What does HPV stand for?
Human papillomavirus
Does HPV mutate?
Stable virus which does not mutate
What are the different types of HPV?
How does HPV increase risk of high grade CIN and cancer?
What proteins from HPV cause deregulation of host cell cycle?
E6 and E7 proteins
Describe the epidemiology of HPV infections (lifetime exposure %, prevalence with age)?
In steps, describe the pathophysiology of HPV?
How is HPV transmitted?
What are possible complications of HPV?
Many cancers

What percentage of cervix cancer is caused by HPV?
>99%

What does CIN stand for?
Cervical intraepithelial neoplasia
What is a CIN?
Is disorganised proliferation of abnormal cells in squamous epithelium (dysplasia):
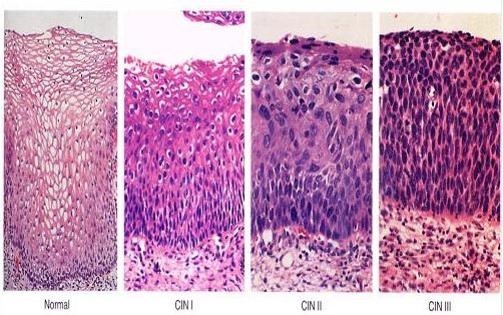
What are features seen in the histology for CIN?
What are the different grades of CIN?

What is the treatment for CIN2/3?
LBC - liquid based cytology
What follow up is done after treatment of CIN2/3?
Who gets HPV immunisation?
All girls and boys immunised against HPV 16/18/6/11:
Has massively reduced incidence of cervical cancer
What is the aim of cervical screening?
What is the criteria to qualify for cervical screening?
How often do people who qualify get smears?
5 yearly
What do cervical smears detect?
Smear detects abnormal growth of cells called squamous intraepithelial lesion (SIL):
What are the different grades of SIL?
What does SIL stand for?
Squamous intaepithelial lesion
Where are cervical smears taken from?