlargement
How well did you know this?
1
Not at all
2
3
4
5
Perfectly
10
Q

describe the image

A
  • hyperplasia of the uterus during pregnancy
How well did you know this?
1
Not at all
2
3
4
5
Perfectly
11
Q

describe the image

A
  • hyperplasia of endometrium
How well did you know this?
1
Not at all
2
3
4
5
Perfectly
12
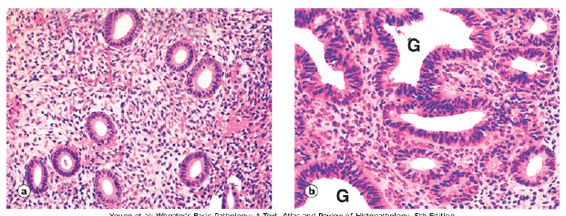
Q

describe the image

A

hyperplasia of mammary glands

a. inactive mammary gland
b. active mammary gland

How well did you know this?
1
Not at all
2
3
4
5
Perfectly
13
Q

describe atrophy

A
  • Reduction in functional cell mass
    • decreased size and function of cells
    • reversible
  • Cause
    • decreased functional demand
    • decreased blood supply
    • loss of innervation
    • loss of endocrine stimulation
    • nutritional deficiency
    • aging
  • Tissues commonly affected
    • testis in elderly
    • skeletal muscle
      • disuse
      • loss of inervation
    • brain
      • neurodegenerative
      • aging
How well did you know this?
1
Not at all
2
3
4
5
Perfectly
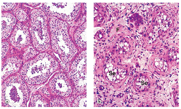
14
Q

describe the image

A

a, normal testis

b. atrophy of testis in 94 year old

How well did you know this?
1
Not at all
2
3
4
5
Perfectly
15
Q

describe metaplasia

A
  • change in cell differentiation
    • reversible
    • one cell type is replaced by another cell type
      • reprogrammed stem cells
  • Cause:
    • adaptive response to environmental stimuli
      • cigarette smoke
      • acid reflux
  • Tissues commonly affected:
    • respiratory epithelium
    • cervical epithelium
    • esophageal epithelium
  • Increased risk for dysplasia and neoplasia
How well did you know this?
1
Not at all
2
3
4
5
Perfectly
16
Q

describe dysplasia

A
  • failure of differentiation and maturation
    • persistent cellular atypia
      • structurally abnormal
      • high nuclear to cytoplasm ratio
      • large nuclei with dark staining chromatin
  • Cause
    • Rapid multiplication of cells
    • may demonstrate genetic abnormalities
  • Tissues commonly affected
    • cervix
    • skin
  • May arise from tissue with metaplasia
  • Increased risk of neoplasia
17
Q

describe neoplasia

A
  • cellular proliferation and growth in absence of external stimulus
  • variable states of differentiation
    • commonly fail to reach highly differentiated state
  • Neoplasm: abnormal mass of cells
  • 2 main groups:
    • benign
    • malignant