Cervix Flashcards

(7 cards)

1
Q

Cervix Function

A

Is gatekeeper of upper female tract – sits between cranial vagina & uterus.
Functions:
- Produce mucus
- Select high quality sperm
- Flush out sperm/pathogens after mating
- Form barrier during pregnancy (aseptic uterine env).

Cervix sealed by mucus plug during pregnancy

How well did you know this?
1
Not at all
2
3
4
5
Perfectly
2
Q

Cervix structure

A

Part of long canal. Includes:
- Central lumen (canal)
- Single (bitch, queen) or multiple (cow, ewe,mare, sow) folds/rings protruding into lumen
Has 2 openings (os)
- Internal cervical os at uterine end &
- Opening into vagina is the external cervical os – becomes red, wet & relaxed in receptive females (due to hormonal influence)

Note: os will relax (open) to allow for passage of sperm when receptive

How well did you know this?
1
Not at all
2
3
4
5
Perfectly
3
Q

Species differences in cervical structure (cow, ewe, mare)

A

Bull – ejaculate at external cervical os, can pass inseminating pippete through cervix for artificial breeding
Ewe = cartilaginous rings, ejaculate at external cervical os but not possible to pass inseminating pipette through cervix
Mare = no rings, stallion penis enters lower cervix during mating, VERY easy to pass inseminating pipette through cervix in mare

How well did you know this?
1
Not at all
2
3
4
5
Perfectly
4
Q

Species differences in cervical structure (sow, bitch)

A

Sow = highly developed cervical rings
Bitch = very easy to pass inseminating pipette through into uterus

How well did you know this?
1
Not at all
2
3
4
5
Perfectly
5
Q

Cervical regions

A

2 distinct regions (ecto and endo)
- Mucosa protruding into vagina = ectocervix
- Mucosa lining canal = endocervix

Endocervix is columnar epithelium, which secretes cervical mucus
Ectocervix (protrudes into vagina) is stratified squamous epithelium (like vagina)

How well did you know this?
1
Not at all
2
3
4
5
Perfectly
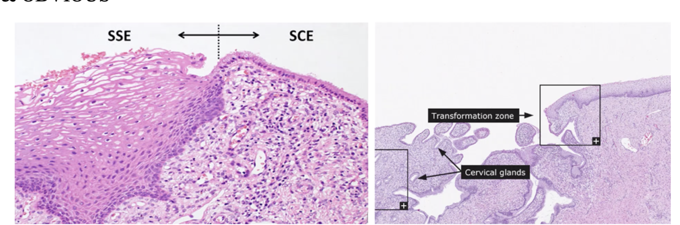
6
Q

Cervical epithelium

A

Transition between endo/ectocervix (columnar/squamous epithelium) can be ABRUPT & OBVIOUS
Will know you’ve hit endocervix when you see cervical glands.

How well did you know this?
1
Not at all
2
3
4
5
Perfectly
7
Q

Cervical crypts

A

In cervical canal, mucosa form deep crypts which contain mucus producing cells (goblet cells)

How well did you know this?
1
Not at all
2
3
4
5
Perfectly