cell/tissue Flashcards

(112 cards)

1
Q

what is a cell?

A

cell is the smallest structural/functional unit of an organism consisting of many working components

How well did you know this?
1
Not at all
2
3
4
5
Perfectly
2
Q

homeostasis

A

process by which an internal environment is kept constant despite a constantly changing external environment

How well did you know this?
1
Not at all
2
3
4
5
Perfectly
3
Q

organelles

A

subcellular structure that has one or more specific functions within a cell

How well did you know this?
1
Not at all
2
3
4
5
Perfectly
4
Q

things to know about cells:

A

-not all cells are created equal
-different types and numbers of organelles (muscle cells contain high levels of mitochondria for energy)
-different organelles entirely (plant v animal cells)

How well did you know this?
1
Not at all
2
3
4
5
Perfectly
5
Q

cell division

mitosis

A

cells reproduce through this process im which the cell cleaves in two after key components have been duplicated

How well did you know this?
1
Not at all
2
3
4
5
Perfectly
6
Q

what do cells initially begin in?

A

interphase

cell grow and DNA is duplicated

How well did you know this?
1
Not at all
2
3
4
5
Perfectly
7
Q

cell division

four stages

A

prophase - metaphase - anaphase - telophase

How well did you know this?
1
Not at all
2
3
4
5
Perfectly
8
Q

prophase

A

-dna condenses into 23 distinct pairs of chromosomes
-nuclear membranes disperses
-each pair is joined together by a protein bridge called a centromere

How well did you know this?
1
Not at all
2
3
4
5
Perfectly
9
Q

metaphase

A

chromosomes align themselves midway between poles

How well did you know this?
1
Not at all
2
3
4
5
Perfectly
10
Q

anaphase

A

chromosome pairs separate and move toward opposite poles

How well did you know this?
1
Not at all
2
3
4
5
Perfectly
11
Q

telophase

A

-nuclear membrane begins to form and chromosomes decondense into chromatin
-cell membrane begins to pinch eventually cleaving in two (cytokinesis)

How well did you know this?
1
Not at all
2
3
4
5
Perfectly
12
Q

chromatin

A

a mixture of DNA and proteins that form the chromosomes found in the cells of humans and other higher organisms

How well did you know this?
1
Not at all
2
3
4
5
Perfectly
13
Q

cytokinesis

A

part of the cell division process during which the cytoplasm of a single eukaryotic cell divides into two daughter cells

How well did you know this?
1
Not at all
2
3
4
5
Perfectly
14
Q

tissues

4 types of tissues

A
  • epithelial
  • connective
  • muscular
  • nervous
How well did you know this?
1
Not at all
2
3
4
5
Perfectly
15
Q

epithelial tissue

shapes

A
  • squamous
  • cuboidal
  • columnar
How well did you know this?
1
Not at all
2
3
4
5
Perfectly
16
Q

epithelial tissue

layers

A
  • simple
  • stratified
How well did you know this?
1
Not at all
2
3
4
5
Perfectly
17
Q

epithelial tissue

squamous function

A

forms a membrane that allows selective diffusion of materials

How well did you know this?
1
Not at all
2
3
4
5
Perfectly
18
Q

epithelial tissue

cuboidal function

A

-help with absorption, secretion, and excretion
-found in kidneys, pancreas, and salivary glands

How well did you know this?
1
Not at all
2
3
4
5
Perfectly
19
Q

epithelial tissue

columnar function

A

-primarily for protection / sometimes excretion, secretion, and excretion
-found in digestive, reproductive, and respiratory tracts, and more

How well did you know this?
1
Not at all
2
3
4
5
Perfectly
20
Q

epithelial tissue

ciliated columnar function

A
  • aid with movement of substances
  • found mostly in respiratory tract to help push mucous and air through
How well did you know this?
1
Not at all
2
3
4
5
Perfectly
21
Q

epithelial tissue

how many layers is simple?

A

one layer

How well did you know this?
1
Not at all
2
3
4
5
Perfectly
22
Q

epithelial tissue

how many layers is stratified?

