Incidence in latin america
25% of population exposed.
Life Cycle of T Cruzi
INDIRECT HOST.

Label and name


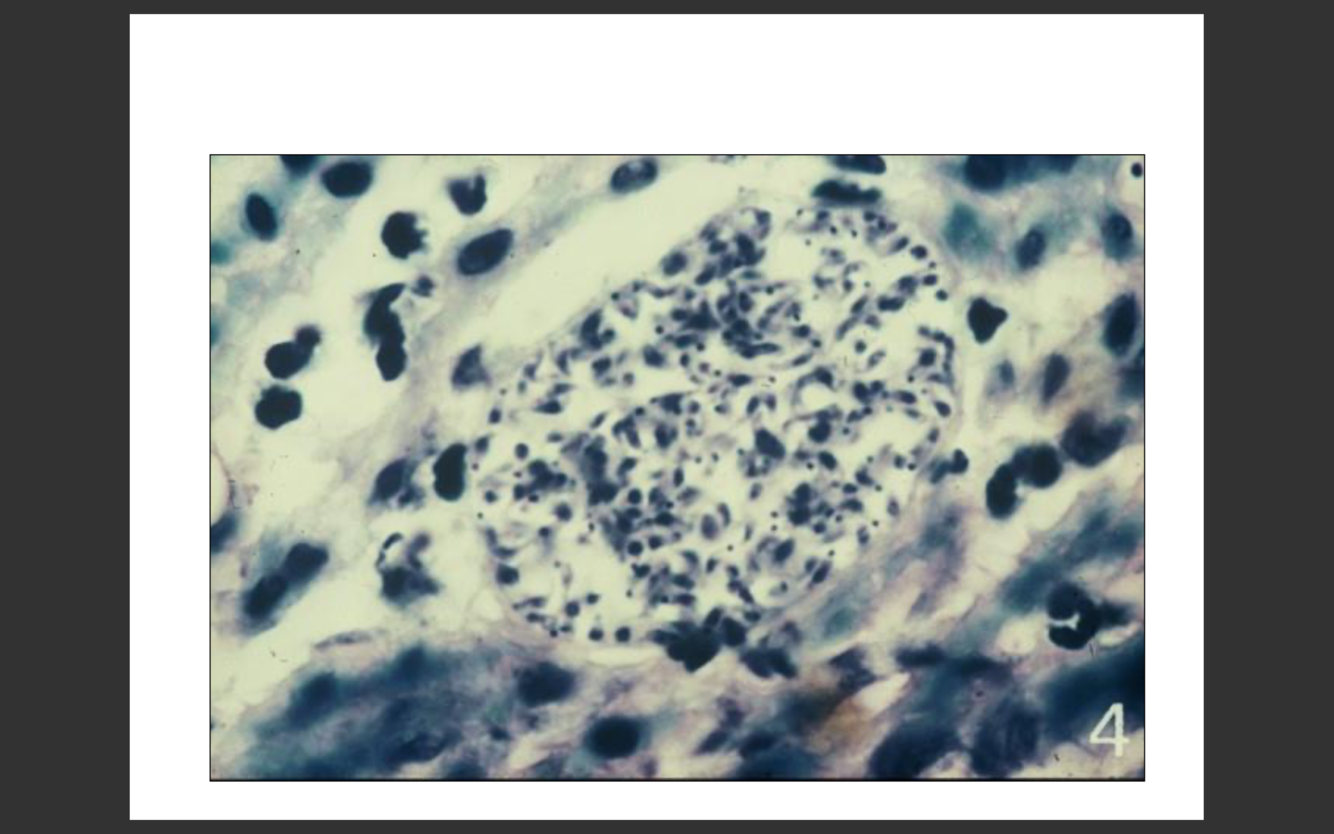
What is this?
(hint: it’s in muscle)


What are the major clinical manifestations of Chaga’s disease?

Diagnosis?
ELISA (gold standard)
PCR
Xenodiagnosis (cut open bugs after tehy feed on people to look for parasites)
Statpack RDT
How many strains of T Cruzi are there?
6: v & VI are HYBRIDS
What methods of transmission control are there?
Noireau traps (vector)
Transfusion control (BB)