What are the different cellular adaptation?
Cellular adaptations are reversible and 4 cellular adaptations are
What type of cells undergo hypertrophy and give few examples of physiological and pathological hypertrophy.
Permanent cells undergo hypertrophy. eg: Skeletal muscle and cardiac muscle. 1. Physiological eg- Sk muscle (body builders), uterus (Hypertrophy and hyperplasia) 2. Pathological- eg Urinary bladder (BPH), LVH (HTN, myocardial infarction, valvular abnormalities)
Mechanism of Hypertrophy (with referance to cardiac muscle)
Three steps
1) Actions of mechanical sensors
- these come into play following increased workload
- Growth Factors: TGF-B, insulin like growth factor 1 (IGF1), fibroblast growth factor
- vasoactive agents: a-adrenergic agents, endothelin-1, angiotensin II
2) Signal transduction pathways
- PI3K/AKT pathway: involved with physiologic type
- G-protein-coupled receptor pathway: important for cardiac hypertrophy
3) Transcription pathways
- GATA4, nuclear factor of activated T-cells (NFAT), myocyte enhancer factor 2 (MEF2)
- increase the synthesis of contractile protein

Assiociated changes in pathological cardiac muscle hypertrophy?
1) switch of contractile proteins from adult to fetal or neonatal forms
- α isoform of myosin heavy chain is replaced by β isoform
β isoform:
Types of cardiac muscle hypertrophy? and give few conditions for each.
what type of heart failure will be seen in these hypertrophy?
2 types-
Eg: Pressure overload conditions. Aortic stenosis, coarctation of aorta, sytemic hypertention, Hypertrohic obstructive cardiomyopathy (HOCM- genetic condition)
Heart failure with preserved ejection fraction (HFpEF). S4 heart sound heard (compliance of the ventricular muscle is decreased)
Eg: Volume overload conditions. Aortic regurgitation, Mitral regurgitation, Anemia, dilated cardiomyopathies.
Heart failure with reduced ejection fraction (HFrEF). S3 Heart sound heard( volume overload)
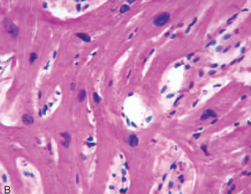
Hypertrophic cardiomyopathy (HCM)- Cause, Gross and microscopic features?
Most common cause of sudden death in young people (familial).

What is hyperplasia?
Mechanism of hyperplasia.
Give some examples of physiological & Pathological hyperplasia.
Increase in number of cells.
Mechanism- increased formation of local growth factors and hormones
Endometrial hyperplasia- causes and microscopy.
Cause- Due to the action of unopposed estrogen on endometrium.
-inactivation of the PTEN tumor suppressor gene is a common genetic alteration in both endometrial hyperplasias and endometrial carcinomas
Eg:
Microscopy- increased proliferation of the endometrial glands relative to the stroma, resulting in an increased gland-to-stroma ratio

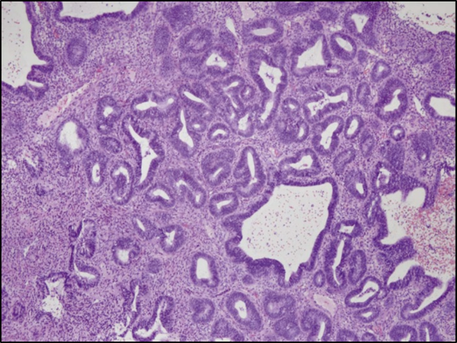
Benign prostatic hyperplasia - cause & Microscopy.
Cause- -prostatic levels of dihydrotestosterone (DHT) remain high with aging, even though peripheral levels of testosterone decrease due to high 5-alpha reductase activity.
Microscopy-
Most commonly affects the inner peri-urethral zone of the prostate. -variable proportions of stroma and glands hyperplasia.-hyperplastic glands are lined by two cell layers, an inner columnar layer and an outer layer composed of flattened basal cells.

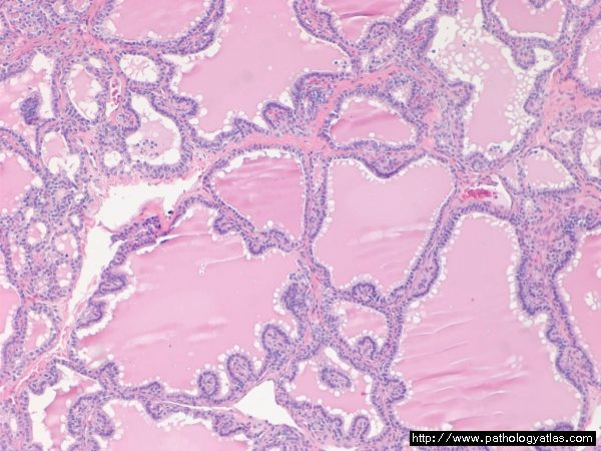
Identify ?

Graves disease-
Autoimmune condition.
Microscopy-
Papillary projection & columnar epithelial lining with scaloping edges.