Cestódeos Flashcards

(17 cards)

1
Q

Acidentalmente, o homem pode ser parasitado pela forma larvária de T. solium, adquirindo […]

A

Cisticercose

NB: se o cisticerco se alojar no SNC = neurocisticercose

How well did you know this?
1
Not at all
2
3
4
5
Perfectly
2
Q

Os agentes etiológicos da teníase são:

  1. […]
  2. T. saginata
A
  1. T. solium
  2. T. saginata
How well did you know this?
1
Not at all
2
3
4
5
Perfectly
3
Q

No interior do ovo de tênia, se desenvolve o […]

A

Cisticerco (larva de tenia)

How well did you know this?
1
Not at all
2
3
4
5
Perfectly
4
Q

O homem adquire teníase ao ingerir […] ou […]

A

Carne bovina ou carne suína (mal cozidas)

How well did you know this?
1
Not at all
2
3
4
5
Perfectly
5
Q

O parasita consome grande quantia de nutrientes do hospedeiro, podendo causar bulimia e […]

A

Bulimia e desnutrição.

How well did you know this?
1
Not at all
2
3
4
5
Perfectly
6
Q

Os sintomas da teníase são:

  1. Indisposição abdominal
  2. Náuseas
  3. Vômitos
  4. Bulimia
  5. […]
A
  1. Indisposição abdominal
  2. Náuseas
  3. Vômitos
  4. Bulimia
  5. Desnutrição
How well did you know this?
1
Not at all
2
3
4
5
Perfectly
7
Q

A cisticercose é causada só pelo cisticerco da T. […]

A

T. Solium

NB: pode ocorrer pela ingestão do cisticerco ou por autoinfecção interna/externa

How well did you know this?
1
Not at all
2
3
4
5
Perfectly
8
Q

Esse ciclo descreve a [doença]

A

Cisticercose

How well did you know this?
1
Not at all
2
3
4
5
Perfectly
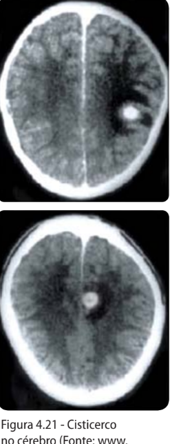
9
Q

Quando o cisticerco se aloja no SNC, causa a […]

A

Neurocisticercose

NB: maioria assintomático, mas o cisticerco pode bloquear a drenagem de LCR nos ventrículos, causando hipertensão intracraniana.

How well did you know this?
1
Not at all
2
3
4
5
Perfectly
10
Q

O diagnóstico de cisticercose é realizado por exames de […]

A

Exames de imagem: TC, RM

How well did you know this?
1
Not at all
2
3
4
5
Perfectly
11
Q

O tratamento de cisticercose e teníase é feito com […]

A

Praziquantel

NB: mebendazol também pode ser usado

How well did you know this?
1
Not at all
2
3
4
5
Perfectly
12
Q

O Echinococcus granulosus é o causador da […]

A

Hidatilose

How well did you know this?
1
Not at all
2
3
4
5
Perfectly
13
Q

O verme adulto do Echinococcus granulosus é encontrado no […]

A

Intestino delgado dos cães

How well did you know this?
1
Not at all
2
3
4
5
Perfectly
14
Q

Na hidatilose, O cisto exerce ação […] com compressão e consequente disfunção do órgão afetado.

A

Ação mecânica

How well did you know this?
1
Not at all
2
3
4
5
Perfectly
15
Q

Tratamento da hidatilose é por […]

A

Cirurgia

NB: mebendazol não tem sido eficiente

How well did you know this?
1
Not at all
2
3
4
5
Perfectly
16
Q

Os cistos hidáticos têm em seu interior grande quantia de […]

A

Areia hidática -> extremamente antigênica, podendo conduzir a choque anafilático

17
Q

Diphylobotriase (espaganosa) leva a deficiência de […]

A

Vitamina B12

Tratamento: Praziquantel