A

numerous layers

How well did you know this?
1
Not at all
2
3
4
5
Perfectly
23
Q

epithelial tissue

difference between simple v stratified in terms of function

A

simple is very thin and good for filtration and absorbtion while stratified allows for more protection

How well did you know this?
1
Not at all
2
3
4
5
Perfectly
24
Q

epithelial tissue

how to name:

A

number of layers + shape + epithelial tissue

How well did you know this?
1
Not at all
2
3
4
5
Perfectly
25
# epithelial tissue location of epithelial tissue
lines body cavities and parts of body exposed to outside world
26
location of simple columnar
found in intestinal tract and the lumens of some secretory ducts, lines bronchi and uterine tubes
27
# connective tissue how many times of connective tissue?
4 basic types with subcategories: -connective tissue proper -cartilage -bone -blood
28
# connective tissue proper three types of loose connective tissue
-adipose -areolar -reticular
29
# connective tissue proper loose
lymphocytes, mast cells, macrophages, fibroblasts, leukocytes, and adipocytes
30
# connective tissue proper loose areolar
cell type: fibroblast fiber type: collagen, reticular, and elastic function: wraps and cushions organs; holds and conveys tissue fluid during inflammation location: under epithelia, packages organs, surrounds capillaries
31
# connective tissue proper loose adipose
cell type: adipocytes function: Energy storage; soft padding between moving organs and joints; heat conservation location: Surrounds organs/joints; dermis of the skin; female breast
32
# connective tissue proper loose reticular
fiber type: reticular function: Fibers create a skeleton- like framework to support other cell types location: Spleen, lymph nodes, bone marrow, liver
33
# connective tissue proper dense types
regular and irregular
34
# connective tissue proper what does dense tissue have?
has fibroblasts
35
# connective tissue proper dense regular
cell types: fibroblasts fiber type: collagen function: Forms tendons and ligaments; withstands great tensile strength in one direction location: endons, ligaments, aponeuroses
36
# connective tissue proper dense irregular
cell type: fibroblasts fiber type: collagen function: withstands tensile strength from many directions location: dermis of skin, joint capsules, vessels
37
# connective tissue types of cartilage
-hyaline -elastic -fibrocartilage
38
# connective tissue what does cartilage have?
has chondrocytes
39
# connective tissue hyaline cartilage
cell type: chondrocytes function: support and protection location: trachea, larynx, costal cartilage, nose, ends of long bones
40
# connective tissue elastic cartilage
cell type: chondrocytes function: provides support with flexibility locaiton: external ear and epiglottis
41
# connective tissue fibrocartilage
cell type: fibroblast function: absorb compressive shock location: intevertebral discs, pubic symphisis, meniscus of knee joint
42
# connective tissue bone
cell type: osteocytes function: support for the body; protection; storage of minerals location: skeleton
43
# connective tissue blood
cell type: erythrocytes, leukocytes, and thrombocytes/platelets function: transport of nutrients and waste products location: within blood vessels
44
# muscle tissue three types of muscle tissue
skeletal, cardiac, and smooth
45
# muscle tissue skeletal: v or iv
voluntary
46
# muscle tissue cardiac: v or iv
involuntary
47
# muscle tissue smooth: v or iv
involuntary
48
# muscle tissue skeletal tissue function
move bones and produce heat
49
# muscle tissue cardiac tissue function
synchronized contraction of heart to push blood throughout the body
50
# muscle tissue smooth tissue function
contractions push material through a tract and adjusts diameter of blood vessels
51
# nervous tissue functions of nervous tissue
transmit and process information throughout the body and can be divided into two groups based on functionality
52
# nervous tissue two groups of nervous tissue:
neurons and neuroglia
53
# nervous tissue neurons
provide primary electrical pathways | NOT TISSUE TYPES
54
# nervous tissue neuroglia
supporting cells that aid neuron | NOT TISSUE TYPES
55
# identifying tissue types
squamous
56
cuboidal
57
columnar (ciliated)
58
loose adipose
59
loose areolar
60
loose reticular
61
loose areolar
62
loose areolar
63
loose adipose
64
loose reticular
65
loose reticular
66
dense regular
67
dense regular
68
dense irregular
69
dense irregular
70
elastic cartilage
71
fibrocartilage
72
hyaline cartilage
73
hyaline cartilage
74
elastic cartilage
75
elastic cartilage
76
fibrocartilage
77
fibrocartilage
78
fibrocartilage
79
bone
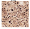
80
blood
81
bone
82
blood
83
cardiac muscle tissue
84
skeletal muscle tissue
85
smooth muscle tissue
86
simple squamous
87
simple squamous
88
simple squamous
89
stratified squamous
90
stratified squamous
91
stratified squamous
92
simple cuboidal
93
simple cuboidal
94
simple cuboidal
95
simple cuboidal
96
stratified cuboidal
97
stratified cuboidal
98
stratified cuboidal
99
simple columnar
100
simple columnar
101
simple columnar
102
stratified columnar
103
stratified columnar
104
nervous tissue (neuron)
105
nervous tissue
106
nervous tissue
107
108
prophase
109
metaphase
110
anaphase
111
telophase
112
loose adipose