Cervical Screening Flashcards

(22 cards)

1
Q

12% of human cancers are caused by viruses. Which viruses are implicated?

A
  • HBV
  • HIV
  • EBV
  • HPV
How well did you know this?
1
Not at all
2
3
4
5
Perfectly
2
Q

how common is HPV infection?

A
  • very common
  • lifetime risk of exposure 80% from serological studies
  • peak prevalence 15-25 years, then declining with age
  • 10% overall prevalence
  • 30% prevalence in young women
How well did you know this?
1
Not at all
2
3
4
5
Perfectly
3
Q

HPV causes other less common cancers, list these

A
  • cervix (> 99% cases caused by HPV)
  • penis 40%
  • vulva/vagina 40%
  • anus 90% (hiher rates in men who have sex with men)
  • mouth 3%
  • oropharynx 12%
How well did you know this?
1
Not at all
2
3
4
5
Perfectly
4
Q

what is a squamous intraepithelial lesion (SIL)?

A
  • an abnormal growth of squamous cells detectable on a smear.
  • such changes may be low grade (LSIL) or high grade (HSIL), depending on how much of the cervical epithelium is affected, and how abnormal the cells appear.
How well did you know this?
1
Not at all
2
3
4
5
Perfectly
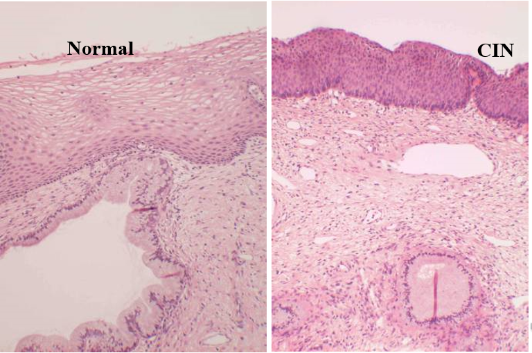
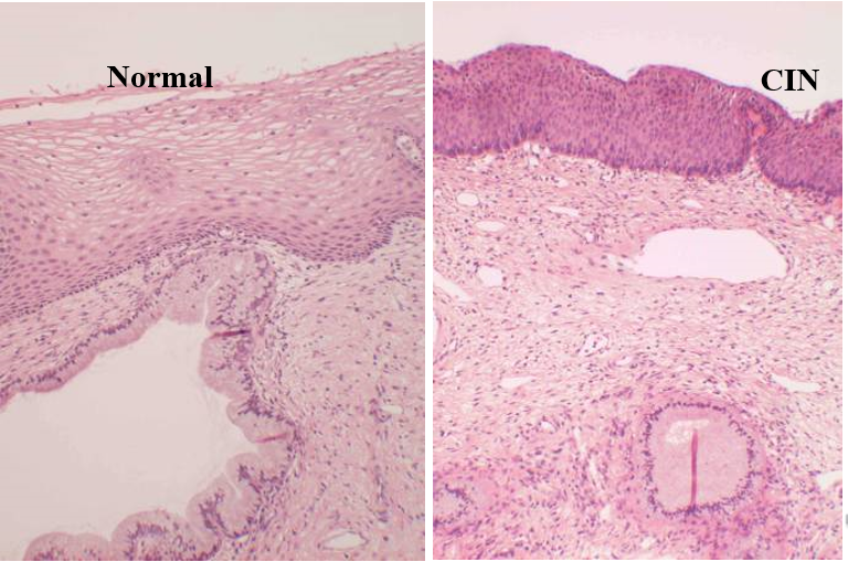
5
Q

what is a cervical intraepithelial neoplasia (CIN)?

A

Abnormal cells in the cervix detected by biopsy and histological examination.
Graded 1-3 according to the proportion of cervix affected.

How well did you know this?
1
Not at all
2
3
4
5
Perfectly
6
Q

which papilloma virus types are responsible for approx 70% of cervical cancers in Europe?

A

16 & 18

How well did you know this?
1
Not at all
2
3
4
5
Perfectly
7
Q

describe the UK HPV immunisation programme

A
  • 12 year old (girls and boys) receive a two dose regimen of a quadrivalent vaccine against HPV 16/18/6/11
How well did you know this?
1
Not at all
2
3
4
5
Perfectly
8
Q

why did we change from cytology to HPV testing for cervical screening?

