64M - fell off his bike, couldn’t remember impact with the road, bruised the left side of his head and he had a headache that got more intrusive
5 days after = weakness of right arm and leg, and hesitant speech.
7 days after accident, relatives bring him to hospital - drowsy, mute and weakness of the right arm
Examine the CT scan provided, identify any abnormalities that are present and suggest a diagnosis

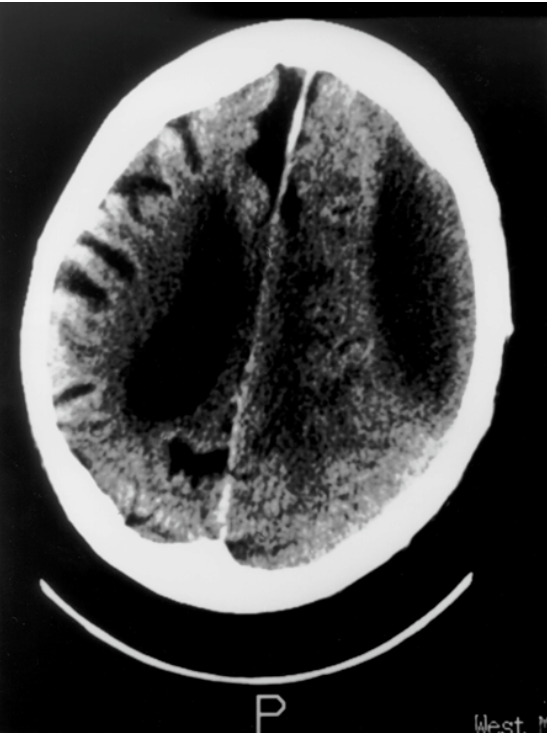
Anterior left cerebral bleed - damage to subdural bridging veins
Subdural haemorrhage = symptom build up over few days, caused by trauma
Bleed around left frontal lobe and Broca’s Area
Lemon shape = signifies blood is within the dural area of the brain (blood pushes and shifts the brain) VS banana shape = epidural bleed as blood between skull and dura = blood seeps around the edge of the skull forming a banana shape
How do the symptoms seen in the patient relate to the brain pathology identified on the scans?
High pressure on brain and brainstem = affects reticular activating system = affects many consequent systems (circadian, breathing etc.)
Subdural bleed = symptoms worsen over few days
Left frontal lobe affected corresponds with right arm and leg weakness
Broca’s area is also located in the left frontal lobe = speech production issues
What treatment / intervention is required?
Burr Holes = drill small hole into skull and drain blood
Surgery (craniotomy) = ease pressure on the brain by locating and removing haemotoma
54F - suffered from hypertension for many years, forgets to take medication for it and rarely consults her GP
Recently, complained of headache and fell to the floor, unconscious for a few moments.
Ambulance called, in 10 mins she was drowsy, slurred speed, and vomiting.
Next few days = dizziness and clumsiness She looked as if she were drunk with slurred speech, wobbly eye movements, clumsy hands, and a broad-based hesitant gait.
Examine the CT scans provided, identify any abnormalities that are present and suggest a diagnosis

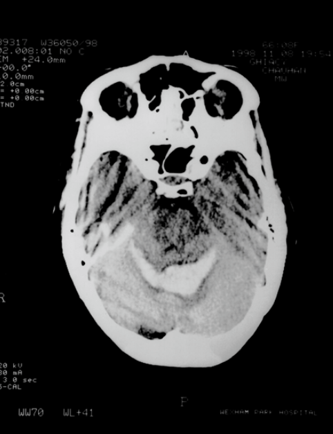
Haemorrhagic stroke - affecting middle cerebral artery (fresh blood shows as white lesions on the CT scan)
Strokes - blockade VS haemorrhage, both present differently
How do the symptoms seen in the patient relate to the brain pathology identified on the scans?
Frontal lobe - slurred speech
F.A.S.T. - Stroke Face, Arms, Speech, Time
What treatment/intervention is required?
Pick up on hypertensive management