Radiculopatia Cervical
Qual o fluxograma de tratamento de paciente com radiculopatia cervical?

Radiculopatia cervical
como é o tratamento conservador?
Direto: É o tratamento intraforaminal. É o que tem melhor eficácia a curto prazo, porém não faz diferença a longo prazo. E tem maior risco de acidentes (19% de chance de acertar a vertebral).
Indireto: Injeção indireta, é feita próxima a saida do forame. Maneira mais segura.
Radiculopatia cervical
Quais as opções de tratamento cirúrgico
ACDF - Anterior Decompression and Fusion
Anterior decompressions and disc protesis
Dorsal foraminotomy
Cirurgia por via anterior
Quais as complicações mais comuns?
Disfagia (10-50%), chegando até 95%
Hematoma (até 5%)
Paralisia do laringeo recorrente (0.2 - 17%)
Pseudoartrose (até 12% em nivel único e até 30% para mais de um nível)
Mielopatia Cervical
Quais os sinais/sintomas mais comuns?
Dor cervical que geralmente a dor não segue dermátomo
Parestesia
Geralmente Inicia com quadro motor fino, paciente deixa cair objetos.
Mielopatia Cervical
Pior prognóstico

Mielopatia Cervical
A eletroneuromiografia vai ajudar não só no diagnóstico, mas naqueles pacientes que tem compressão cervical assintomáticos (sem mielopatia) ou oligossintomáticos.
Se houver alteração na eletroneuromiografia, podemos dizer que esse paciente tem mais risco de desenvolver mielopatia, então é um paciente que pode ser indicado tratamento mais precocemente.
Mielopatia Cervical
Fluxograma de tratamento

Mielopatia Cervical
Quando está indicada a laminectomia?
Quais os problemas desta técnica?
Paciente com espondilose cervical com estenose de canal, com a coluna cervical lordótica e estável
Problemas:
Cifose pós laminectomia no longo prazo
Paralisia transitória de C5
Síndrome de Klippel-Feil

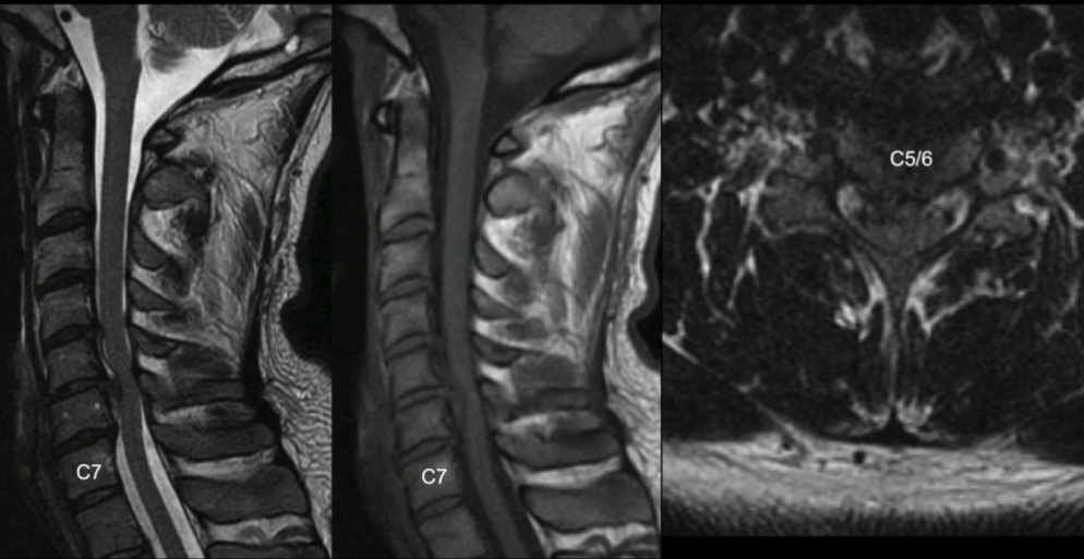
Caso clínico
Um paciente de 32 anos pós-acidente de trânsito com dor cervical apenas. Sem radiculopatia, sem qualquer déficit. Traz a seguinte ressonancia.

Trata-se de uma Herniação discal atraumática
O tratamento para cervical pode ser conservador ou cirúrgico! não tem ainda evidência que possa justificar um ou o outros, mas o importante é saber que nesse caso não é obrigatório operar.
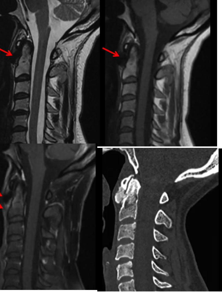
Cervicalgia
Paciente apresentando dor cervical aguda, principalmente ao engolir. Apresenta os exames de imagem abaixo:

Diagnóstico: tendinite calcificante aguda do músculo longus colli
Pacientes de meia-idade (30-60 anos) / Homem = mulher
Deposito de hidroxapatita de calcio
terapia: NAO OPERAR. Só fazer antiinflamatório e esperar.
Cervicalgia - Caso clínico
Paciente de 72 anos com quadro de cervicalgia subaguda. Apresenta nos exames de imagem o seguinte achado.
Qual o diagnóstico?
Pode ser um achado fisiológico esta imagem?

Metástase na coluna cervical
Quando será considerado instável uma coluna com metástase?
De acordo com a classificação SINS