A
  • HPV testing is more sensitive than cytology for high grade abnormalities
  • As more HPV-immunised women enter the screened population, cervical disease will decrease and will be more difficult to detect by cytology. HPV will be more effective test for the future.
  • If the HPV test is negative, the woman’s chance of developing cervical cancer in the next 5 years is very small, allowing a 5 year screening interval for all women regardless of age.
  • if HPV test is positive, then cytology is performed.
How well did you know this?
1
Not at all
2
3
4
5
Perfectly
9
Q

what are the nuclear features of abnormal cervical cells identified by cytology?

A

abnormal = dyskaryosis
- can be low-grade or high-grade

Nuclear features:
- increased size and nuclear:cytoplasmic ratio
- variation in shape, size
- coarse irregular chromatin
- nucleoli

How well did you know this?
1
Not at all
2
3
4
5
Perfectly
10
Q

what happens next if a cytology identifies abnormal cervical cells (dyskaryosis)?

A

Refer to Colposcopy:
- magnification and light to see cervix
- exclude obvious malignancy
- use of acetic acid +/- iodene to identify limits of lesion, select biopsy site and define area to treat.

How well did you know this?
1
Not at all
2
3
4
5
Perfectly
11
Q

Colposcopy options for management

A
  • punch biopsy to make diagnosis
  • return for treatment if biopsy CIN 2/3
  • ‘see and treat’ at first visit if obvious high-grade lesion
How well did you know this?
1
Not at all
2
3
4
5
Perfectly
12
Q

how does HPV target the transformation zone of the cervix?

squamo-columnar junction

A
  • infects basal layer cells
  • utilises host for replication
  • as host cell matures, different viral genes are expressed, examples: E7 protein product - prevents cell cycle arrest, E6 protein product - inhibits cell death.
How well did you know this?
1
Not at all
2
3
4
5
Perfectly
13
Q

describe Koilocytosis

A
  • a feature of HPV histology
  • cells with wrinkled nucleus and perinuclear halo
  • multinucleation
How well did you know this?
1
Not at all
2
3
4
5
Perfectly
14
Q

what are the low-risk types of human papilloma virus?

A

6, 11, 42, 44
- typically associated with genital warts and low-grade CIN
- often transient and resolve

How well did you know this?
1
Not at all
2
3
4
5
Perfectly
15
Q

what are the high-risk types of HPV?

A
  • 16,18, 31, 45
  • peristent infection increases risk of developing high grade CIN and (more rarely) cancer
How well did you know this?
1
Not at all
2
3
4
5
Perfectly
16
Q

how does HPV cause high grade CIN?

A

Persistent infection:
- viral DNA integrates into host cell genome
- overexpression of viral E6 and E7 proteins
- deregulation of host cell cycle

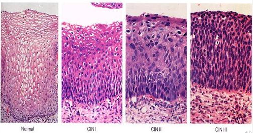
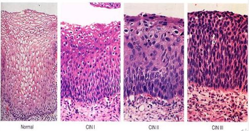
17
Q

what is considered a CIN3?

A
  • Neoplastic cells or undifferentiated cells fill full thickness of epith here , no normal differentiated cells seen = CIN3
18
Q

what is considered a CIN2?

A

When undiffer cells occupy 2/3 of thickness and only top layers show maturation to medium size cells = CIN2

19
Q

what is considered a CIN1?

A

If undiff cells only occupy lowest 1/3 of epith and surface cells can mature to big flat cells = CIN1

20
Q

what is the treatment for CIN2/3?

A
  • excise transformation zone TZ pf cervix: LLETZ
  • ablate TZ of cervix: thermal or laser ablation
21
Q

what is the follow-up procedure after treatment of CIN?

A
  • follow-up liquid based cytology (LBC) at 6 months for cytology and high-risk HPV
  • both negative - return to 3-year recall
  • either positive - return to colposcopy
22
Q

what is the aim of cervical screening?

A

reduce the risk of cervical cancer