cervical screening Flashcards

(58 cards)

1
Q

what viruses are implicated in human cancers

A

HBV - liver
HIV - kaposi sarcoma
EBV - lymphoma
HPV - cervical

How well did you know this?
1
Not at all
2
3
4
5
Perfectly
2
Q

how stable is HPV

A

very stable

doesn’t mutate

How well did you know this?
1
Not at all
2
3
4
5
Perfectly
3
Q

how common is HPV infection

A
peak prevalence 15-25yrs
prevalence declines with age - clearance of virus by host immune system, less likely to acquire new infection
10% overall 
~30% prevalence in young women
lifetime risk of exposure = 80%
How well did you know this?
1
Not at all
2
3
4
5
Perfectly
4
Q

what cancers does high risk HPV cause

A
less common cancers e.g. 
cervical - 99% cases linked to HPV
penile - 40%
vulva/vagina - 40% 
anus - 90%
mouth - 3%
oropharynx - 12%
How well did you know this?
1
Not at all
2
3
4
5
Perfectly
5
Q

how is HPV transmitted

A

close intimate contact

How well did you know this?
1
Not at all
2
3
4
5
Perfectly
6
Q

HPV infection in the cervix

A

selectively infects basal cells of the epithelial surface - needs to be some kind of microabrasion/trauma
virus replicates using host cells
final viral particles only assemble in the outermost layers in mature keratinocytes which then desquamate and release the particle

How well did you know this?
1
Not at all
2
3
4
5
Perfectly
7
Q

HPV infection in the cervix

A

selectively infects basal cells of the epithelial surface - needs to be some kind of microabrasion/trauma
virus replicates using host cells
final viral particles only assemble in the outermost layers in mature keratinocytes which then desquamate and release the particle

How well did you know this?
1
Not at all
2
3
4
5
Perfectly
8
Q

how does HPV result in disorganised cell replication and high grade lesions

what are the consequences of this?

A

viral DNA can become integrated into host DNA

if lesions aren’t detected -> can invade basement membrane and become invasive cancers

How well did you know this?
1
Not at all
2
3
4
5
Perfectly
9
Q

how long does HPV take to cause cervical cancer

A

HPV infection - 90% cleared infection
2yrs - persistent HPV infection -> viral lesions and low grade changes, can be detected, often regress back to normal
up to 5yrs - pre-cancer potential (cervical intraepithelial neoplasia)
10-20yrs - cervical cancer

How well did you know this?
1
Not at all
2
3
4
5
Perfectly
10
Q

what are the most oncogenic types of HPV

A

16 and 18
only 3% of initial infections are linked to this
CIN - 25% HPV 16 and 18
pre-cancerous lesions - 57%
cervical cancers - 70% linked to 16 and 18

How well did you know this?
1
Not at all
2
3
4
5
Perfectly
11
Q

how can cervical cancer be prevented

A

1y - HPV infection prevention

2y - detecting pre-cancerous changes and treating these before they progress

How well did you know this?
1
Not at all
2
3
4
5
Perfectly
12
Q

UK HPV immunisation programme

A

girls born after sept 1990 - bivalent vaccine HPV 16/18
sept 2012 - quadrivalent vaccine HPV 16/18/6/11
sept 2014 - 2 dose regime
2019 - boys included

How well did you know this?
1
Not at all
2
3
4
5
Perfectly
13
Q

is there a link between cervical cancer and smoking

A

yes - affects cell mediated immunity, nicotine secreted in cervical mucus

How well did you know this?
1
Not at all
2
3
4
5
Perfectly
14
Q

how does cervical screening aim to reduce the incidence of cervical cancer

A

by detecting pre-cancerous disease and treating it

How well did you know this?
1
Not at all
2
3
4
5
Perfectly
15
Q

at what age is peak incidence of CIN

A

women in their late 20s

How well did you know this?
1
Not at all
2
3
4
5
Perfectly
16
Q

is a women at higher risk because her mother had cervical cancer

A

no

linked to high risk HPV infection rather than hereditary

How well did you know this?
1
Not at all
2
3
4
5
Perfectly
17
Q

how is cervical screening managed in scotland

A

scottish cervical call recall system

How well did you know this?
1
Not at all
2
3
4
5
Perfectly
18
Q

how is the sample collected in a cervical smear

A

small plastic brush

liquid based cytology

How well did you know this?
1
Not at all
2
3
4
5
Perfectly
19
Q

where is a cervical smear taken from

A

transformation zone of the cervix - HPV infections and pre-cancerous changes will be seen here

How well did you know this?
1
Not at all
2
3
4
5
Perfectly
20
Q

pre-pubescent cervical epithelium

A

original squamous epithelium covers ectocervix

columnar epithelium lines cervical canal

How well did you know this?
1
Not at all
2
3
4
5
Perfectly
21
Q

changes to cervical epithelium during puberty

A

increased oestrogen -> increased interstitial fluid
eversion of the external os
columnar epithelium becomes exposed to the vagina
- acidic pH in the vagina is traumatic to columnar epithelium
- metaplasia of columnar epithelium

How well did you know this?
1
Not at all
2
3
4
5
Perfectly
22
Q

taking a screening sample

A
person w/ a cervix aged 25-64y/o
from march 2020: 
- 5yrly smears
- liquid based cytology
- test for high risk HPV
- if hrHPV +ve, triage w/ cytology
How well did you know this?
1
Not at all
2
3
4
5
Perfectly
23
Q

which is more sensitive for high grade abnormalities: HPV testing or cytology

A

HPV testing

as more HPV immunised women enter the screened population, cervical disease will decrease and be more difficult to detect by cytology
HPV will be a more effective test for the future

