What does the circulatory system consist of?
Heart
Blood Vessels
Blood
What does the cardiovascular system consist of?
Heart
Blood vessels
What is hematology?
Study of blood
What are the main functions of the circulatory system?
Transport
Protection
Regulation
How many litres of blood does an adult have?
4-6L
What type of tissue is blood?
A liquid connective tissue
What is plasma?
matrix of blood
clear light yellow fluid
What are formed elements?
Blood cells and cell fragments
RBC
WBC
platelets
Name the 7 formed elements
Erythrocytes
Platelets
Neutrophils
Eosinophils
Basophils
Lymphocytes
Monocytes
What are erythrocytes?
Red blood cells
(RBC)
What are platelets?
cell fragments of megakaryocytes
Name the five leukocytes
Neutrophils
Eosinophils
Basophils
Lymphocytes
Monocytes
What type of blood cell are leukocytes?
White blood cells
Name the Granulocytes
Neutrophils
Eosinophils
Basophils
Name the agranulocytes
Lymphocytes
Monocytes
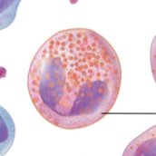
Name the cell type

Eosinophil
Name the formed element

Erythrocyte
Name the formed element

Basophil
Name the formed element

Lymphocyyte
Name the formed element

Monocyte
Name the formed element

Neutrophil
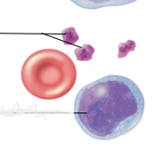
Name the formed element the black line leads to

platelets