What parts of the female gential tract are most commonly affected by herpes (in order)?
cervix, vagina, and vulva
How does herpes present?
The earliest lesions usually consist of red papules that progress to vesicles and then to painful coalescent ulcers. During latency, the virus migrates to the regional lumbosacral nerve ganglia and establishes a latent infection
NOTE: There is a high transmission rate during active infection

These characterizations are similar regardless of where the infection occurs

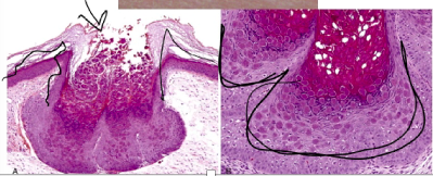
What is this?

Molluscum contagiosum is a self-limiting Poxvirus common in young children between 2 and 12 years of age and is transmitted through direct contact or shared articles (e.g., towels) or can be sexually transmitted in adults
NOTE: MC lesions tend to be mutliple, raised, and punctuated in the center so that they dip down characteristically (below)

Describe cervical candida infections
These are very common and is commonly the result of a disturbance in the patient’s vaginal microbial ecosystem (Not sexually transmitted). They present with lumpy cottage-cheese like discharge.
Describe what is being shown
Candida cervical infection- hyeast hyphae and pseudo-hyphae and shishkabob appearance with squamous cells

Describe Trichomonas vaginalis
This is a Protozoan that infects the vagina and cervix and presents as Asymptomatic or may complain of yellow, frothy vaginal discharge, vulvovaginal discomfort, dysuria (painful urination), and dyspareunia (painful intercourse).
What is this?

Trich- Marked dilatation of cervical mucosal vessels resulting in characteristic colposcopic appearance of “ strawberry cervix .”
Describe what is seen here

Cytology: oval shaped with red-granules in it (left),
Trich halos in squamous cells - seen in low grade cervical lesions as well (right, two arrows)
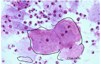
What is the main cause of bacterial vaginosis?
Gardnerella vaginalis- Gram-negative bacillus
How does GV present?
Patients typically present with thin, green-gray, malodorous (fishy) vaginal discharge.
Describe what is being shown here and what a clue cell is

In GV cause bacterial vaginosis, GV allows for overgrowth of normal flora, resulting in complete covering of squamous cells by bacteria to produce ‘clue cells’
What is pelvic inflammatory disease?
Infection of the lower genital tract that spreads upward to result in a ergional infection. It can be venerial or endogenous (after surgery or delivery), and the most common venerial cause is chlaymdia trachomatis (although this infection typically only causes cervicitis) and some Neisseria gonorrhoeae resulting in pelvic pain, adnexal tenderness, fever, and vaginal discharge
How is Chylamydia trach diagnosed?
histology is non-specific so the diagnosis is made on molecular tests (same for gonorrhoeae)
How do venerial diseases progress?
Usually begin as a salpingitis and progress to abscess formation, and even periteonitis (called Fitz-Hue-Curtis Syndrome) and then bacteremia leadingt o septic arthritis. Fortunately, most infections are aymptomatic.
What are the potential complications of chronic PID?
infertility or ectopic pregnancy


What is a Bartholin Cyst?
Obstruction of a bartholin gland that causes abscess formation that needed to be excised or permanently drained. Can occur in any age group but most common in reproductive yrs.
Most irritations of the vulva are the result of ______
inflammatory and thus are harmless generally. (NOTE that malignant tumors of the vulva do exist but are rare)
Vulvitis can also be caused by infections, the most important in North America being what?
HPV, the causative agent of condyloma acuminatum and vulvar intraepithelial neoplasia (VIN)
What is lichen sclerosis? When does it occur most often? What causes it?
A condition that peaks in childhood and ***post-menopausal*** women marked by thinning of the epidermis, diasppearance of rete pegs, degeneration of basal cells, dermal fibrosis, and deeper mononuclear infiltrate of the vulva.
The cause is unknown but may be autoimmune
How does lichen sclerosus present clinically?
There is the appearance of white parchment-like skin (aka leukoplakia) with dermal fibrosis and complaints of dyspareunia

How does lichen sclerosus present histologically? What is the prognosis?
There is marked thinning of the epidermis, sclerosis of the superficial dermis and chronic inflammatory cells in deeper
The prognosis is benign, BUT it is associated with a slightly increased risk for squamous cell carcinoma