How well did you know this?
1
Not at all
2
3
4
5
Perfectly
24
Q

does HPV vaccination prevent all cancers

A

NO

even if women have been immunised they should still attend their smear tests

25
HPV test - how does it work
tests cervical cells machine identifies infection - could be transient or CIN associated sensitive
26
cytology - how does it work
tests cervical cells human interpretation identifies cellular changes: low grade (persistent infection/CIN1), high grade (CIN2/3) specific
27
lab processing of cervical samples
cells in the vial are tested hrHPV test for all if +ve (15%) - reflex cytology on same sample
28
what is an HPV test
molecular test on cervical cell sample identifies hrHPV E6/7 mRNA targets 14 hrHPV types (screening doesn't identify specific types) works on LBC (liquid based cytology) samples technology: hybridisation, PCR
29
cervical cytology sample
only if hrHPV +ve: - microscopic assessment of cells scraped from transformation zone - look for abnormal cells (dyskaryosis) - indicate that women may have underlying CIN
30
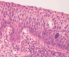
what can be seen in this cervical biopsy
normal stratified squamous non-keratinising epithelium regular basement membrane basal layer where mitosis and maturation of epithelium takes place
31
nuclear features of abnormal cervical cytology - dyskaryosis
increased size and nuclear:cytoplasmic ratio variation in size and shape coarse irregular chromatin nucleoli
32
what does low vs high grade dyskaryosis reflect
degree of underlying CIN ``` low grade (+ borderline - some changes therefore can't be reported as -ve) high grade - most likely to have CIN ```
33
what can be seen here and what does it reflect
koliocytes reflect HPV infection peri-nuclear halo - full of viral particles wrinkled nucleus multinucleation
34
what can be seen here and what grade
low grade dyskaryosis nuclear enlargement but still a good amount of cytoplasmam chromatin clumping but not particularly dark nuclei
35
what can be seen here and what grade
high grade dyskaryosis very large nucleus, large increase in nuclear:cytoplasmic ratio marked darkening of nuclear material and clumping notching of nuclei
36
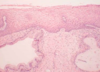
what can be seen in this cervical biopsy
high grade intact BM instead of maturation of cells towards surface there is dark staining dysplastic cells throughout full thickness of cervical epithelium
37
what happens following cervical screening
-ve hrHPV - routine recall 5yrs | +ve hrHPV - cytology normal - repeat test 1yr to check for clearance of infection; dyskaryosis - refer to colposcopy
38
colposcopy visit
``` education and advice colposcopy - examination of cervix: - magnification and light - exclude obvious malignancy - use of acetic acid +/- iodine: identify limits of lesion, select biopsy site, define area to treat ```
39
why is acetic acid used why is iodine used
causes whitening of any CIN lesions - easier to identify them and their extent iodine stains starch darkly, metaplasia/CIN don't contain starch (normal does) and won't stain
40
what happens to pts w/ normal colposcopy
discharged to have smear repeated in community
41
what happens to pts w/ low grade changes
may be discharged for repeat cytology at 1yr | if uncertain - small punch biopsy to confirm histological diagnosis
42
what happens to pts w/ high grade colposcopy
take a biopsy to confirm diagnosis - punch biopsy to make diagnosis then have treatment OR have treatment done at that visit and treatment procedure will produce histology specimen
43
management options following colposcopy
punch biopsy to make diagnosis return for treatment if CIN2/3 see and treat at first visit if high grade CIN
44
interpreting biopsy
transformation zone of cervix - looking for HPV related pathology HPV infection precancerous chances - CIN cervical carcinoma
45
what is the result of HPV E7 protein product
prevents cell cycle arrest
46
what is the result of HPV E6 protein product
inhibits cell death
47
what are the low risk HPV types and what does infection result in
6,11,42,44 genital warts and low grade CIN often transient and resolve
48
what are the high risk HPV types and what does infection result in
16, 18 31,45 persistent infection increases risk of developing high grade CIN and (more rarely) cancer
49
how does HPV cause high grade CIN
persistent infection viral DNA integrates into host cell genome over-expression of viral E6 and E7 proteins deregulation of host cell cycle
50
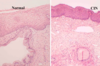
which histology is normal and which shows CIN
left - normal | right - CIN
51
what is cervical intraepithelial neoplasia
disorganised proliferation of abnormal cells in squamous epithelium (dysplasia) ``` lack of maturation variation in cell size and shape nuclear enlargement irregularity hyperchromasia cellular disarray ```
52
grades of CIN
1 - low grade dysplasia, HPV infection, will regress 2 - moderate, may regress esp in women <30y/o 3 - severe - unlikely to regress precursor of invasive cancer
53
where are most cases of CIN seen (age)
25-29y/o
54
treatment of CIN2/3
women w/ CIN3 and women >30 w/ CIN2: excise transformation zone of cervix - LLETZ (large loop excision of transformation zone) ablate TZ of cervix - thermal/laser ablation
55
follow up after treatment of CIN - why
confirm that treatment was effective - residual disease within 2yrs prevent invasive cancer - recurrent disease 5% after 3-5yrs, detect occasional cancer reassure women that her treatment has worked increased cervical cancer risk compared w/ normal pop
56
follow up after treatment of CIN - what
follow up LBC at 6mths for cytology and hrHPV both -ve - return to 3yr recall either +ve - return to colposcopy
57
when is cervical screening effective
when it is organised and systematic and women are called and recalled cervical cancer rates are directly linked to the quality of the prevention programmes - opportunistic vs organised
58
what is the aim of cervical screening
reduce the risk of cervical cancer does this by detecting hrHPV and cervical dyskaryosis