ch 5 Flashcards

(51 cards)

1
Q

what does DNA stand for

A

deoxyribonucleic acid

How well did you know this?
1
Not at all
2
3
4
5
Perfectly
2
Q

who discovered the structure of DNA

A

Rosalind Franklin, James Watson, and Francis Crick

How well did you know this?
1
Not at all
2
3
4
5
Perfectly
3
Q

what is this and label the parts

A

this is a nucleotide
orange - sugar
yellow - phosphate
green - base

How well did you know this?
1
Not at all
2
3
4
5
Perfectly
4
Q

what are the four bases DNA has

A

adenine (A)
cytosine (C)
guanine (G)
thymine (T)

How well did you know this?
1
Not at all
2
3
4
5
Perfectly
5
Q

who purified chromatin and then later purified dna

A

friedrich miescher

How well did you know this?
1
Not at all
2
3
4
5
Perfectly
6
Q

who showed that infectious dead bacteria could infect harmless live bacteria

A

Frederick Griffith

How well did you know this?
1
Not at all
2
3
4
5
Perfectly
7
Q

who discovered dna was genetic material

A

Avery, McLeod, and Mcarty

How well did you know this?
1
Not at all
2
3
4
5
Perfectly
8
Q

dna is condensed very tightly in _____________

A

chromosomes

How well did you know this?
1
Not at all
2
3
4
5
Perfectly
9
Q

The base A in DNA always pairs with

A

T

How well did you know this?
1
Not at all
2
3
4
5
Perfectly
10
Q

The Base C in DNA always pairs with

A

G

How well did you know this?
1
Not at all
2
3
4
5
Perfectly
11
Q

the two strands of dna run _____________ to each other

A

antiparallel

How well did you know this?
1
Not at all
2
3
4
5
Perfectly
12
Q

how many hydrogen bonds for between the bases Adenine and Thymine

A

2

How well did you know this?
1
Not at all
2
3
4
5
Perfectly
13
Q

how many hydrogen bonds for between the bases Cytosine and Guanine

A

3

How well did you know this?
1
Not at all
2
3
4
5
Perfectly
14
Q

about how wide is a strand of DNA

A

2 nm

How well did you know this?
1
Not at all
2
3
4
5
Perfectly
15
Q

label

A

red: major groove
blue: minor groove

How well did you know this?
1
Not at all
2
3
4
5
Perfectly
16
Q

about how many bases are there in a turn of DNA

A

10

How well did you know this?
1
Not at all
2
3
4
5
Perfectly
17
Q

with the exception of gametes and highly specialized cells every cell in our body has _ chromosomes

A

2

How well did you know this?
1
Not at all
2
3
4
5
Perfectly
18
Q

each full set of chromosomes contains _________ nucleotide pairs of DNA

A

3.2 x 10^9

How well did you know this?
1
Not at all
2
3
4
5
Perfectly
19
Q

what is heterochromatin

A

highly condensed (especially in interphase), gene poor, and transcriptionally silent

How well did you know this?
1
Not at all
2
3
4
5
Perfectly
20
Q

what is euchromatin

A

less condensed (especially in interphase), gene rich, and more easily transcribed

How well did you know this?
1
Not at all
2
3
4
5
Perfectly
21
Q

start codon

A

AUG (met, methionine)

22
Q

stop codon

A

UAG, UAA, UGA

23
Q

what do nucleosomes do

A

nucleosomes convert DNA into a chromatin fiber that is approx 1/3 the initial length. the chromatin fibers are made up of the beads on a string (nucleosomes) that tightly pack together

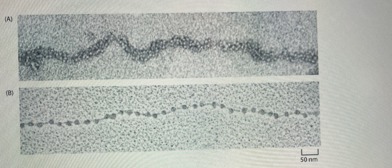
24
Q

what are A and B

A

A: chromatin directly from the nucleus of a cell in interphase
B: the same chromatin but once it has been de condensed; shows the “beads on a string”

25
when DNA around a nucleosome is released what is its length found to be
147 nucleotide pairs
26
what 4 histones make up the histone octamers
H2A, H2B, H3, H4
27
what is a histone octamer
the core histone that DNA wraps around to form nucleosomes
28
understand
okay
29
chromatin loops are held together by
nonhistone loop forming clamp proteins
30
understand
okay
31
what do chromatin remodeling complexes do
these protein machines use the energy of ATP hydrolysis to change the position of the DNA wrapped around nucleosomes (interact with histone octamer and the DNA around it)
32
describe what is happening here
A: chromatin remodeling proteins use ATP to push DNA along the histone octamer to expose/hide certain prices of DNA B: shows how a chromatin remodeling protein cradles a single “bead” of a nucleosome
33
what does acetylation of lysines do to chromatin? what is this an example of?
- reduce affinity for nucleosomes so they loosen the chromatin structure - histone modifying enzyme
34
explain
heterochromatin specific histone tail modifications allow heterochromatin to form and spread nucleosome to nucleosome until it reaches a barrier DNA sequence
35
explain
in females at some point in development they turn off one X chromosome in each cell and then they reproduce, the other X chromosome is kept very condensed in nucleus
36
explain why calico cats are all female
because X chromosome deactivation leads to part of their body using the X chromosome with the black coding in it and the other part using the X chromosome with the orange coloring in it
37
understand
okay
38
understand
okay
39
understand
okay
40
is this DNA or RNA and how do you know
it’s RNA because there are two hydroxyl groups
41
label
pink: pyrimidine blue: purine
42
DNA is read
5’ - 3’
43
what was alfred hershey and martha chases experiment
they labeled bacteriophage proteins with S^35 (non radioactive) and labeled the bacteriophage DNA with P^32 (radioactive). they let the bacteriophage infect the cells and then centrifuged them, the infected bacteria contained P^32 only so they knew DNA was the genetic transmission material
44
explain frederick griffiths experiment
he took a rough and smooth strain of S. pneumoniae, the smooth strain has a capsule and is much more deadly, when injected, mice die. the smooth cells were treated with heat and injected and the mice survived. when the rough bacteria was injected with heat treated smooth bacteria the mice died and this proved transmission of genetic material.
45
why is RNA less stable than DNA
it used ribose instead of deoxyribose and the second hydroxyl group makes it much more susceptible to hydrolysis
46
if there is a base and a sugar with no phosphate group what is it called
nucleoside
47
DRAW
!!!!
48
why does DNA use thymine instead of uracil
because thymine is more durable
49
what are the two kinds of DNA damage
- endogenous: occur in cells without outside influence (replication errors, base changes, strand breaks) - exogenous: damage induced by external or environmental sources (chemicals, radiation, uv)
50
the two main kinds of damage that can happen to DNA spontaneously
- depurination (a purine gets removed from sugar and phosphate group) - deamination (a cytosine has its NH3 removed and it’s replaced with an Oxygen which makes it a uracil)
51
what are thymine dimers and what causes them
- thymine dimers are when two thymines bind together (changes DNA structure) - they are caused by uv radiation