Hyperplasia
Increase in the number of cells of an organ
MDx

Fibrous hyperplasia
Adaptation Response:

Atrophy
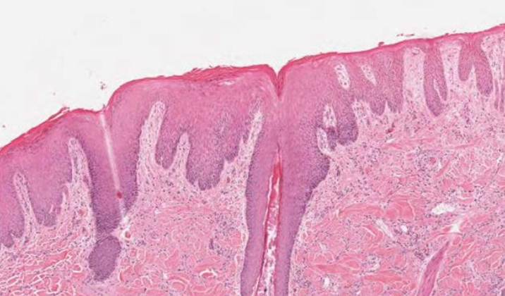
Metaplasia is reversible only if
Metaplasia is reversible only if the cause is removed
Adaptation Response

Hyperplasia
Hyperplasia occurs in cells that are capable of ____________.
Hyperplasia occurs in cells that are capable of replication.
Adaptation Response

Hyperplasia
Concentric Hypertrophy
growth of a hollow organ without overall enlargement, in which the walls of the organ are thickened and its capacity or volume is diminished.
2 MDx

Kidney - hydronephritis with secondary severe diffuse cortical atrophy
Ureter - hydroureter
T/F: When cells go through adaptation they preserve viability and function, its a reversible change.
True
Hypertrophic cardiomyopathy (HCM) is common in ____________.
Hypertrophic cardiomyopathy (HCM) is common in Main Coon Cats.
Metaplasia occurs most commonly in ___________ cells.
Metaplasia occurs most commonly in epithelial cells.
Hyperplasia may occur concomitantly with __________.
Hyperplasia may occur concomitantly with Hypertrophy.
Hypertrophic cardiomyopthy (HCM) in cats is due to a mutation in the____________.
Hypertrophic cardiomyopthy (HCM) in cats is due to a mutation in the MYBPC3 gene.
__________________________
Inherited autosomal dominant
Hypertrophy
Increased size of cells and thier functions
Adaptation Response:
(Normal = Right)

Atrophy
Hyperplasia is most commonly caused by
Hyperplasia is most commonly caused by excessive hormonal or growth factor stimulation
MDx

Liver- hepatocellular carcinoma with nodular hyperplasia
Metaplasia occurs in response to
Metaplasia occurs in response to chronic irritation
Hypertrophy occurs due to
Hypertrophy occurs due to synthesis of more organelles and structural proteins
Adaptation Response
(Normal = Left)

Atrophy
Dysplasia occurs most commonly in _________ cells.
Dysplasia occurs most commonly in epithelial cells.
MDx

Stomach- gastric lymphoid hyperplasia, multifocal
Causes of atrophy
Decreased workload
Denervation
Decreased blood supply or oxygen
Inadequate nutrition
Loss of endocrine stimulation
Aging