Indications and contraindications

Complications and procedure note

Set up

What’s in the kit?

Guide wire and plastic sheath

Flushing all three ports

Landmarks for insertion

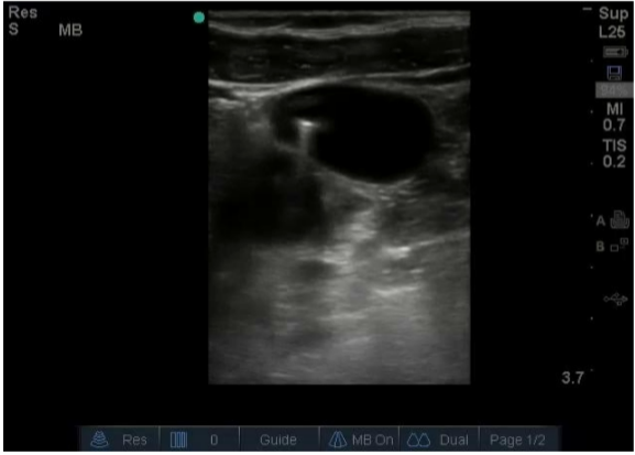
Ultrasound short axis view

Ultrasound view


Once you get flashback

Threading the wire


Inserting and removing the dilator


After inserting the triple lumen cordis


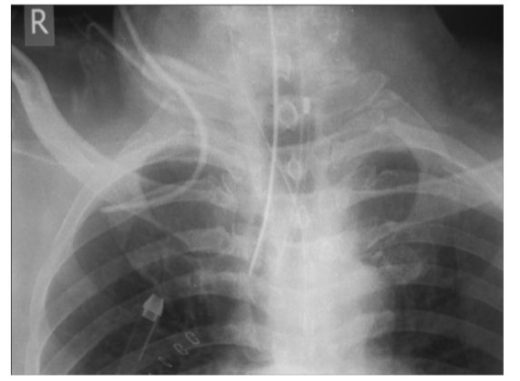
Prior to using the central line

